Endodontic Management of Dentin Dysplasia Type II in a Pediatric Patient: A Case Report.

Q3 Dentistry
Iranian Endodontic Journal Pub Date : 2025-01-01 Epub Date: 2025-03-04 DOI:10.22037/iej.v20i1.47021
Eshaghali Saberi, Samira Rezvani
{"title":"Endodontic Management of Dentin Dysplasia Type II in a Pediatric Patient: A Case Report.","authors":"Eshaghali Saberi, Samira Rezvani","doi":"10.22037/iej.v20i1.47021","DOIUrl":null,"url":null,"abstract":"<p><p>Dentin Dysplasia Type II (DD-II) is a rare genetic disorder that affects the coronal dentin, often leading to pulp stones and complicated endodontic treatment. This case report presents the endodontic management of DD-II in an 11-year-old female patient. The patient, referred for root canal treatment, exhibited symptoms of moderate pain and was diagnosed with pulp necrosis in tooth #19; radiographic findings revealed multiple pulp stones, pulp canal calcification, and apical radiolucency. Endodontic treatment was performed, involving the removal of pulp stones with ultrasonic tips, careful cleaning and shaping of the root canals, and obturation using gutta-percha and AH-26 sealer. Twelve months post-treatment, the patient showed complete healing of the apical lesion, with no related complications. This case underscores the importance of early diagnosis and timely endodontic intervention for favorable outcomes in patients with DD-II.</p>","PeriodicalId":14534,"journal":{"name":"Iranian Endodontic Journal","volume":"20 1","pages":"e17"},"PeriodicalIF":0.0000,"publicationDate":"2025-01-01","publicationTypes":"Journal Article","fieldsOfStudy":null,"isOpenAccess":false,"openAccessPdf":"https://www.ncbi.nlm.nih.gov/pmc/articles/PMC11980997/pdf/","citationCount":"0","resultStr":null,"platform":"Semanticscholar","paperid":null,"PeriodicalName":"Iranian Endodontic Journal","FirstCategoryId":"1085","ListUrlMain":"https://doi.org/10.22037/iej.v20i1.47021","RegionNum":0,"RegionCategory":null,"ArticlePicture":[],"TitleCN":null,"AbstractTextCN":null,"PMCID":null,"EPubDate":"2025/3/4 0:00:00","PubModel":"Epub","JCR":"Q3","JCRName":"Dentistry","Score":null,"Total":0}
引用次数: 0

Abstract

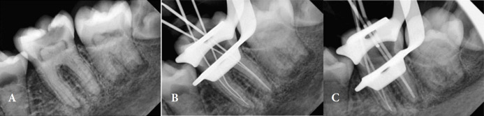
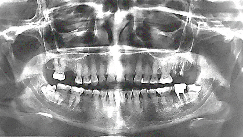
Dentin Dysplasia Type II (DD-II) is a rare genetic disorder that affects the coronal dentin, often leading to pulp stones and complicated endodontic treatment. This case report presents the endodontic management of DD-II in an 11-year-old female patient. The patient, referred for root canal treatment, exhibited symptoms of moderate pain and was diagnosed with pulp necrosis in tooth #19; radiographic findings revealed multiple pulp stones, pulp canal calcification, and apical radiolucency. Endodontic treatment was performed, involving the removal of pulp stones with ultrasonic tips, careful cleaning and shaping of the root canals, and obturation using gutta-percha and AH-26 sealer. Twelve months post-treatment, the patient showed complete healing of the apical lesion, with no related complications. This case underscores the importance of early diagnosis and timely endodontic intervention for favorable outcomes in patients with DD-II.

Abstract Image

Abstract Image

Abstract Image

牙本质II型发育不良儿童的根管治疗:1例报告。
牙本质发育不良II型(DD-II)是一种罕见的影响冠状牙本质的遗传性疾病,常导致牙髓结石和复杂的牙髓治疗。本病例报告介绍了一名11岁女性患者的DD-II的根管治疗。患者转介进行根管治疗,表现出中度疼痛的症状,并被诊断为19号牙髓坏死;x线表现为多发髓质结石、髓管钙化及根尖透光。进行了根管治疗,包括用超声尖端去除牙髓结石,仔细清洁和塑造根管,使用杜胶和AH-26密封剂进行封闭。治疗12个月后,患者根尖病变完全愈合,无相关并发症。这个病例强调了早期诊断和及时的牙髓干预对于DD-II患者良好预后的重要性。
本文章由计算机程序翻译,如有差异,请以英文原文为准。
求助全文
约1分钟内获得全文 求助全文
来源期刊
Iranian Endodontic Journal
Iranian Endodontic Journal Dentistry-Dentistry (all)
CiteScore
1.30
自引率
0.00%
发文量
0
审稿时长
12 weeks
期刊介绍: The Iranian Endodontic Journal (IEJ) is an international peer-reviewed biomedical publication, the aim of which is to provide a scientific medium of communication for researchers throughout the globe. IEJ aims to publish the highest quality articles, both clinical and scientific, on all aspects of Endodontics. The journal is an official Journal of the Iranian Center for Endodontic Research (ICER) and the Iranian Association of Endodontists (IAE). The Journal welcomes articles related to the scientific or applied aspects of endodontics e.g. original researches, systematic reviews, meta-analyses, review articles, clinical trials, case series/reports, hypotheses, letters to the editor, etc. From the beginning (i.e. since 2006), the IEJ was the first open access endodontic journal in the world, which gave readers free and instant access to published articles and enabling them faster discovery of the latest endodontic research.
×
引用
GB/T 7714-2015
复制
MLA
复制
APA
复制
导出至
BibTeX EndNote RefMan NoteFirst NoteExpress
×
提示
您的信息不完整,为了账户安全,请先补充。
现在去补充
×
提示
您因"违规操作"
具体请查看互助需知
我知道了
×
提示
确定
请完成安全验证×
copy
已复制链接
快去分享给好友吧!
我知道了
右上角分享
点击右上角分享
0
联系我们:info@booksci.cn Book学术提供免费学术资源搜索服务,方便国内外学者检索中英文文献。致力于提供最便捷和优质的服务体验。 Copyright © 2023 布克学术 All rights reserved.
京ICP备2023020795号-1
ghs 京公网安备 11010802042870号
Book学术文献互助
Book学术文献互助群
群 号:604180095
Book学术官方微信