Genital Tuberculosis and Serous Cystadenoma in a 58-Year-Old Female With Rheumatoid Arthritis and Sjögren's Syndrome: A Case Report.

Case Reports in Rheumatology Pub Date : 2025-05-06 eCollection Date: 2025-01-01 DOI:10.1155/crrh/9372058
Sheila De la Cruz-Aragón, Itzel Guadalupe Castillo-Duarte, Abril Camacho-Cervantes, Alfredo Saad-Ganem, Francisco Mario García Rodríguez, Alan Antonio Leija-Torres
{"title":"Genital Tuberculosis and Serous Cystadenoma in a 58-Year-Old Female With Rheumatoid Arthritis and Sjögren's Syndrome: A Case Report.","authors":"Sheila De la Cruz-Aragón, Itzel Guadalupe Castillo-Duarte, Abril Camacho-Cervantes, Alfredo Saad-Ganem, Francisco Mario García Rodríguez, Alan Antonio Leija-Torres","doi":"10.1155/crrh/9372058","DOIUrl":null,"url":null,"abstract":"<p><p>Genital tuberculosis (GT) is a rare but significant extrapulmonary tuberculosis form, often mimicking ovarian malignancy. We report a case of a 58-year-old woman with Sjögren's syndrome and rheumatoid arthritis, previously treated with infliximab, who presented with abdominal distension, weight loss, night sweats, and intermittent abdominal pain. Initial imaging and elevated CA-125 levels suggested ovarian cancer. However, intraoperative findings revealed a frozen pelvis with granulomatous inflammation, caseating granulomas, and Langhans' giant cells. Histopathological analysis and RT-PCR confirmed GT coexisting with a serous cystadenoma. GT should be considered in the differential diagnosis of pelvic masses, especially in immunocompromised patients. This case emphasizes the importance of thorough diagnostic evaluation using molecular, serological, and imaging techniques to avoid misdiagnosis and unnecessary surgical interventions. Prompt initiation of antituberculosis treatment led to significant clinical improvement. Early and accurate diagnosis of GT is crucial to prevent morbidity associated with misdiagnosis and to provide effective treatment. This case underscores the need for heightened clinical awareness and multidisciplinary approaches in managing complex cases where GT mimics malignancy, ensuring optimal patient outcomes.</p>","PeriodicalId":9622,"journal":{"name":"Case Reports in Rheumatology","volume":"2025 ","pages":"9372058"},"PeriodicalIF":0.0000,"publicationDate":"2025-05-06","publicationTypes":"Journal Article","fieldsOfStudy":null,"isOpenAccess":false,"openAccessPdf":"https://www.ncbi.nlm.nih.gov/pmc/articles/PMC12074851/pdf/","citationCount":"0","resultStr":null,"platform":"Semanticscholar","paperid":null,"PeriodicalName":"Case Reports in Rheumatology","FirstCategoryId":"1085","ListUrlMain":"https://doi.org/10.1155/crrh/9372058","RegionNum":0,"RegionCategory":null,"ArticlePicture":[],"TitleCN":null,"AbstractTextCN":null,"PMCID":null,"EPubDate":"2025/1/1 0:00:00","PubModel":"eCollection","JCR":"","JCRName":"","Score":null,"Total":0}
引用次数: 0

Abstract

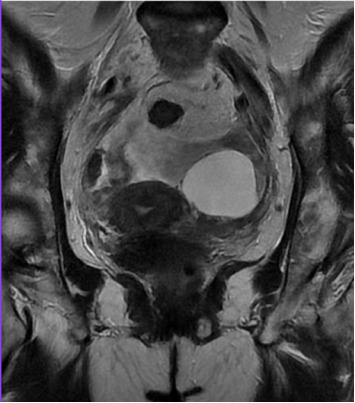
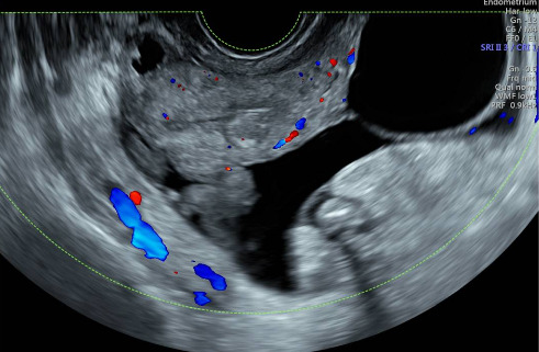
Genital tuberculosis (GT) is a rare but significant extrapulmonary tuberculosis form, often mimicking ovarian malignancy. We report a case of a 58-year-old woman with Sjögren's syndrome and rheumatoid arthritis, previously treated with infliximab, who presented with abdominal distension, weight loss, night sweats, and intermittent abdominal pain. Initial imaging and elevated CA-125 levels suggested ovarian cancer. However, intraoperative findings revealed a frozen pelvis with granulomatous inflammation, caseating granulomas, and Langhans' giant cells. Histopathological analysis and RT-PCR confirmed GT coexisting with a serous cystadenoma. GT should be considered in the differential diagnosis of pelvic masses, especially in immunocompromised patients. This case emphasizes the importance of thorough diagnostic evaluation using molecular, serological, and imaging techniques to avoid misdiagnosis and unnecessary surgical interventions. Prompt initiation of antituberculosis treatment led to significant clinical improvement. Early and accurate diagnosis of GT is crucial to prevent morbidity associated with misdiagnosis and to provide effective treatment. This case underscores the need for heightened clinical awareness and multidisciplinary approaches in managing complex cases where GT mimics malignancy, ensuring optimal patient outcomes.

Abstract Image

Abstract Image

Abstract Image

58岁女性类风湿性关节炎合并Sjögren综合征并发生殖器结核和浆液性囊腺瘤1例。
生殖器结核(GT)是一种罕见但重要的肺外结核形式,通常模仿卵巢恶性肿瘤。我们报告一例58岁女性,患有Sjögren综合征和类风湿关节炎,既往用英夫利昔单抗治疗,表现为腹胀、体重减轻、盗汗和间歇性腹痛。初步影像学和CA-125水平升高提示卵巢癌。然而,术中发现骨盆冻结,伴有肉芽肿性炎症、干酪样肉芽肿和朗汉斯巨细胞。组织病理学分析和RT-PCR证实GT合并浆液性囊腺瘤。盆腔肿块的鉴别诊断应考虑GT,尤其是免疫功能低下的患者。本病例强调了使用分子、血清学和影像学技术进行全面诊断评估的重要性,以避免误诊和不必要的手术干预。及时开始抗结核治疗导致显著的临床改善。早期和准确的诊断对于预防与误诊相关的发病率和提供有效的治疗至关重要。本病例强调需要提高临床意识和多学科方法来管理GT模拟恶性肿瘤的复杂病例,以确保最佳的患者结果。
本文章由计算机程序翻译,如有差异,请以英文原文为准。
求助全文
约1分钟内获得全文 求助全文
来源期刊
自引率
0.00%
发文量
35
审稿时长
12 weeks
×
引用
GB/T 7714-2015
复制
MLA
复制
APA
复制
导出至
BibTeX EndNote RefMan NoteFirst NoteExpress
×
提示
您的信息不完整,为了账户安全,请先补充。
现在去补充
×
提示
您因"违规操作"
具体请查看互助需知
我知道了
×
提示
确定
请完成安全验证×
copy
已复制链接
快去分享给好友吧!
我知道了
右上角分享
点击右上角分享
0
联系我们:info@booksci.cn Book学术提供免费学术资源搜索服务,方便国内外学者检索中英文文献。致力于提供最便捷和优质的服务体验。 Copyright © 2023 布克学术 All rights reserved.
京ICP备2023020795号-1
ghs 京公网安备 11010802042870号
Book学术文献互助
Book学术文献互助群
群 号:604180095
Book学术官方微信