Leiomyosarcoma of the left external iliac artery: a case report and narrative review of the literature.

IF 1.4 Q3 OBSTETRICS & GYNECOLOGY
Anna Pitsillidi, Sergios Ion Karras, Günter Karl Noé
{"title":"Leiomyosarcoma of the left external iliac artery: a case report and narrative review of the literature.","authors":"Anna Pitsillidi, Sergios Ion Karras, Günter Karl Noé","doi":"10.52054/FVVO.2024.13623","DOIUrl":null,"url":null,"abstract":"<p><p>Leiomyosarcomas (LMS) arise from smooth muscle and represents only 6% of all sarcomas. LMS originating from major blood vessels, called vascular LMS, are detected mostly in the inferior vena cava. Arterial LMS are a rarity. We present a 43-year-old patient with a LMS arising from the left external iliac artery. The patient was referred to us with symptoms of left lower abdominal pain extending to the left limb and underwent a contrast computed tomography which suggested a suspicious mass near the left iliac vessels. She underwent laparoscopic excision of the tumour, whose histological examination revealed an LMS G2 arising from the external iliac artery. Immunohistochemically CD34, p53, Desmin, as well as smooth muscle actin, tested positive.</p>","PeriodicalId":46400,"journal":{"name":"Facts Views and Vision in ObGyn","volume":"17 1","pages":"94-98"},"PeriodicalIF":1.4000,"publicationDate":"2025-03-28","publicationTypes":"Journal Article","fieldsOfStudy":null,"isOpenAccess":false,"openAccessPdf":"https://www.ncbi.nlm.nih.gov/pmc/articles/PMC12042151/pdf/","citationCount":"0","resultStr":null,"platform":"Semanticscholar","paperid":null,"PeriodicalName":"Facts Views and Vision in ObGyn","FirstCategoryId":"1085","ListUrlMain":"https://doi.org/10.52054/FVVO.2024.13623","RegionNum":0,"RegionCategory":null,"ArticlePicture":[],"TitleCN":null,"AbstractTextCN":null,"PMCID":null,"EPubDate":"","PubModel":"","JCR":"Q3","JCRName":"OBSTETRICS & GYNECOLOGY","Score":null,"Total":0}
引用次数: 0

Abstract

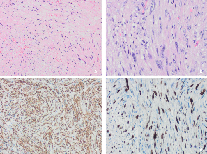
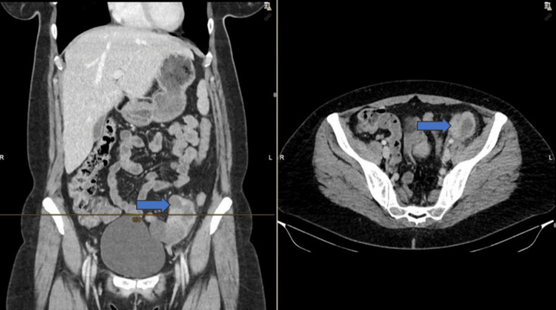
Leiomyosarcomas (LMS) arise from smooth muscle and represents only 6% of all sarcomas. LMS originating from major blood vessels, called vascular LMS, are detected mostly in the inferior vena cava. Arterial LMS are a rarity. We present a 43-year-old patient with a LMS arising from the left external iliac artery. The patient was referred to us with symptoms of left lower abdominal pain extending to the left limb and underwent a contrast computed tomography which suggested a suspicious mass near the left iliac vessels. She underwent laparoscopic excision of the tumour, whose histological examination revealed an LMS G2 arising from the external iliac artery. Immunohistochemically CD34, p53, Desmin, as well as smooth muscle actin, tested positive.

Abstract Image

Abstract Image

Abstract Image

左髂外动脉平滑肌肉瘤1例报告及文献回顾。
平滑肌肉瘤(LMS)起源于平滑肌,仅占所有肉瘤的6%。起源于大血管的LMS称为血管性LMS,多见于下腔静脉。动脉性LMS很少见。我们提出了一个43岁的患者LMS起源于左髂外动脉。患者以左下腹部疼痛延伸至左下肢的症状来就诊,并进行了对比计算机断层扫描,发现左侧髂血管附近有可疑肿块。她接受了腹腔镜肿瘤切除术,其组织学检查显示LMS G2起源于髂外动脉。免疫组织化学CD34、p53、Desmin以及平滑肌肌动蛋白检测呈阳性。
本文章由计算机程序翻译,如有差异,请以英文原文为准。
求助全文
约1分钟内获得全文 求助全文
来源期刊
Facts Views and Vision in ObGyn
Facts Views and Vision in ObGyn OBSTETRICS & GYNECOLOGY-
自引率
15.00%
发文量
59
×
引用
GB/T 7714-2015
复制
MLA
复制
APA
复制
导出至
BibTeX EndNote RefMan NoteFirst NoteExpress
×
提示
您的信息不完整,为了账户安全,请先补充。
现在去补充
×
提示
您因"违规操作"
具体请查看互助需知
我知道了
×
提示
确定
请完成安全验证×
copy
已复制链接
快去分享给好友吧!
我知道了
右上角分享
点击右上角分享
0
联系我们:info@booksci.cn Book学术提供免费学术资源搜索服务,方便国内外学者检索中英文文献。致力于提供最便捷和优质的服务体验。 Copyright © 2023 布克学术 All rights reserved.
京ICP备2023020795号-1
ghs 京公网安备 11010802042870号
Book学术文献互助
Book学术文献互助群
群 号:604180095
Book学术官方微信