Small cell lung cancer with small intestinal metastasis: Case report and literature review.

IF 1.7 4区 生物学 Q3 BIOLOGY
Open Life Sciences Pub Date : 2025-04-29 eCollection Date: 2025-01-01 DOI:10.1515/biol-2025-1073
Hai Zeng, Ziguo Liu, Min Zhu, Tian-E Zhang
{"title":"Small cell lung cancer with small intestinal metastasis: Case report and literature review.","authors":"Hai Zeng, Ziguo Liu, Min Zhu, Tian-E Zhang","doi":"10.1515/biol-2025-1073","DOIUrl":null,"url":null,"abstract":"<p><p>Patients with small cell lung cancer (SCLC) typically exhibit a poor prognosis, often receiving diagnoses at an advanced stage. Despite recent advances in immunotherapy, the median survival remains approximately one year. Gastrointestinal metastases from lung cancer, based on clinical experience, are exceedingly rare and associated with dire prognoses. This article details the diagnosis and management of an unusual case of SCLC with gastrointestinal metastasis. The patient's survival was notably prolonged compared to typical SCLC outcomes, providing significant clinical insight.</p>","PeriodicalId":19605,"journal":{"name":"Open Life Sciences","volume":"20 1","pages":"20251073"},"PeriodicalIF":1.7000,"publicationDate":"2025-04-29","publicationTypes":"Journal Article","fieldsOfStudy":null,"isOpenAccess":false,"openAccessPdf":"https://www.ncbi.nlm.nih.gov/pmc/articles/PMC12048897/pdf/","citationCount":"0","resultStr":null,"platform":"Semanticscholar","paperid":null,"PeriodicalName":"Open Life Sciences","FirstCategoryId":"99","ListUrlMain":"https://doi.org/10.1515/biol-2025-1073","RegionNum":4,"RegionCategory":"生物学","ArticlePicture":[],"TitleCN":null,"AbstractTextCN":null,"PMCID":null,"EPubDate":"2025/1/1 0:00:00","PubModel":"eCollection","JCR":"Q3","JCRName":"BIOLOGY","Score":null,"Total":0}
引用次数: 0

Abstract

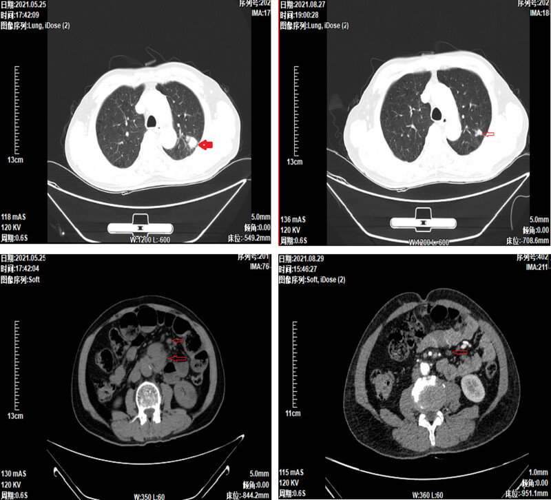
Patients with small cell lung cancer (SCLC) typically exhibit a poor prognosis, often receiving diagnoses at an advanced stage. Despite recent advances in immunotherapy, the median survival remains approximately one year. Gastrointestinal metastases from lung cancer, based on clinical experience, are exceedingly rare and associated with dire prognoses. This article details the diagnosis and management of an unusual case of SCLC with gastrointestinal metastasis. The patient's survival was notably prolonged compared to typical SCLC outcomes, providing significant clinical insight.

Abstract Image

Abstract Image

Abstract Image

小细胞肺癌伴小肠转移1例并文献复习。
小细胞肺癌(SCLC)患者通常表现为预后不良,通常在晚期才被诊断出来。尽管最近免疫治疗取得了进展,但中位生存期仍约为一年。根据临床经验,肺癌的胃肠道转移非常罕见,预后很差。本文详细介绍了一例罕见的SCLC合并胃肠道转移的诊断和治疗。与典型的SCLC结果相比,患者的生存期明显延长,提供了重要的临床见解。
本文章由计算机程序翻译,如有差异,请以英文原文为准。
求助全文
约1分钟内获得全文 求助全文
来源期刊
CiteScore
2.50
自引率
4.50%
发文量
131
审稿时长
43 weeks
期刊介绍: Open Life Sciences (previously Central European Journal of Biology) is a fast growing peer-reviewed journal, devoted to scholarly research in all areas of life sciences, such as molecular biology, plant science, biotechnology, cell biology, biochemistry, biophysics, microbiology and virology, ecology, differentiation and development, genetics and many others. Open Life Sciences assures top quality of published data through critical peer review and editorial involvement throughout the whole publication process. Thanks to the Open Access model of publishing, it also offers unrestricted access to published articles for all users.
×
引用
GB/T 7714-2015
复制
MLA
复制
APA
复制
导出至
BibTeX EndNote RefMan NoteFirst NoteExpress
×
提示
您的信息不完整,为了账户安全,请先补充。
现在去补充
×
提示
您因"违规操作"
具体请查看互助需知
我知道了
×
提示
确定
请完成安全验证×
copy
已复制链接
快去分享给好友吧!
我知道了
右上角分享
点击右上角分享
0
联系我们:info@booksci.cn Book学术提供免费学术资源搜索服务,方便国内外学者检索中英文文献。致力于提供最便捷和优质的服务体验。 Copyright © 2023 布克学术 All rights reserved.
京ICP备2023020795号-1
ghs 京公网安备 11010802042870号
Book学术文献互助
Book学术文献互助群
群 号:604180095
Book学术官方微信