Odontogenic brain abscess caused by Porphyromonas gingivalis and Streptococcus constellatus: a case report and review article.

IF 5.5 2区 医学 Q2 MICROBIOLOGY
Journal of Oral Microbiology Pub Date : 2025-04-14 eCollection Date: 2025-01-01 DOI:10.1080/20002297.2025.2485197
Siyu Sun, Rui He, Shan Chen, Jing Ren, Xinrong Ma, Junying Yang
{"title":"Odontogenic brain abscess caused by <i>Porphyromonas gingivalis</i> and <i>Streptococcus constellatus</i>: a case report and review article.","authors":"Siyu Sun, Rui He, Shan Chen, Jing Ren, Xinrong Ma, Junying Yang","doi":"10.1080/20002297.2025.2485197","DOIUrl":null,"url":null,"abstract":"<p><strong>Background: </strong>Odontogenic brain abscess is a rare, but potentially fatal, central nervous system infection, with insidious onset and unclear etiology.</p><p><strong>Methods: </strong>This case reports a 70-year-old male patient who developed an odontogenic brain abscess secondary to periodontal infection and underwent neurological surgery. Extract pus during surgery for the metagenomic next-generation sequencing (mNGS).</p><p><strong>Results: </strong>The mNGS of pus samples obtained from brain abscess aspiration identified the periodontal pathogens <i>Porphyromonas gingivalis</i> and <i>Streptococcus constellatus</i>. Consequently, he was referred to the department of stomatology for further examination and treatment.</p><p><strong>Conclusions: </strong>Our study found that major periodontal pathogens including <i>P. gingivalis</i> and <i>S. constellatus</i> were essential in the development of odontogenic brain abscesses; thus, timely intervention and preventive measures are important for treatment.</p>","PeriodicalId":16598,"journal":{"name":"Journal of Oral Microbiology","volume":"17 1","pages":"2485197"},"PeriodicalIF":5.5000,"publicationDate":"2025-04-14","publicationTypes":"Journal Article","fieldsOfStudy":null,"isOpenAccess":false,"openAccessPdf":"https://www.ncbi.nlm.nih.gov/pmc/articles/PMC12001842/pdf/","citationCount":"0","resultStr":null,"platform":"Semanticscholar","paperid":null,"PeriodicalName":"Journal of Oral Microbiology","FirstCategoryId":"3","ListUrlMain":"https://doi.org/10.1080/20002297.2025.2485197","RegionNum":2,"RegionCategory":"医学","ArticlePicture":[],"TitleCN":null,"AbstractTextCN":null,"PMCID":null,"EPubDate":"2025/1/1 0:00:00","PubModel":"eCollection","JCR":"Q2","JCRName":"MICROBIOLOGY","Score":null,"Total":0}
引用次数: 0

Abstract

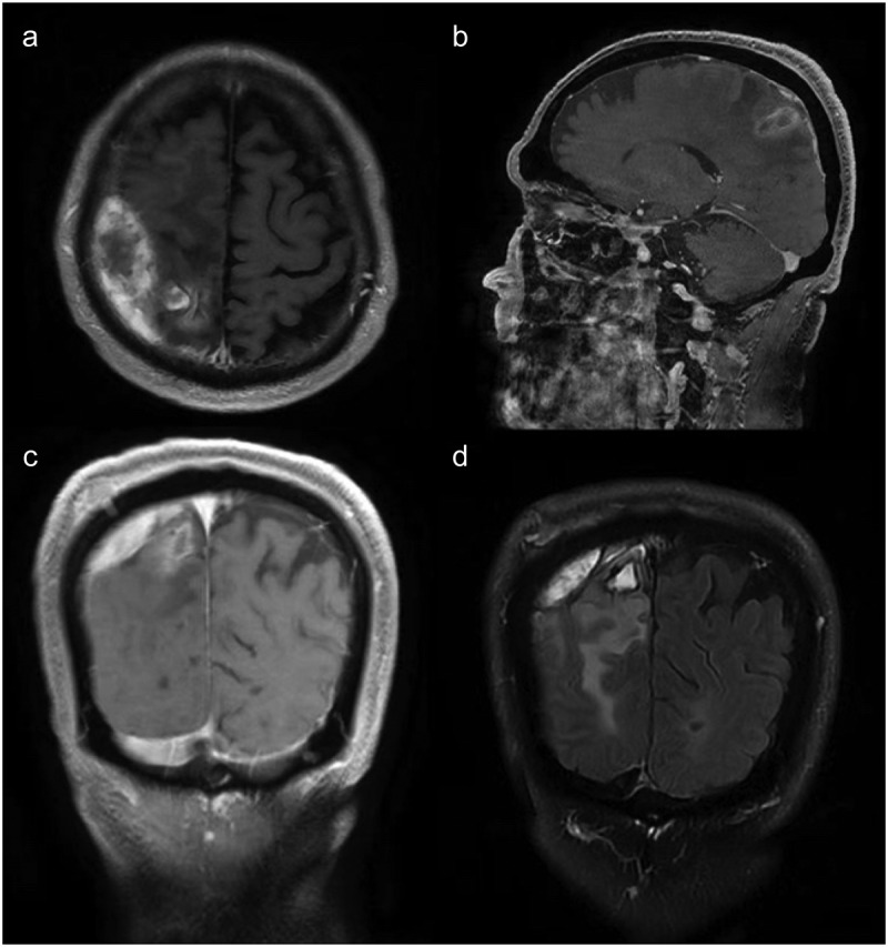
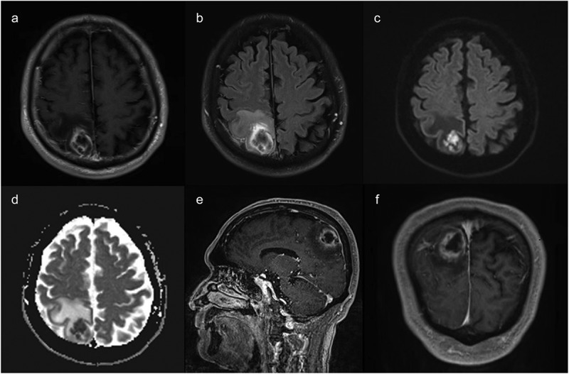
Background: Odontogenic brain abscess is a rare, but potentially fatal, central nervous system infection, with insidious onset and unclear etiology.

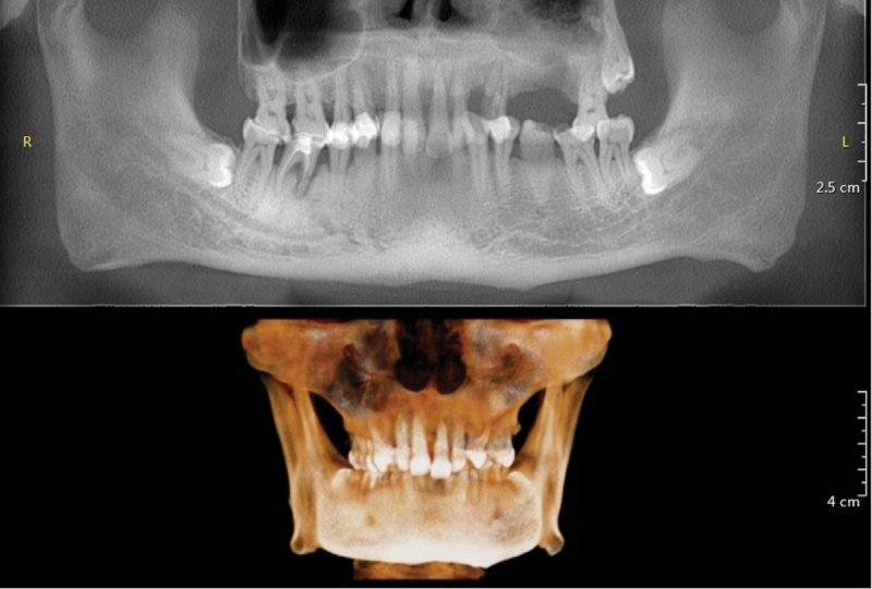
Methods: This case reports a 70-year-old male patient who developed an odontogenic brain abscess secondary to periodontal infection and underwent neurological surgery. Extract pus during surgery for the metagenomic next-generation sequencing (mNGS).

Results: The mNGS of pus samples obtained from brain abscess aspiration identified the periodontal pathogens Porphyromonas gingivalis and Streptococcus constellatus. Consequently, he was referred to the department of stomatology for further examination and treatment.

Conclusions: Our study found that major periodontal pathogens including P. gingivalis and S. constellatus were essential in the development of odontogenic brain abscesses; thus, timely intervention and preventive measures are important for treatment.

Abstract Image

Abstract Image

Abstract Image

牙龈卟啉单胞菌和星座链球菌所致牙源性脑脓肿1例报告并复习。
背景:牙源性脑脓肿是一种罕见但可能致命的中枢神经系统感染,发病隐匿,病因不明。方法:本病例报告一位70岁男性患者,因牙周感染并发牙源性脑脓肿而行神经外科手术。在手术中提取脓液用于宏基因组下一代测序(mNGS)。结果:脑脓肿吸出脓液样品的mNGS鉴定出牙周病原菌牙龈卟啉单胞菌和星座链球菌。因此,他被转到口腔科作进一步检查和治疗。结论:我们的研究发现,牙龈假单胞菌和星状假单胞菌等主要牙周病原体在牙源性脑脓肿的发生过程中是必不可少的;因此,及时干预和预防措施对治疗至关重要。
本文章由计算机程序翻译,如有差异,请以英文原文为准。
求助全文
约1分钟内获得全文 求助全文
来源期刊
CiteScore
8.00
自引率
4.40%
发文量
52
审稿时长
12 weeks
期刊介绍: As the first Open Access journal in its field, the Journal of Oral Microbiology aims to be an influential source of knowledge on the aetiological agents behind oral infectious diseases. The journal is an international forum for original research on all aspects of ''oral health''. Articles which seek to understand ''oral health'' through exploration of the pathogenesis, virulence, host-parasite interactions, and immunology of oral infections are of particular interest. However, the journal also welcomes work that addresses the global agenda of oral infectious diseases and articles that present new strategies for treatment and prevention or improvements to existing strategies. Topics: ''oral health'', microbiome, genomics, host-pathogen interactions, oral infections, aetiologic agents, pathogenesis, molecular microbiology systemic diseases, ecology/environmental microbiology, treatment, diagnostics, epidemiology, basic oral microbiology, and taxonomy/systematics. Article types: original articles, notes, review articles, mini-reviews and commentaries
×
引用
GB/T 7714-2015
复制
MLA
复制
APA
复制
导出至
BibTeX EndNote RefMan NoteFirst NoteExpress
×
提示
您的信息不完整,为了账户安全,请先补充。
现在去补充
×
提示
您因"违规操作"
具体请查看互助需知
我知道了
×
提示
确定
请完成安全验证×
copy
已复制链接
快去分享给好友吧!
我知道了
右上角分享
点击右上角分享
0
联系我们:info@booksci.cn Book学术提供免费学术资源搜索服务,方便国内外学者检索中英文文献。致力于提供最便捷和优质的服务体验。 Copyright © 2023 布克学术 All rights reserved.
京ICP备2023020795号-1
ghs 京公网安备 11010802042870号
Book学术文献互助
Book学术文献互助群
群 号:604180095
Book学术官方微信