Radiological Considerations in Diagnosing Angiosarcoma Associated With Lymphedema Following Breast Cancer Surgery.

IF 2.4 4区 医学 Q3 ONCOLOGY
Eun Jung Choi, Gwang Min Chae, Jinyong Shin, Si-Gyun Roh, Nae-Ho Lee
{"title":"Radiological Considerations in Diagnosing Angiosarcoma Associated With Lymphedema Following Breast Cancer Surgery.","authors":"Eun Jung Choi, Gwang Min Chae, Jinyong Shin, Si-Gyun Roh, Nae-Ho Lee","doi":"10.4048/jbc.2024.0297","DOIUrl":null,"url":null,"abstract":"<p><p>Angiosarcoma associated with lymphedema is a rare soft tissue malignancy that occurs owing to chronic lymphedema, primarily following breast cancer surgery. We present a case of an 83-year-old female who developed angiosarcoma 14 years after undergoing breast cancer surgery. Diagnosis was confirmed through excisional biopsy, histopathological evaluation, and imaging. Computed tomography and magnetic resonance imaging revealed diffuse dermal thickening with an enhanced subcutaneous nodular lesion on the right arm. This unusual case emphasizes the importance of vigilant monitoring in patients with chronic lymphedema post-breast cancer surgery, as early radiologic and clinical detection can facilitate timely intervention and improve outcomes.</p>","PeriodicalId":15206,"journal":{"name":"Journal of Breast Cancer","volume":"28 2","pages":"119-124"},"PeriodicalIF":2.4000,"publicationDate":"2025-04-01","publicationTypes":"Journal Article","fieldsOfStudy":null,"isOpenAccess":false,"openAccessPdf":"https://www.ncbi.nlm.nih.gov/pmc/articles/PMC12046355/pdf/","citationCount":"0","resultStr":null,"platform":"Semanticscholar","paperid":null,"PeriodicalName":"Journal of Breast Cancer","FirstCategoryId":"3","ListUrlMain":"https://doi.org/10.4048/jbc.2024.0297","RegionNum":4,"RegionCategory":"医学","ArticlePicture":[],"TitleCN":null,"AbstractTextCN":null,"PMCID":null,"EPubDate":"","PubModel":"","JCR":"Q3","JCRName":"ONCOLOGY","Score":null,"Total":0}
引用次数: 0

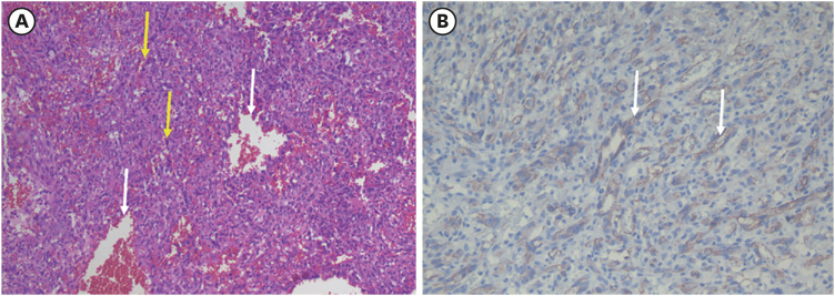
Abstract

Angiosarcoma associated with lymphedema is a rare soft tissue malignancy that occurs owing to chronic lymphedema, primarily following breast cancer surgery. We present a case of an 83-year-old female who developed angiosarcoma 14 years after undergoing breast cancer surgery. Diagnosis was confirmed through excisional biopsy, histopathological evaluation, and imaging. Computed tomography and magnetic resonance imaging revealed diffuse dermal thickening with an enhanced subcutaneous nodular lesion on the right arm. This unusual case emphasizes the importance of vigilant monitoring in patients with chronic lymphedema post-breast cancer surgery, as early radiologic and clinical detection can facilitate timely intervention and improve outcomes.

Abstract Image

Abstract Image

Abstract Image

乳腺癌手术后血管肉瘤伴淋巴水肿的影像学诊断。
血管肉瘤伴淋巴水肿是一种罕见的软组织恶性肿瘤,主要发生于乳腺癌手术后的慢性淋巴水肿。我们报告一例83岁女性在接受乳腺癌手术14年后发生血管肉瘤的病例。通过切除活检、组织病理学评估和影像学检查确诊。计算机断层扫描和磁共振成像显示右臂弥漫性真皮增厚,皮下结节性病变增强。这一不寻常的病例强调了警惕监测乳腺癌术后慢性淋巴水肿患者的重要性,因为早期放射学和临床检测可以促进及时干预并改善预后。
本文章由计算机程序翻译,如有差异,请以英文原文为准。
求助全文
约1分钟内获得全文 求助全文
来源期刊
Journal of Breast Cancer
Journal of Breast Cancer 医学-肿瘤学
CiteScore
3.80
自引率
4.20%
发文量
43
审稿时长
6-12 weeks
期刊介绍: The Journal of Breast Cancer (abbreviated as ''J Breast Cancer'') is the official journal of the Korean Breast Cancer Society, which is issued quarterly in the last day of March, June, September, and December each year since 1998. All the contents of the Journal is available online at the official journal website (http://ejbc.kr) under open access policy. The journal aims to provide a forum for the academic communication between medical doctors, basic science researchers, and health care professionals to be interested in breast cancer. To get this aim, we publish original investigations, review articles, brief communications including case reports, editorial opinions on the topics of importance to breast cancer, and welcome new research findings and epidemiological studies, especially when they contain a regional data to grab the international reader''s interest. Although the journal is mainly dealing with the issues of breast cancer, rare cases among benign breast diseases or evidence-based scientifically written articles providing useful information for clinical practice can be published as well.
×
引用
GB/T 7714-2015
复制
MLA
复制
APA
复制
导出至
BibTeX EndNote RefMan NoteFirst NoteExpress
×
提示
您的信息不完整,为了账户安全,请先补充。
现在去补充
×
提示
您因"违规操作"
具体请查看互助需知
我知道了
×
提示
确定
请完成安全验证×
copy
已复制链接
快去分享给好友吧!
我知道了
右上角分享
点击右上角分享
0
联系我们:info@booksci.cn Book学术提供免费学术资源搜索服务,方便国内外学者检索中英文文献。致力于提供最便捷和优质的服务体验。 Copyright © 2023 布克学术 All rights reserved.
京ICP备2023020795号-1
ghs 京公网安备 11010802042870号
Book学术文献互助
Book学术文献互助群
群 号:604180095
Book学术官方微信