Bronchial systemic-artery-to-pulmonary-artery-fistula as mimicker of pulmonary embolism: computed tomography findings verified with bronchial artery angiography.

IF 0.5 Q4 RADIOLOGY, NUCLEAR MEDICINE & MEDICAL IMAGING
BJR Case Reports Pub Date : 2025-05-05 eCollection Date: 2025-05-01 DOI:10.1093/bjrcr/uaaf027
Gernot Rott
{"title":"Bronchial systemic-artery-to-pulmonary-artery-fistula as mimicker of pulmonary embolism: computed tomography findings verified with bronchial artery angiography.","authors":"Gernot Rott","doi":"10.1093/bjrcr/uaaf027","DOIUrl":null,"url":null,"abstract":"<p><p>We present the case of an 81-year-old patient, who was transferred to our department for diagnostic work-up and treatment of hemoptysis of the right lung. Two-phase contrast-enhanced chest CT revealed filling defects in right upper lobe and middle lobe pulmonary artery during the pulmonary-artery phase who vanished in the subsequent aortographic phase, consistent with systemic-artery-to-pulmonary-artery fistulas (SA-PAFs) of right bronchial artery mimicking pulmonary embolism. Selective bronchial catheter-arteriography confirmed bronchial SA-PAFs and bronchial artery embolization was performed effectively and without complication. For the best of our knowledge, this is the first case of a bronchial systemic-artery-to-pulmonary-artery-fistula mimicking PE directly correlated and proved with bronchial artery angiography.</p>","PeriodicalId":45216,"journal":{"name":"BJR Case Reports","volume":"11 3","pages":"uaaf027"},"PeriodicalIF":0.5000,"publicationDate":"2025-05-05","publicationTypes":"Journal Article","fieldsOfStudy":null,"isOpenAccess":false,"openAccessPdf":"https://www.ncbi.nlm.nih.gov/pmc/articles/PMC12060710/pdf/","citationCount":"0","resultStr":null,"platform":"Semanticscholar","paperid":null,"PeriodicalName":"BJR Case Reports","FirstCategoryId":"1085","ListUrlMain":"https://doi.org/10.1093/bjrcr/uaaf027","RegionNum":0,"RegionCategory":null,"ArticlePicture":[],"TitleCN":null,"AbstractTextCN":null,"PMCID":null,"EPubDate":"2025/5/1 0:00:00","PubModel":"eCollection","JCR":"Q4","JCRName":"RADIOLOGY, NUCLEAR MEDICINE & MEDICAL IMAGING","Score":null,"Total":0}
引用次数: 0

Abstract

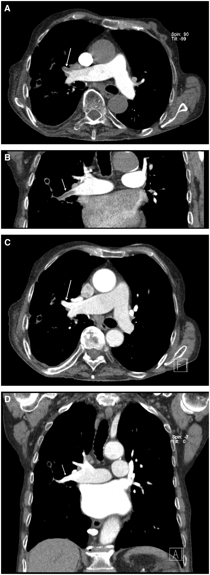
We present the case of an 81-year-old patient, who was transferred to our department for diagnostic work-up and treatment of hemoptysis of the right lung. Two-phase contrast-enhanced chest CT revealed filling defects in right upper lobe and middle lobe pulmonary artery during the pulmonary-artery phase who vanished in the subsequent aortographic phase, consistent with systemic-artery-to-pulmonary-artery fistulas (SA-PAFs) of right bronchial artery mimicking pulmonary embolism. Selective bronchial catheter-arteriography confirmed bronchial SA-PAFs and bronchial artery embolization was performed effectively and without complication. For the best of our knowledge, this is the first case of a bronchial systemic-artery-to-pulmonary-artery-fistula mimicking PE directly correlated and proved with bronchial artery angiography.

Abstract Image

Abstract Image

支气管系统动脉-肺动脉-动脉瘘作为肺栓塞的模拟物:计算机断层扫描结果与支气管动脉血管造影证实。
我们提出一个81岁的病人,谁被转移到我科诊断检查和治疗右肺咯血。胸部两期增强CT显示肺动脉期右上叶和中叶肺动脉充盈缺损,随后主动脉造影期消失,符合右支气管动脉系统性动脉-肺动脉瘘(SA-PAFs),模拟肺栓塞。选择性支气管导管-动脉造影证实支气管sa - paf和支气管动脉栓塞有效,无并发症。据我们所知,这是第一例支气管系统动脉-肺动脉-动脉瘘模拟PE直接相关并经支气管动脉血管造影证实的病例。
本文章由计算机程序翻译,如有差异,请以英文原文为准。
求助全文
约1分钟内获得全文 求助全文
来源期刊
BJR Case Reports
BJR Case Reports RADIOLOGY, NUCLEAR MEDICINE & MEDICAL IMAGING-
自引率
0.00%
发文量
77
审稿时长
11 weeks
×
引用
GB/T 7714-2015
复制
MLA
复制
APA
复制
导出至
BibTeX EndNote RefMan NoteFirst NoteExpress
×
提示
您的信息不完整,为了账户安全,请先补充。
现在去补充
×
提示
您因"违规操作"
具体请查看互助需知
我知道了
×
提示
确定
请完成安全验证×
copy
已复制链接
快去分享给好友吧!
我知道了
右上角分享
点击右上角分享
0
联系我们:info@booksci.cn Book学术提供免费学术资源搜索服务,方便国内外学者检索中英文文献。致力于提供最便捷和优质的服务体验。 Copyright © 2023 布克学术 All rights reserved.
京ICP备2023020795号-1
ghs 京公网安备 11010802042870号
Book学术文献互助
Book学术文献互助群
群 号:604180095
Book学术官方微信