Extra-Adrenal Paraganglioma Mimicking a Hilar Lymph Node Metastasis From Testicular Cancer: A Case Study.

IF 2.3 3区 医学 Q3 ONCOLOGY
Marina Nakatsuka, Satoshi Takamori, Takanobu Kabasawa, Shuichi Shimada, Makoto Endo, Satoshi Shiono
{"title":"Extra-Adrenal Paraganglioma Mimicking a Hilar Lymph Node Metastasis From Testicular Cancer: A Case Study.","authors":"Marina Nakatsuka, Satoshi Takamori, Takanobu Kabasawa, Shuichi Shimada, Makoto Endo, Satoshi Shiono","doi":"10.1111/1759-7714.70080","DOIUrl":null,"url":null,"abstract":"<p><p>Extra-adrenal paraganglioma is a rare tumor and is difficult to diagnose. We report a case of extra-adrenal paraganglioma in the hilum identified after treatment for multiple intrathoracic lymph node metastases from testicular cancer. A 32-year-old man presented to the hospital with a cough. Computed tomography revealed multiple lung tumors and intrathoracic lymph node swelling. The patient was diagnosed with left-sided testicular cancer with multiple intrathoracic metastases. A left orchiectomy was performed, followed by chemotherapy. A lung biopsy confirmed the absence of residual cancer. Three months after the lung biopsy, <sup>18</sup>F-fluorodeoxyglucose positron emission tomography/computed tomography revealed fluorodeoxyglucose uptake in the right hilum. Suspecting lymph node metastasis from testicular cancer, we performed tumor resection. Pathological findings diagnosed the lesion as a paraganglioma. Diagnosing extra-adrenal paraganglioma hidden by a primary tumor is highly challenging without complete remission of the primary tumor.</p>","PeriodicalId":23338,"journal":{"name":"Thoracic Cancer","volume":"16 9","pages":"e70080"},"PeriodicalIF":2.3000,"publicationDate":"2025-05-01","publicationTypes":"Journal Article","fieldsOfStudy":null,"isOpenAccess":false,"openAccessPdf":"https://www.ncbi.nlm.nih.gov/pmc/articles/PMC12046118/pdf/","citationCount":"0","resultStr":null,"platform":"Semanticscholar","paperid":null,"PeriodicalName":"Thoracic Cancer","FirstCategoryId":"3","ListUrlMain":"https://doi.org/10.1111/1759-7714.70080","RegionNum":3,"RegionCategory":"医学","ArticlePicture":[],"TitleCN":null,"AbstractTextCN":null,"PMCID":null,"EPubDate":"","PubModel":"","JCR":"Q3","JCRName":"ONCOLOGY","Score":null,"Total":0}
引用次数: 0

Abstract

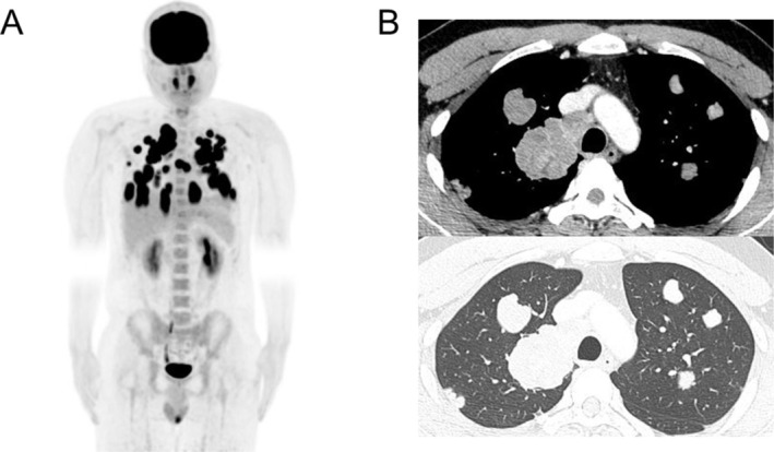
Extra-adrenal paraganglioma is a rare tumor and is difficult to diagnose. We report a case of extra-adrenal paraganglioma in the hilum identified after treatment for multiple intrathoracic lymph node metastases from testicular cancer. A 32-year-old man presented to the hospital with a cough. Computed tomography revealed multiple lung tumors and intrathoracic lymph node swelling. The patient was diagnosed with left-sided testicular cancer with multiple intrathoracic metastases. A left orchiectomy was performed, followed by chemotherapy. A lung biopsy confirmed the absence of residual cancer. Three months after the lung biopsy, 18F-fluorodeoxyglucose positron emission tomography/computed tomography revealed fluorodeoxyglucose uptake in the right hilum. Suspecting lymph node metastasis from testicular cancer, we performed tumor resection. Pathological findings diagnosed the lesion as a paraganglioma. Diagnosing extra-adrenal paraganglioma hidden by a primary tumor is highly challenging without complete remission of the primary tumor.

Abstract Image

Abstract Image

Abstract Image

模拟睾丸癌肝门淋巴结转移的肾上腺外副神经节瘤一例研究。
肾上腺外副神经节瘤是一种罕见且难以诊断的肿瘤。我们报告一例肾上腺外副神经节瘤在门后确定治疗多个胸内淋巴结转移从睾丸癌。一名32岁男子因咳嗽到医院就诊。计算机断层扫描显示多发肺肿瘤及胸内淋巴结肿大。患者被诊断为左侧睾丸癌并多发性胸内转移。左睾丸切除术,随后化疗。肺活检证实没有残留的癌细胞。肺活检3个月后,18f -氟脱氧葡萄糖正电子发射断层扫描/计算机断层扫描显示右肺门氟脱氧葡萄糖摄取。怀疑睾丸癌淋巴结转移,我们行肿瘤切除术。病理诊断为副神经节瘤。在原发肿瘤没有完全缓解的情况下,诊断隐藏在原发肿瘤中的肾上腺外副神经节瘤是非常具有挑战性的。
本文章由计算机程序翻译,如有差异,请以英文原文为准。
求助全文
约1分钟内获得全文 求助全文
来源期刊
Thoracic Cancer
Thoracic Cancer ONCOLOGY-RESPIRATORY SYSTEM
CiteScore
5.20
自引率
3.40%
发文量
439
审稿时长
2 months
期刊介绍: Thoracic Cancer aims to facilitate international collaboration and exchange of comprehensive and cutting-edge information on basic, translational, and applied clinical research in lung cancer, esophageal cancer, mediastinal cancer, breast cancer and other thoracic malignancies. Prevention, treatment and research relevant to Asia-Pacific is a focus area, but submissions from all regions are welcomed. The editors encourage contributions relevant to prevention, general thoracic surgery, medical oncology, radiology, radiation medicine, pathology, basic cancer research, as well as epidemiological and translational studies in thoracic cancer. Thoracic Cancer is the official publication of the Chinese Society of Lung Cancer, International Chinese Society of Thoracic Surgery and is endorsed by the Korean Association for the Study of Lung Cancer and the Hong Kong Cancer Therapy Society. The Journal publishes a range of article types including: Editorials, Invited Reviews, Mini Reviews, Original Articles, Clinical Guidelines, Technological Notes, Imaging in thoracic cancer, Meeting Reports, Case Reports, Letters to the Editor, Commentaries, and Brief Reports.
×
引用
GB/T 7714-2015
复制
MLA
复制
APA
复制
导出至
BibTeX EndNote RefMan NoteFirst NoteExpress
×
提示
您的信息不完整,为了账户安全,请先补充。
现在去补充
×
提示
您因"违规操作"
具体请查看互助需知
我知道了
×
提示
确定
请完成安全验证×
copy
已复制链接
快去分享给好友吧!
我知道了
右上角分享
点击右上角分享
0
联系我们:info@booksci.cn Book学术提供免费学术资源搜索服务,方便国内外学者检索中英文文献。致力于提供最便捷和优质的服务体验。 Copyright © 2023 布克学术 All rights reserved.
京ICP备2023020795号-1
ghs 京公网安备 11010802042870号
Book学术文献互助
Book学术文献互助群
群 号:604180095
Book学术官方微信