Highlights of Toxoplasma gondii research papers published in Parasitology in the last 5 decades: personal perspective.

IF 2.4 3区 医学 Q2 PARASITOLOGY
Jitender P Dubey
{"title":"Highlights of <i>Toxoplasma gondii</i> research papers published in <i>Parasitology</i> in the last 5 decades: personal perspective.","authors":"Jitender P Dubey","doi":"10.1017/S0031182025000186","DOIUrl":null,"url":null,"abstract":"","PeriodicalId":19967,"journal":{"name":"Parasitology","volume":" ","pages":"231-238"},"PeriodicalIF":2.4000,"publicationDate":"2025-03-01","publicationTypes":"Journal Article","fieldsOfStudy":null,"isOpenAccess":false,"openAccessPdf":"https://www.ncbi.nlm.nih.gov/pmc/articles/PMC12186083/pdf/","citationCount":"0","resultStr":null,"platform":"Semanticscholar","paperid":null,"PeriodicalName":"Parasitology","FirstCategoryId":"3","ListUrlMain":"https://doi.org/10.1017/S0031182025000186","RegionNum":3,"RegionCategory":"医学","ArticlePicture":[],"TitleCN":null,"AbstractTextCN":null,"PMCID":null,"EPubDate":"","PubModel":"","JCR":"Q2","JCRName":"PARASITOLOGY","Score":null,"Total":0}
引用次数: 0

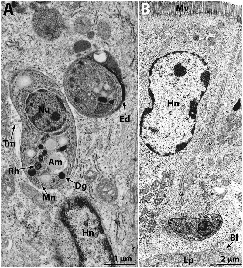
Abstract Image

Abstract Image

Abstract Image

过去50年在《寄生虫学》上发表的刚地弓形虫研究论文的亮点:个人观点。
本文章由计算机程序翻译,如有差异,请以英文原文为准。
求助全文
约1分钟内获得全文 求助全文
来源期刊
Parasitology
Parasitology 医学-寄生虫学
CiteScore
4.80
自引率
4.20%
发文量
280
审稿时长
3-8 weeks
期刊介绍: Parasitology is an important specialist journal covering the latest advances in the subject. It publishes original research and review papers on all aspects of parasitology and host-parasite relationships, including the latest discoveries in parasite biochemistry, molecular biology and genetics, ecology and epidemiology in the context of the biological, medical and veterinary sciences. Included in the subscription price are two special issues which contain reviews of current hot topics, one of which is the proceedings of the annual Symposia of the British Society for Parasitology, while the second, covering areas of significant topical interest, is commissioned by the editors and the editorial board.
×
引用
GB/T 7714-2015
复制
MLA
复制
APA
复制
导出至
BibTeX EndNote RefMan NoteFirst NoteExpress
×
提示
您的信息不完整,为了账户安全,请先补充。
现在去补充
×
提示
您因"违规操作"
具体请查看互助需知
我知道了
×
提示
确定
请完成安全验证×
copy
已复制链接
快去分享给好友吧!
我知道了
右上角分享
点击右上角分享
0
联系我们:info@booksci.cn Book学术提供免费学术资源搜索服务,方便国内外学者检索中英文文献。致力于提供最便捷和优质的服务体验。 Copyright © 2023 布克学术 All rights reserved.
京ICP备2023020795号-1
ghs 京公网安备 11010802042870号
Book学术文献互助
Book学术文献互助群
群 号:604180095
Book学术官方微信