Predictive Factors for Tillaux-Chaput Tubercle Fracture: A Case-Control Study.

Foot & Ankle Orthopaedics Pub Date : 2025-05-02 eCollection Date: 2025-04-01 DOI:10.1177/24730114251332940
Cédric Dongmo Mayopa, David Ancelin, Pauline Despontin, Julie Manon, Gaspary Fodjeu, Randy Buzisa Mbuku, Maxime Masscheleyn, Olivier Cornu, Karim Tribak, Dan Putineanu
{"title":"Predictive Factors for Tillaux-Chaput Tubercle Fracture: A Case-Control Study.","authors":"Cédric Dongmo Mayopa, David Ancelin, Pauline Despontin, Julie Manon, Gaspary Fodjeu, Randy Buzisa Mbuku, Maxime Masscheleyn, Olivier Cornu, Karim Tribak, Dan Putineanu","doi":"10.1177/24730114251332940","DOIUrl":null,"url":null,"abstract":"<p><strong>Background: </strong>Tillaux-Chaput tubercle fractures in adults often go unnoticed on standard radiographs in the setting of other malleolar fractures. This study aimed to identify clinical and radiologic factors associated with these fractures to develop a decision aid for computed tomographic (CT) diagnosis.</p><p><strong>Methods: </strong>This case-control study included 72 patients with bimalleolar fractures who underwent both radiography and CT scans. The case group consisted of 28 patients with Tillaux-Chaput fractures, and 44 served as control. Sociodemographic, clinical data, and injury mechanisms were compared using univariate and multivariate analysis to identify predictive factors.</p><p><strong>Results: </strong>Tillaux-Chaput fractures were undetected on standard radiographs in 60% of cases. In multivariate analysis, only age >60 years and injury mechanisms with Lauge-Hansen pronation-external rotation stage III or IV injuries were found to be highly associated with Tillaux-Chaput tubercle fractures.</p><p><strong>Conclusion: </strong>We recommend routine CT scan evaluation for patients >60 years old with stage III or IV pronation-external rotation ankle fractures.</p><p><strong>Level of evidence: </strong>Level III, case-control study.</p>","PeriodicalId":12429,"journal":{"name":"Foot & Ankle Orthopaedics","volume":"10 2","pages":"24730114251332940"},"PeriodicalIF":0.0000,"publicationDate":"2025-05-02","publicationTypes":"Journal Article","fieldsOfStudy":null,"isOpenAccess":false,"openAccessPdf":"https://www.ncbi.nlm.nih.gov/pmc/articles/PMC12049606/pdf/","citationCount":"0","resultStr":null,"platform":"Semanticscholar","paperid":null,"PeriodicalName":"Foot & Ankle Orthopaedics","FirstCategoryId":"1085","ListUrlMain":"https://doi.org/10.1177/24730114251332940","RegionNum":0,"RegionCategory":null,"ArticlePicture":[],"TitleCN":null,"AbstractTextCN":null,"PMCID":null,"EPubDate":"2025/4/1 0:00:00","PubModel":"eCollection","JCR":"","JCRName":"","Score":null,"Total":0}
引用次数: 0

Abstract

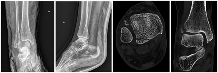
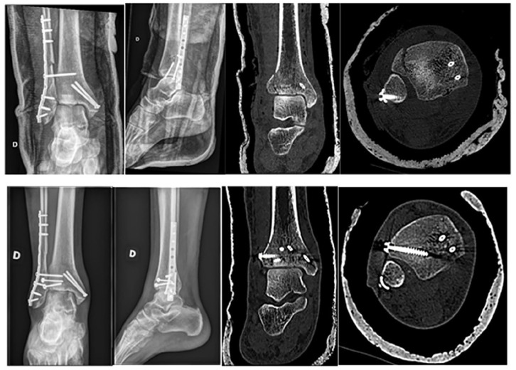
Background: Tillaux-Chaput tubercle fractures in adults often go unnoticed on standard radiographs in the setting of other malleolar fractures. This study aimed to identify clinical and radiologic factors associated with these fractures to develop a decision aid for computed tomographic (CT) diagnosis.

Methods: This case-control study included 72 patients with bimalleolar fractures who underwent both radiography and CT scans. The case group consisted of 28 patients with Tillaux-Chaput fractures, and 44 served as control. Sociodemographic, clinical data, and injury mechanisms were compared using univariate and multivariate analysis to identify predictive factors.

Results: Tillaux-Chaput fractures were undetected on standard radiographs in 60% of cases. In multivariate analysis, only age >60 years and injury mechanisms with Lauge-Hansen pronation-external rotation stage III or IV injuries were found to be highly associated with Tillaux-Chaput tubercle fractures.

Conclusion: We recommend routine CT scan evaluation for patients >60 years old with stage III or IV pronation-external rotation ankle fractures.

Level of evidence: Level III, case-control study.

Abstract Image

Abstract Image

Abstract Image

Tillaux-Chaput结节骨折的预测因素:一项病例对照研究。
背景:成人Tillaux-Chaput结节骨折在其他踝部骨折的标准x线片上经常被忽视。本研究旨在确定与这些骨折相关的临床和放射学因素,为计算机断层扫描(CT)诊断提供决策辅助。方法:本病例对照研究包括72例双踝骨折患者,均行x线摄影和CT扫描。病例组包括28例Tillaux-Chaput骨折患者,44例作为对照组。社会人口学、临床数据和损伤机制通过单变量和多变量分析进行比较,以确定预测因素。结果:60%的病例在标准x线片上未发现Tillaux-Chaput骨折。在多变量分析中,只有年龄在60岁以下和Lauge-Hansen旋前-外旋期III或IV期损伤机制与Tillaux-Chaput结节骨折高度相关。结论:我们推荐对bb0 ~ 60岁III期或IV期前旋-外旋踝关节骨折患者进行常规CT扫描评估。证据等级:III级,病例对照研究。
本文章由计算机程序翻译,如有差异,请以英文原文为准。
求助全文
约1分钟内获得全文 求助全文
来源期刊
Foot & Ankle Orthopaedics
Foot & Ankle Orthopaedics Medicine-Orthopedics and Sports Medicine
CiteScore
1.20
自引率
0.00%
发文量
1152
×
引用
GB/T 7714-2015
复制
MLA
复制
APA
复制
导出至
BibTeX EndNote RefMan NoteFirst NoteExpress
×
提示
您的信息不完整,为了账户安全,请先补充。
现在去补充
×
提示
您因"违规操作"
具体请查看互助需知
我知道了
×
提示
确定
请完成安全验证×
copy
已复制链接
快去分享给好友吧!
我知道了
右上角分享
点击右上角分享
0
联系我们:info@booksci.cn Book学术提供免费学术资源搜索服务,方便国内外学者检索中英文文献。致力于提供最便捷和优质的服务体验。 Copyright © 2023 布克学术 All rights reserved.
京ICP备2023020795号-1
ghs 京公网安备 11010802042870号
Book学术文献互助
Book学术文献互助群
群 号:604180095
Book学术官方微信