A rare case of mycosis fungoides with porokeratosis-like lesions: a case report and review of previous literature.

IF 0.7 Q3 MEDICINE, GENERAL & INTERNAL
AME Case Reports Pub Date : 2025-03-31 eCollection Date: 2025-01-01 DOI:10.21037/acr-24-210
Salim S Alkeraye, Turky N Alsehli, Ahmed Alhumidi, Khalid Al-Husain, Khalid Nabil Nagshabandi
{"title":"A rare case of mycosis fungoides with porokeratosis-like lesions: a case report and review of previous literature.","authors":"Salim S Alkeraye, Turky N Alsehli, Ahmed Alhumidi, Khalid Al-Husain, Khalid Nabil Nagshabandi","doi":"10.21037/acr-24-210","DOIUrl":null,"url":null,"abstract":"<p><strong>Background: </strong>Cutaneous T-cell lymphomas (CTCLs) are the second most prevalent group of extranodal lymphomas second to B-cell lymphomas. Mycosis fungoides (MF) is the most common type of CTCL, often presenting as erythematous patches and plaques with scaling. However, MF is known for its wide range of clinical presentations, making it a \"great mimicker\" of other dermatological conditions. It can manifest as hypopigmented, hyperkeratotic, or purpuric lesions, among others, contributing to frequent diagnostic challenges. Porokeratosis-like MF is an exceedingly rare variant, with only a few cases reported in the literature. This case report describes a unique presentation of MF mimicking porokeratosis.</p><p><strong>Case description: </strong>A 44-year-old male presented with brownish papules on the feet, showing porokeratosis-like features upon clinical presentation. Histopathological examination and immunohistochemistry revealed a profile consistent with MF, demonstrating band-like infiltrate of lymphocytes in the papillary dermis and CD7 loss and CD8 positivity in both the epidermis and dermis. The patient was treated with topical Clobetasol propionate, showing partial improvement over a biweekly follow-up period of three months with no recurrence observed to date.</p><p><strong>Conclusions: </strong>This case underscores the importance of considering MF in atypical porokeratosis presentations. A thorough clinicopathologic correlation is vital for accurate diagnosis and management of such unusual MF variants.</p>","PeriodicalId":29752,"journal":{"name":"AME Case Reports","volume":"9 ","pages":"67"},"PeriodicalIF":0.7000,"publicationDate":"2025-03-31","publicationTypes":"Journal Article","fieldsOfStudy":null,"isOpenAccess":false,"openAccessPdf":"https://www.ncbi.nlm.nih.gov/pmc/articles/PMC12053989/pdf/","citationCount":"0","resultStr":null,"platform":"Semanticscholar","paperid":null,"PeriodicalName":"AME Case Reports","FirstCategoryId":"1085","ListUrlMain":"https://doi.org/10.21037/acr-24-210","RegionNum":0,"RegionCategory":null,"ArticlePicture":[],"TitleCN":null,"AbstractTextCN":null,"PMCID":null,"EPubDate":"2025/1/1 0:00:00","PubModel":"eCollection","JCR":"Q3","JCRName":"MEDICINE, GENERAL & INTERNAL","Score":null,"Total":0}
引用次数: 0

Abstract

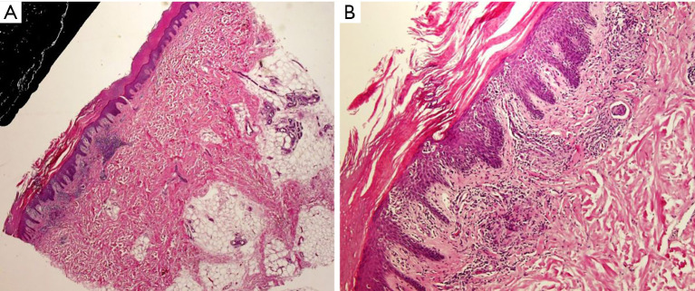
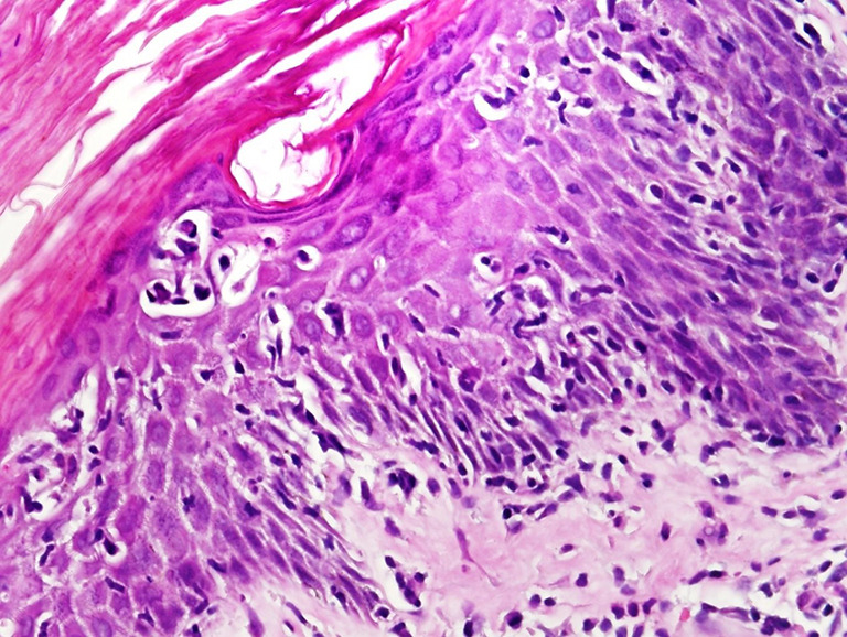
Background: Cutaneous T-cell lymphomas (CTCLs) are the second most prevalent group of extranodal lymphomas second to B-cell lymphomas. Mycosis fungoides (MF) is the most common type of CTCL, often presenting as erythematous patches and plaques with scaling. However, MF is known for its wide range of clinical presentations, making it a "great mimicker" of other dermatological conditions. It can manifest as hypopigmented, hyperkeratotic, or purpuric lesions, among others, contributing to frequent diagnostic challenges. Porokeratosis-like MF is an exceedingly rare variant, with only a few cases reported in the literature. This case report describes a unique presentation of MF mimicking porokeratosis.

Case description: A 44-year-old male presented with brownish papules on the feet, showing porokeratosis-like features upon clinical presentation. Histopathological examination and immunohistochemistry revealed a profile consistent with MF, demonstrating band-like infiltrate of lymphocytes in the papillary dermis and CD7 loss and CD8 positivity in both the epidermis and dermis. The patient was treated with topical Clobetasol propionate, showing partial improvement over a biweekly follow-up period of three months with no recurrence observed to date.

Conclusions: This case underscores the importance of considering MF in atypical porokeratosis presentations. A thorough clinicopathologic correlation is vital for accurate diagnosis and management of such unusual MF variants.

Abstract Image

Abstract Image

Abstract Image

罕见蕈样真菌病伴角化孔样病变1例报告及文献复习。
背景:皮肤t细胞淋巴瘤(ctcl)是仅次于b细胞淋巴瘤的第二常见结外淋巴瘤。蕈样真菌病(MF)是最常见的CTCL类型,通常表现为红斑斑块和斑块。然而,MF以其广泛的临床表现而闻名,使其成为其他皮肤病的“伟大模仿者”。它可以表现为色素沉着,角化过度,或紫癜性病变等,有助于频繁的诊断挑战。类角化孔MF是一种非常罕见的变异,文献中只有少数病例报道。本病例报告描述了一种独特的MF模拟孔隙角化症的表现。病例描述:一名44岁男性,脚上有棕色丘疹,临床表现为角化孔样特征。组织病理学检查和免疫组织化学显示与MF一致的特征,显示乳头状真皮中淋巴细胞呈带状浸润,表皮和真皮中CD7缺失和CD8阳性。患者局部应用丙酸氯倍他索治疗,两周随访3个月后出现部分改善,至今未见复发。结论:本病例强调了在非典型骨质疏松症表现中考虑MF的重要性。彻底的临床病理相关性对于准确诊断和治疗这种不寻常的MF变异至关重要。
本文章由计算机程序翻译,如有差异,请以英文原文为准。
求助全文
约1分钟内获得全文 求助全文
来源期刊
自引率
0.00%
发文量
0
×
引用
GB/T 7714-2015
复制
MLA
复制
APA
复制
导出至
BibTeX EndNote RefMan NoteFirst NoteExpress
×
提示
您的信息不完整,为了账户安全,请先补充。
现在去补充
×
提示
您因"违规操作"
具体请查看互助需知
我知道了
×
提示
确定
请完成安全验证×
copy
已复制链接
快去分享给好友吧!
我知道了
右上角分享
点击右上角分享
0
联系我们:info@booksci.cn Book学术提供免费学术资源搜索服务,方便国内外学者检索中英文文献。致力于提供最便捷和优质的服务体验。 Copyright © 2023 布克学术 All rights reserved.
京ICP备2023020795号-1
ghs 京公网安备 11010802042870号
Book学术文献互助
Book学术文献互助群
群 号:604180095
Book学术官方微信