Revascularization of an Immature Three Rooted First Mandibular Molar Using Concentrated Growth Factor: A Case Report.

Q3 Dentistry
Iranian Endodontic Journal Pub Date : 2025-01-01 Epub Date: 2025-01-18 DOI:10.22037/iej.v20i1.46700
Mahgol Mehrabani, Arya Goodarzy, Mojgan Feli
{"title":"Revascularization of an Immature Three Rooted First Mandibular Molar Using Concentrated Growth Factor: A Case Report.","authors":"Mahgol Mehrabani, Arya Goodarzy, Mojgan Feli","doi":"10.22037/iej.v20i1.46700","DOIUrl":null,"url":null,"abstract":"<p><p>Regenerative endodontic procedures (REPs) have emerged as a biologically driven approach for managing immature teeth with necrotic pulp and open apices, providing an alternative to traditional apexification techniques. This case report describes the successful treatment of a three-rooted immature mandibular first molar with necrotic pulp and chronic apical periodontitis in a 9-year-old patient using REPs. The treatment followed the guidelines set by the American Association of Endodontists and utilized a two-visit protocol. Concentrated growth factor (CGF) was employed as a biological scaffold in the root canals, while calcium-enriched mixture (CEM) cement was used for the coronal seal. Radiographic evaluations conducted at 6, 12, and 15 months revealed progressive periapical healing, significant root elongation, increased thickness of the root walls, and partial apical closure. Clinically, the patient remained asymptomatic during all follow-ups. This case highlights the potential of CGF and CEM cement-enhanced REPs to promote continued root development and achieve predictable outcomes in immature teeth with necrotic pulps, offering a biologically based alternative to conventional apexification.</p>","PeriodicalId":14534,"journal":{"name":"Iranian Endodontic Journal","volume":"20 1","pages":"e11"},"PeriodicalIF":0.0000,"publicationDate":"2025-01-01","publicationTypes":"Journal Article","fieldsOfStudy":null,"isOpenAccess":false,"openAccessPdf":"https://www.ncbi.nlm.nih.gov/pmc/articles/PMC11981003/pdf/","citationCount":"0","resultStr":null,"platform":"Semanticscholar","paperid":null,"PeriodicalName":"Iranian Endodontic Journal","FirstCategoryId":"1085","ListUrlMain":"https://doi.org/10.22037/iej.v20i1.46700","RegionNum":0,"RegionCategory":null,"ArticlePicture":[],"TitleCN":null,"AbstractTextCN":null,"PMCID":null,"EPubDate":"2025/1/18 0:00:00","PubModel":"Epub","JCR":"Q3","JCRName":"Dentistry","Score":null,"Total":0}
引用次数: 0

Abstract

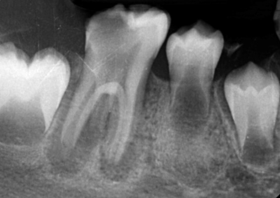
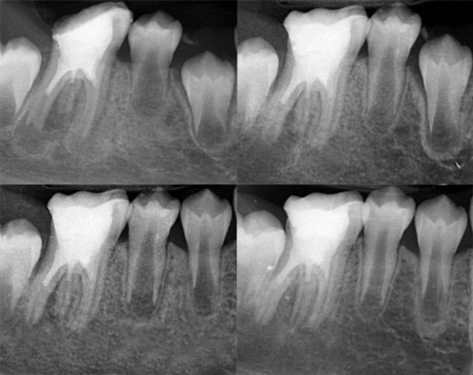
Regenerative endodontic procedures (REPs) have emerged as a biologically driven approach for managing immature teeth with necrotic pulp and open apices, providing an alternative to traditional apexification techniques. This case report describes the successful treatment of a three-rooted immature mandibular first molar with necrotic pulp and chronic apical periodontitis in a 9-year-old patient using REPs. The treatment followed the guidelines set by the American Association of Endodontists and utilized a two-visit protocol. Concentrated growth factor (CGF) was employed as a biological scaffold in the root canals, while calcium-enriched mixture (CEM) cement was used for the coronal seal. Radiographic evaluations conducted at 6, 12, and 15 months revealed progressive periapical healing, significant root elongation, increased thickness of the root walls, and partial apical closure. Clinically, the patient remained asymptomatic during all follow-ups. This case highlights the potential of CGF and CEM cement-enhanced REPs to promote continued root development and achieve predictable outcomes in immature teeth with necrotic pulps, offering a biologically based alternative to conventional apexification.

Abstract Image

Abstract Image

Abstract Image

浓缩生长因子用于未成熟三根第一下颌磨牙血管重建术1例。
再生牙髓治疗(REPs)已成为一种生物驱动的方法,用于治疗髓质坏死和尖尖开放的未成熟牙齿,提供了传统尖尖化技术的替代方案。这个病例报告描述了一个成功的治疗三根未成熟的下颌第一磨牙坏死牙髓和慢性根尖牙周炎的9岁患者使用rep。治疗遵循美国牙髓医师协会制定的指导方针,并采用两次就诊方案。浓缩生长因子(CGF)作为根管内的生物支架,而富钙合剂(CEM)用于冠状密封。在6、12和15个月时进行的影像学评估显示根尖周逐渐愈合,根明显伸长,根壁厚度增加,部分根尖闭合。在临床上,患者在所有随访期间均无症状。该病例强调了CGF和CEM骨水泥增强的rep在促进牙根持续发育和获得可预测的牙髓坏死未成熟牙齿的结果方面的潜力,为传统的根尖拔除提供了一种基于生物学的替代方案。
本文章由计算机程序翻译,如有差异,请以英文原文为准。
求助全文
约1分钟内获得全文 求助全文
来源期刊
Iranian Endodontic Journal
Iranian Endodontic Journal Dentistry-Dentistry (all)
CiteScore
1.30
自引率
0.00%
发文量
0
审稿时长
12 weeks
期刊介绍: The Iranian Endodontic Journal (IEJ) is an international peer-reviewed biomedical publication, the aim of which is to provide a scientific medium of communication for researchers throughout the globe. IEJ aims to publish the highest quality articles, both clinical and scientific, on all aspects of Endodontics. The journal is an official Journal of the Iranian Center for Endodontic Research (ICER) and the Iranian Association of Endodontists (IAE). The Journal welcomes articles related to the scientific or applied aspects of endodontics e.g. original researches, systematic reviews, meta-analyses, review articles, clinical trials, case series/reports, hypotheses, letters to the editor, etc. From the beginning (i.e. since 2006), the IEJ was the first open access endodontic journal in the world, which gave readers free and instant access to published articles and enabling them faster discovery of the latest endodontic research.
×
引用
GB/T 7714-2015
复制
MLA
复制
APA
复制
导出至
BibTeX EndNote RefMan NoteFirst NoteExpress
×
提示
您的信息不完整,为了账户安全,请先补充。
现在去补充
×
提示
您因"违规操作"
具体请查看互助需知
我知道了
×
提示
确定
请完成安全验证×
copy
已复制链接
快去分享给好友吧!
我知道了
右上角分享
点击右上角分享
0
联系我们:info@booksci.cn Book学术提供免费学术资源搜索服务,方便国内外学者检索中英文文献。致力于提供最便捷和优质的服务体验。 Copyright © 2023 布克学术 All rights reserved.
京ICP备2023020795号-1
ghs 京公网安备 11010802042870号
Book学术文献互助
Book学术文献互助群
群 号:604180095
Book学术官方微信