A Rare Encounter: Incidental Ectopic Origin of the Right Pulmonary Artery in an Adult.

Q3 Medicine
AORTA Pub Date : 2024-12-01 Epub Date: 2025-04-29 DOI:10.1055/a-2572-4238
Rupali Jain, Maruti Kumaran, Achala Donuru
{"title":"A Rare Encounter: Incidental Ectopic Origin of the Right Pulmonary Artery in an Adult.","authors":"Rupali Jain, Maruti Kumaran, Achala Donuru","doi":"10.1055/a-2572-4238","DOIUrl":null,"url":null,"abstract":"<p><p>Ectopic origin of the right pulmonary artery (RPA) from the aorta is a rare congenital anomaly typically found in infants. We report an adult female presenting with shortness of breath diagnosed incidentally with ectopic RPA via computed tomography angiography. This case underscores the need to consider rare congenital anomalies in adults presenting with unexplained pulmonary symptoms.</p>","PeriodicalId":52392,"journal":{"name":"AORTA","volume":" ","pages":"162-163"},"PeriodicalIF":0.0000,"publicationDate":"2024-12-01","publicationTypes":"Journal Article","fieldsOfStudy":null,"isOpenAccess":false,"openAccessPdf":"https://www.ncbi.nlm.nih.gov/pmc/articles/PMC12185163/pdf/","citationCount":"0","resultStr":null,"platform":"Semanticscholar","paperid":null,"PeriodicalName":"AORTA","FirstCategoryId":"1085","ListUrlMain":"https://doi.org/10.1055/a-2572-4238","RegionNum":0,"RegionCategory":null,"ArticlePicture":[],"TitleCN":null,"AbstractTextCN":null,"PMCID":null,"EPubDate":"2025/4/29 0:00:00","PubModel":"Epub","JCR":"Q3","JCRName":"Medicine","Score":null,"Total":0}
引用次数: 0

Abstract

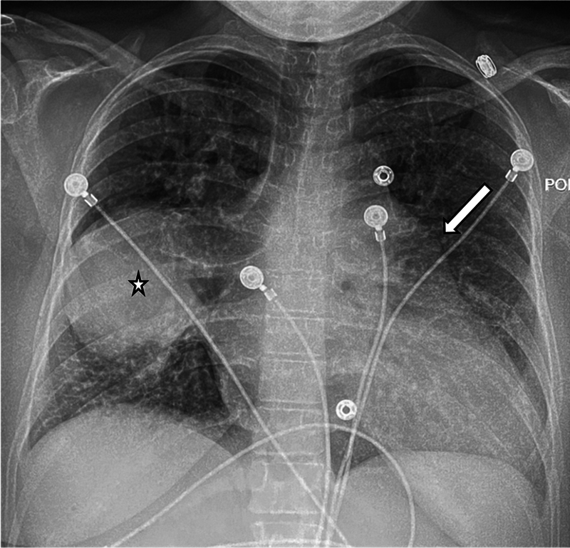
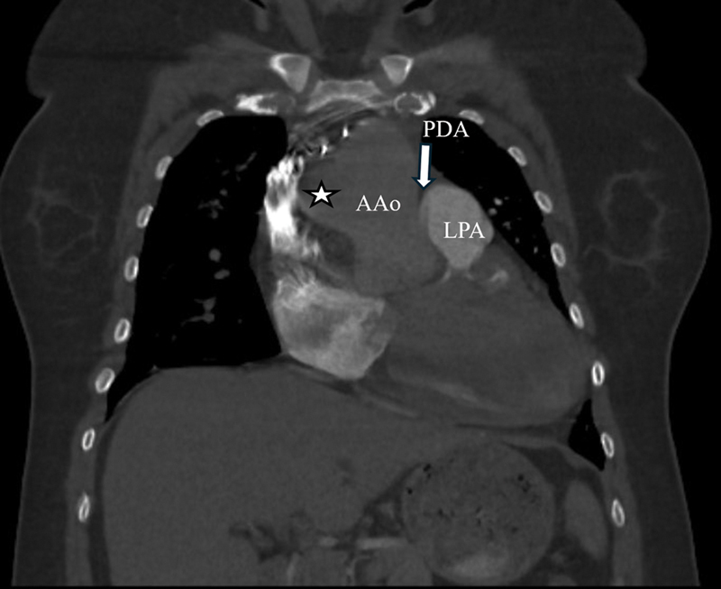
Ectopic origin of the right pulmonary artery (RPA) from the aorta is a rare congenital anomaly typically found in infants. We report an adult female presenting with shortness of breath diagnosed incidentally with ectopic RPA via computed tomography angiography. This case underscores the need to consider rare congenital anomalies in adults presenting with unexplained pulmonary symptoms.

Abstract Image

Abstract Image

Abstract Image

一个罕见的遭遇:偶然异位的右肺动脉在成人。
摘要右肺动脉(RPA)起源于主动脉的异位是一种罕见的先天性异常,通常见于婴儿。我们报告一位以呼吸短促为表现的成年女性,通过计算机断层血管造影偶然诊断为异位RPA。本病例强调有必要考虑出现不明原因肺部症状的罕见成人先天性异常。
本文章由计算机程序翻译,如有差异,请以英文原文为准。
求助全文
约1分钟内获得全文 求助全文
来源期刊
AORTA
AORTA Medicine-Surgery
CiteScore
1.00
自引率
0.00%
发文量
119
×
引用
GB/T 7714-2015
复制
MLA
复制
APA
复制
导出至
BibTeX EndNote RefMan NoteFirst NoteExpress
×
提示
您的信息不完整,为了账户安全,请先补充。
现在去补充
×
提示
您因"违规操作"
具体请查看互助需知
我知道了
×
提示
确定
请完成安全验证×
copy
已复制链接
快去分享给好友吧!
我知道了
右上角分享
点击右上角分享
0
联系我们:info@booksci.cn Book学术提供免费学术资源搜索服务,方便国内外学者检索中英文文献。致力于提供最便捷和优质的服务体验。 Copyright © 2023 布克学术 All rights reserved.
京ICP备2023020795号-1
ghs 京公网安备 11010802042870号
Book学术文献互助
Book学术文献互助群
群 号:604180095
Book学术官方微信