High serum perfluorooctanoic acid (PFOA) concentrations and interstitial lung disease in former and current workers in a fluorochemical company.

IF 1.6 4区 医学 Q3 ENVIRONMENTAL SCIENCES
Industrial Health Pub Date : 2025-09-20 Epub Date: 2025-04-22 DOI:10.2486/indhealth.2025-0009
Kunio Kanetani, Kenji Nakamura, Kouji H Harada, Hideaki Akihisa, Tamiki Oshima, Hiromi Ogata, Akio Koizumi
{"title":"High serum perfluorooctanoic acid (PFOA) concentrations and interstitial lung disease in former and current workers in a fluorochemical company.","authors":"Kunio Kanetani, Kenji Nakamura, Kouji H Harada, Hideaki Akihisa, Tamiki Oshima, Hiromi Ogata, Akio Koizumi","doi":"10.2486/indhealth.2025-0009","DOIUrl":null,"url":null,"abstract":"<p><p>In 2002, Daikin Industries' Yodogawa Plant (DIYP) in Settsu City in Japan had contaminated drinking water in Hanshin area with (PFOA), leading to the complete cessation of PFOA production in 2012. In 2023, local residents conducted a voluntary Blood Monitoring Campaign with 1,182 general residents. Blood monitoring was also conducted for former or current workers from DIYP and farming residents in Settsu City. Serum PFOA concentrations determined by gas chromatography with mass spectrometry [number: ng/ml: median (25th-75th percentile)] were as follows: former and current workers [N=7: 192.6 (23.3-596.6)] >farming residents [N=5: 70.2 (50.4-98.8)] >general residents [N=1182: 5.0 (3.3-7.0)] with significant differences (Kruskal-Wallis test, p<0.001). In a study, 4 out of 5 farming residents showed a serum PFOA decline (half-life: 2.2 yr, 95% CI: 1.4-4.6) after stopping local agricultural product consumption. However, 3 former workers exhibited no decrease over 0.8-0.9 yr. An investigation found that 5 of the 7 subjects were likely exposed to dust from the polymerization of tetrafluoroethylene or handling its particulate matters, with 3 showing Interstitial Lung Disease (ILD) signs. This suggests PFOA-laden dust may delay excretion and contribute to ILD, though the mechanistic link remains unclear, requiring further research.</p>","PeriodicalId":13531,"journal":{"name":"Industrial Health","volume":" ","pages":"490-502"},"PeriodicalIF":1.6000,"publicationDate":"2025-09-20","publicationTypes":"Journal Article","fieldsOfStudy":null,"isOpenAccess":false,"openAccessPdf":"https://www.ncbi.nlm.nih.gov/pmc/articles/PMC12476936/pdf/","citationCount":"0","resultStr":null,"platform":"Semanticscholar","paperid":null,"PeriodicalName":"Industrial Health","FirstCategoryId":"3","ListUrlMain":"https://doi.org/10.2486/indhealth.2025-0009","RegionNum":4,"RegionCategory":"医学","ArticlePicture":[],"TitleCN":null,"AbstractTextCN":null,"PMCID":null,"EPubDate":"2025/4/22 0:00:00","PubModel":"Epub","JCR":"Q3","JCRName":"ENVIRONMENTAL SCIENCES","Score":null,"Total":0}
引用次数: 0

Abstract

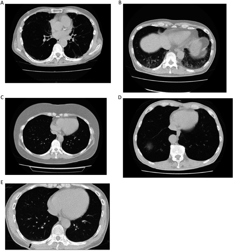
In 2002, Daikin Industries' Yodogawa Plant (DIYP) in Settsu City in Japan had contaminated drinking water in Hanshin area with (PFOA), leading to the complete cessation of PFOA production in 2012. In 2023, local residents conducted a voluntary Blood Monitoring Campaign with 1,182 general residents. Blood monitoring was also conducted for former or current workers from DIYP and farming residents in Settsu City. Serum PFOA concentrations determined by gas chromatography with mass spectrometry [number: ng/ml: median (25th-75th percentile)] were as follows: former and current workers [N=7: 192.6 (23.3-596.6)] >farming residents [N=5: 70.2 (50.4-98.8)] >general residents [N=1182: 5.0 (3.3-7.0)] with significant differences (Kruskal-Wallis test, p<0.001). In a study, 4 out of 5 farming residents showed a serum PFOA decline (half-life: 2.2 yr, 95% CI: 1.4-4.6) after stopping local agricultural product consumption. However, 3 former workers exhibited no decrease over 0.8-0.9 yr. An investigation found that 5 of the 7 subjects were likely exposed to dust from the polymerization of tetrafluoroethylene or handling its particulate matters, with 3 showing Interstitial Lung Disease (ILD) signs. This suggests PFOA-laden dust may delay excretion and contribute to ILD, though the mechanistic link remains unclear, requiring further research.

Abstract Image

Abstract Image

Abstract Image

某氟化工公司职工血清全氟辛酸(PFOA)高浓度与间质性肺疾病
2002年,日本濑津市大金工业的代道川工厂(DIYP)用全氟辛酸(PFOA)污染了阪神地区的饮用水,导致2012年完全停止了全氟辛酸的生产。2023年,当地居民对1182名普通居民进行了自愿血液监测运动。还对DIYP的前任或现任工人和setsu市的农业居民进行了血液监测。气相色谱-质谱法测定的血清PFOA浓度[数值:ng/mL:中位数(25 -75个百分点)]分别为:以前和现在的工人[N=7: 192.6(23.3-596.6)];农业居民[N=5: 70.2(50.4-98.8)];普通居民[N=1 182: 5.0(3.3-7.0)],差异有统计学意义(Kruskal-Wallis检验,p
本文章由计算机程序翻译,如有差异,请以英文原文为准。
求助全文
约1分钟内获得全文 求助全文
来源期刊
Industrial Health
Industrial Health 医学-毒理学
CiteScore
3.40
自引率
5.00%
发文量
64
审稿时长
6-12 weeks
期刊介绍: INDUSTRIAL HEALTH covers all aspects of occupational medicine, ergonomics, industrial hygiene, engineering, safety and policy sciences. The journal helps promote solutions for the control and improvement of working conditions, and for the application of valuable research findings to the actual working environment.
×
引用
GB/T 7714-2015
复制
MLA
复制
APA
复制
导出至
BibTeX EndNote RefMan NoteFirst NoteExpress
×
提示
您的信息不完整,为了账户安全,请先补充。
现在去补充
×
提示
您因"违规操作"
具体请查看互助需知
我知道了
×
提示
确定
请完成安全验证×
copy
已复制链接
快去分享给好友吧!
我知道了
右上角分享
点击右上角分享
0
联系我们:info@booksci.cn Book学术提供免费学术资源搜索服务,方便国内外学者检索中英文文献。致力于提供最便捷和优质的服务体验。 Copyright © 2023 布克学术 All rights reserved.
京ICP备2023020795号-1
ghs 京公网安备 11010802042870号
Book学术文献互助
Book学术文献互助群
群 号:604180095
Book学术官方微信