Diagnosing glycogen storage disease type 1b in adulthood: A case with multiple hepatocellular adenomas.

IF 2.1 Q4 GASTROENTEROLOGY & HEPATOLOGY
Hepatology Forum Pub Date : 2024-12-25 eCollection Date: 2025-01-01 DOI:10.14744/hf.2024.2024.0008
Yunus Emre Boru, Kenan Moral, Nergis Ekmen, Mehmet Cindoruk
{"title":"Diagnosing glycogen storage disease type 1b in adulthood: A case with multiple hepatocellular adenomas.","authors":"Yunus Emre Boru, Kenan Moral, Nergis Ekmen, Mehmet Cindoruk","doi":"10.14744/hf.2024.2024.0008","DOIUrl":null,"url":null,"abstract":"<p><p>Glycogen Storage Disease Type 1b (GSD Type 1b) is predominantly diagnosed in childhood. Rare cases emerging in adulthood present a unique set of clinical challenges, particularly concerning liver lesions. We report a 22-year-old male diagnosed unusually late with GSD Type 1b, underlining the hepatic complexities involved. He initially presented with hepatomegaly and solid nodular lesions in the liver. An abdominal magnetic resonance imaging (MRI) revealed a sizable hepatocellular adenoma (HCA), subsequently removed through surgical segmentectomy. Histopathology confirmed the lesion as a hepatocyte nuclear factor-1 alpha (HNF-1alpha) mutation-positive HCA. Follow-up MRI revealed the persistence of multiple smaller liver nodules, necessitating continued clinical surveillance. Hepatic adenomas are a common complication in GSD Type 1 patients, posing management challenges due to their size, multiplicity, and risk of malignancy. While liver transplantation is a last resort option, it can worsen metabolic control. Sodium-glucose cotransporter-2 (SGLT-2) inhibitors offer a potential alternative for improving glycemic regulation and possibly affecting the adenoma size.</p>","PeriodicalId":29722,"journal":{"name":"Hepatology Forum","volume":"6 1","pages":"26-28"},"PeriodicalIF":2.1000,"publicationDate":"2024-12-25","publicationTypes":"Journal Article","fieldsOfStudy":null,"isOpenAccess":false,"openAccessPdf":"https://www.ncbi.nlm.nih.gov/pmc/articles/PMC12008455/pdf/","citationCount":"0","resultStr":null,"platform":"Semanticscholar","paperid":null,"PeriodicalName":"Hepatology Forum","FirstCategoryId":"1085","ListUrlMain":"https://doi.org/10.14744/hf.2024.2024.0008","RegionNum":0,"RegionCategory":null,"ArticlePicture":[],"TitleCN":null,"AbstractTextCN":null,"PMCID":null,"EPubDate":"2025/1/1 0:00:00","PubModel":"eCollection","JCR":"Q4","JCRName":"GASTROENTEROLOGY & HEPATOLOGY","Score":null,"Total":0}
引用次数: 0

Abstract

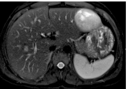
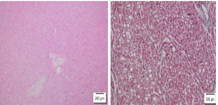
Glycogen Storage Disease Type 1b (GSD Type 1b) is predominantly diagnosed in childhood. Rare cases emerging in adulthood present a unique set of clinical challenges, particularly concerning liver lesions. We report a 22-year-old male diagnosed unusually late with GSD Type 1b, underlining the hepatic complexities involved. He initially presented with hepatomegaly and solid nodular lesions in the liver. An abdominal magnetic resonance imaging (MRI) revealed a sizable hepatocellular adenoma (HCA), subsequently removed through surgical segmentectomy. Histopathology confirmed the lesion as a hepatocyte nuclear factor-1 alpha (HNF-1alpha) mutation-positive HCA. Follow-up MRI revealed the persistence of multiple smaller liver nodules, necessitating continued clinical surveillance. Hepatic adenomas are a common complication in GSD Type 1 patients, posing management challenges due to their size, multiplicity, and risk of malignancy. While liver transplantation is a last resort option, it can worsen metabolic control. Sodium-glucose cotransporter-2 (SGLT-2) inhibitors offer a potential alternative for improving glycemic regulation and possibly affecting the adenoma size.

Abstract Image

Abstract Image

成年期1b型糖原储存病的诊断:多发性肝细胞腺瘤1例。
糖原储存病1b型(GSD 1b型)主要诊断于儿童期。罕见病例出现在成年期提出了一套独特的临床挑战,特别是涉及肝脏病变。我们报告一位22岁的男性,诊断为异常晚期的GSD 1b型,强调了肝脏的复杂性。他最初表现为肝肿大和肝内实性结节病变。腹部磁共振成像(MRI)显示一个相当大的肝细胞腺瘤(HCA),随后通过手术切除。组织病理学证实该病变为肝细胞核因子-1 α (hnf -1 α)突变阳性的HCA。后续MRI显示持续存在多个较小的肝结节,需要继续进行临床监测。肝腺瘤是GSD 1型患者的常见并发症,由于其大小、多样性和恶性肿瘤的风险,给治疗带来了挑战。虽然肝移植是最后的选择,但它会使代谢控制恶化。钠-葡萄糖共转运蛋白-2 (SGLT-2)抑制剂为改善血糖调节和可能影响腺瘤大小提供了潜在的替代方案。
本文章由计算机程序翻译,如有差异,请以英文原文为准。
求助全文
约1分钟内获得全文 求助全文
来源期刊
CiteScore
1.90
自引率
12.50%
发文量
0
×
引用
GB/T 7714-2015
复制
MLA
复制
APA
复制
导出至
BibTeX EndNote RefMan NoteFirst NoteExpress
×
提示
您的信息不完整,为了账户安全,请先补充。
现在去补充
×
提示
您因"违规操作"
具体请查看互助需知
我知道了
×
提示
确定
请完成安全验证×
copy
已复制链接
快去分享给好友吧!
我知道了
右上角分享
点击右上角分享
0
联系我们:info@booksci.cn Book学术提供免费学术资源搜索服务,方便国内外学者检索中英文文献。致力于提供最便捷和优质的服务体验。 Copyright © 2023 布克学术 All rights reserved.
京ICP备2023020795号-1
ghs 京公网安备 11010802042870号
Book学术文献互助
Book学术文献互助群
群 号:604180095
Book学术官方微信