Glomus tumour of the abdominal wall in a cat.

IF 0.7 Q3 VETERINARY SCIENCES
Journal of Feline Medicine and Surgery Open Reports Pub Date : 2025-05-07 eCollection Date: 2025-01-01 DOI:10.1177/20551169251332395
Lisa Castellano, Debra Fews
{"title":"Glomus tumour of the abdominal wall in a cat.","authors":"Lisa Castellano, Debra Fews","doi":"10.1177/20551169251332395","DOIUrl":null,"url":null,"abstract":"<p><p>Case summaryA 4-year-old male castrated domestic shorthair cat presented with a 2 cm painful cutaneous mass on its right lateral abdominal wall. The cat inflicted self-trauma to the lesion site causing secondary ulceration and mild haemorrhage. Fine-needle aspiration or incisional biopsy was advised, along with diagnostic imaging; however, excisional biopsy was preferred by the owners. The mass was surgically removed with 1 cm lateral margins and a deep fascial plane. The histopathological features were most consistent with a diagnosis of a glomus tumour; the diagnosis was supported by subsequent immunohistochemistry. The tumour was completely removed and there were no signs of recurrence at the 6-month follow-up. In this case, surgery is expected to be curative. <i>Relevance and novel information</i> To the authors' knowledge, this is the first report of a glomus tumour of the body wall in a cat and its association with pain and self-trauma. This report aims to add more data to the diagnosis and presentation of glomus tumours in animals.</p>","PeriodicalId":36588,"journal":{"name":"Journal of Feline Medicine and Surgery Open Reports","volume":"11 1","pages":"20551169251332395"},"PeriodicalIF":0.7000,"publicationDate":"2025-05-07","publicationTypes":"Journal Article","fieldsOfStudy":null,"isOpenAccess":false,"openAccessPdf":"https://www.ncbi.nlm.nih.gov/pmc/articles/PMC12062611/pdf/","citationCount":"0","resultStr":null,"platform":"Semanticscholar","paperid":null,"PeriodicalName":"Journal of Feline Medicine and Surgery Open Reports","FirstCategoryId":"1085","ListUrlMain":"https://doi.org/10.1177/20551169251332395","RegionNum":0,"RegionCategory":null,"ArticlePicture":[],"TitleCN":null,"AbstractTextCN":null,"PMCID":null,"EPubDate":"2025/1/1 0:00:00","PubModel":"eCollection","JCR":"Q3","JCRName":"VETERINARY SCIENCES","Score":null,"Total":0}
引用次数: 0

Abstract

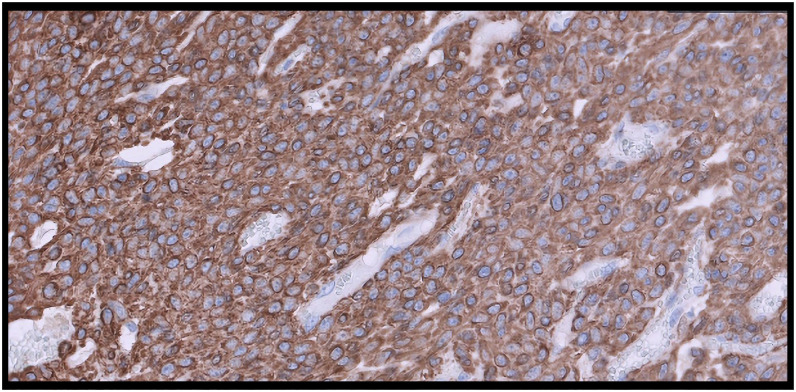
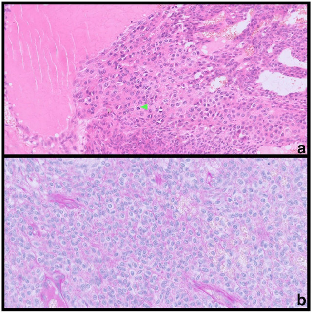
Case summaryA 4-year-old male castrated domestic shorthair cat presented with a 2 cm painful cutaneous mass on its right lateral abdominal wall. The cat inflicted self-trauma to the lesion site causing secondary ulceration and mild haemorrhage. Fine-needle aspiration or incisional biopsy was advised, along with diagnostic imaging; however, excisional biopsy was preferred by the owners. The mass was surgically removed with 1 cm lateral margins and a deep fascial plane. The histopathological features were most consistent with a diagnosis of a glomus tumour; the diagnosis was supported by subsequent immunohistochemistry. The tumour was completely removed and there were no signs of recurrence at the 6-month follow-up. In this case, surgery is expected to be curative. Relevance and novel information To the authors' knowledge, this is the first report of a glomus tumour of the body wall in a cat and its association with pain and self-trauma. This report aims to add more data to the diagnosis and presentation of glomus tumours in animals.

Abstract Image

Abstract Image

Abstract Image

猫腹壁球囊瘤。
病例总结:一只4岁雄性阉割家养短毛猫,在其右侧腹壁有一个2厘米痛的皮肤肿块。这只猫对病变部位造成了自我创伤,导致继发性溃疡和轻度出血。建议细针穿刺或切口活检,并进行诊断性影像学检查;然而,业主更倾向于切除活检。手术切除肿块1厘米外侧缘和深筋膜平面。组织病理学特征与血管球瘤的诊断最一致;随后的免疫组织化学证实了诊断。肿瘤被完全切除,在6个月的随访中没有复发的迹象。在这种情况下,手术有望治愈。相关性和新信息据作者所知,这是首次报道猫体壁血管瘤及其与疼痛和自我创伤的关系。本报告旨在为动物血管球瘤的诊断和表现提供更多的数据。
本文章由计算机程序翻译,如有差异,请以英文原文为准。
求助全文
约1分钟内获得全文 求助全文
来源期刊
CiteScore
1.30
自引率
14.30%
发文量
57
审稿时长
15 weeks
×
引用
GB/T 7714-2015
复制
MLA
复制
APA
复制
导出至
BibTeX EndNote RefMan NoteFirst NoteExpress
×
提示
您的信息不完整,为了账户安全,请先补充。
现在去补充
×
提示
您因"违规操作"
具体请查看互助需知
我知道了
×
提示
确定
请完成安全验证×
copy
已复制链接
快去分享给好友吧!
我知道了
右上角分享
点击右上角分享
0
联系我们:info@booksci.cn Book学术提供免费学术资源搜索服务,方便国内外学者检索中英文文献。致力于提供最便捷和优质的服务体验。 Copyright © 2023 布克学术 All rights reserved.
京ICP备2023020795号-1
ghs 京公网安备 11010802042870号
Book学术文献互助
Book学术文献互助群
群 号:604180095
Book学术官方微信