Alport Syndrome Presenting as Incidental Finding of Proteinuria on Pre-Employment Checkup: A Case Report.

Case Reports in Nephrology Pub Date : 2025-02-28 eCollection Date: 2025-01-01 DOI:10.1155/crin/9933123
Abigayle Therese R Guiritan, Lee-Boyd D Valencia, Sonia L Chicano
{"title":"Alport Syndrome Presenting as Incidental Finding of Proteinuria on Pre-Employment Checkup: A Case Report.","authors":"Abigayle Therese R Guiritan, Lee-Boyd D Valencia, Sonia L Chicano","doi":"10.1155/crin/9933123","DOIUrl":null,"url":null,"abstract":"<p><p><b>Introduction:</b> Glomerulonephritis is a prominent cause of chronic kidney disease and encompasses a subset of renal diseases characterized by immune-mediated damage to the basement membrane, the mesangium, or the capillary endothelium. Symptoms in early stages are usually nonspecific and can be easily overlooked. Unfortunately, if not detected early, this may lead to end-stage renal disease. We present a case of a 23-year-old male patient with no family of kidney disease who had proteinuria on routine urinalysis. <b>Case Presentation:</b> A 23-year-old male, nonhypertensive and nondiabetic, with no family history of kidney disease coming in for proteinuria. During pre-employment checkup, patient was noted to have 4+ proteinuria on urinalysis. Creatinine was requested by company doctor with result of 1.05 mg/dL (eGFR: 104 mL/min/1.73 m<sup>2</sup>). Repeat urinalysis was done but still with 4+ proteinuria on urinalysis. Hence, advised consult with a nephrologist due to persistence of proteinuria. Upon consult, workups were done, which revealed hyperuricemia, urate crystals on urinalysis, persistence of 4+ proteinuria, and urine protein creatinine ratio of 2.8 (urine protein: 223.28 mg/dL and urine creatinine: 79.64 mg/dL). Patient was started on ACE inhibitor, hypouricemic agent, and advised kidney biopsy for further evaluation of proteinuria. The review of systems was pertinent for hearing impairment and blurring of vision. Kidney biopsy was done in which electron microscopy showed segmental podocyte foot process effacement. The glomerular basement membrane shows lamellation and alternate thickening and thinning. No definite electron-dense deposits are seen in glomerular basement membrane and mesangium. Mean glomerular basement membrane thickness is 299 nm (normal mean glomerular basement membrane thickness in adult males is 373 ± 42 nm). He was advised consult with an ophthalmologist and otolaryngologist. Regular checkup, monitoring of renal parameters, and appropriate medications were given. <b>Conclusion:</b> Although a rare cause of glomerulonephritis, Alport syndrome must be considered in patients presenting with subnephrotic range proteinuria and microscopic hematuria. Thorough history and physical examination and characteristic findings on kidney biopsy can help in the prompt diagnosis of the disease. Multidisciplinary care and early intervention can improve the quality of life and delay the progression to end-stage kidney disease among these patients.</p>","PeriodicalId":9604,"journal":{"name":"Case Reports in Nephrology","volume":"2025 ","pages":"9933123"},"PeriodicalIF":0.0000,"publicationDate":"2025-02-28","publicationTypes":"Journal Article","fieldsOfStudy":null,"isOpenAccess":false,"openAccessPdf":"https://www.ncbi.nlm.nih.gov/pmc/articles/PMC11985237/pdf/","citationCount":"0","resultStr":null,"platform":"Semanticscholar","paperid":null,"PeriodicalName":"Case Reports in Nephrology","FirstCategoryId":"1085","ListUrlMain":"https://doi.org/10.1155/crin/9933123","RegionNum":0,"RegionCategory":null,"ArticlePicture":[],"TitleCN":null,"AbstractTextCN":null,"PMCID":null,"EPubDate":"2025/1/1 0:00:00","PubModel":"eCollection","JCR":"","JCRName":"","Score":null,"Total":0}
引用次数: 0

Abstract

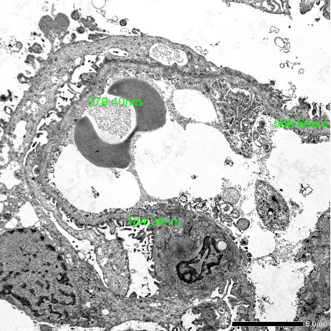
Introduction: Glomerulonephritis is a prominent cause of chronic kidney disease and encompasses a subset of renal diseases characterized by immune-mediated damage to the basement membrane, the mesangium, or the capillary endothelium. Symptoms in early stages are usually nonspecific and can be easily overlooked. Unfortunately, if not detected early, this may lead to end-stage renal disease. We present a case of a 23-year-old male patient with no family of kidney disease who had proteinuria on routine urinalysis. Case Presentation: A 23-year-old male, nonhypertensive and nondiabetic, with no family history of kidney disease coming in for proteinuria. During pre-employment checkup, patient was noted to have 4+ proteinuria on urinalysis. Creatinine was requested by company doctor with result of 1.05 mg/dL (eGFR: 104 mL/min/1.73 m2). Repeat urinalysis was done but still with 4+ proteinuria on urinalysis. Hence, advised consult with a nephrologist due to persistence of proteinuria. Upon consult, workups were done, which revealed hyperuricemia, urate crystals on urinalysis, persistence of 4+ proteinuria, and urine protein creatinine ratio of 2.8 (urine protein: 223.28 mg/dL and urine creatinine: 79.64 mg/dL). Patient was started on ACE inhibitor, hypouricemic agent, and advised kidney biopsy for further evaluation of proteinuria. The review of systems was pertinent for hearing impairment and blurring of vision. Kidney biopsy was done in which electron microscopy showed segmental podocyte foot process effacement. The glomerular basement membrane shows lamellation and alternate thickening and thinning. No definite electron-dense deposits are seen in glomerular basement membrane and mesangium. Mean glomerular basement membrane thickness is 299 nm (normal mean glomerular basement membrane thickness in adult males is 373 ± 42 nm). He was advised consult with an ophthalmologist and otolaryngologist. Regular checkup, monitoring of renal parameters, and appropriate medications were given. Conclusion: Although a rare cause of glomerulonephritis, Alport syndrome must be considered in patients presenting with subnephrotic range proteinuria and microscopic hematuria. Thorough history and physical examination and characteristic findings on kidney biopsy can help in the prompt diagnosis of the disease. Multidisciplinary care and early intervention can improve the quality of life and delay the progression to end-stage kidney disease among these patients.

Abstract Image

阿尔波特综合征在入职前体检中偶然发现蛋白尿:1例报告。
简介:肾小球肾炎是慢性肾脏疾病的一个重要原因,包括以免疫介导的基底膜、系膜或毛细血管内皮损伤为特征的肾脏疾病的一个子集。早期症状通常是非特异性的,很容易被忽视。不幸的是,如果不及早发现,这可能导致终末期肾脏疾病。我们报告一例23岁的男性患者,无肾脏疾病的家庭谁有蛋白尿尿常规尿分析。病例介绍:23岁男性,无高血压和糖尿病,无肾脏家族史,因蛋白尿就诊。入职前检查时,尿分析发现患者有4+蛋白尿。公司医生要求肌酐为1.05 mg/dL (eGFR: 104 mL/min/1.73 m2)。重复尿分析,但尿分析仍为4+蛋白尿。因此,由于蛋白尿持续存在,建议咨询肾病专家。经咨询,进行了检查,发现高尿酸血症,尿分析显示尿酸结晶,持续4+蛋白尿,尿蛋白肌酐比值为2.8(尿蛋白:223.28 mg/dL,尿肌酐:79.64 mg/dL)。患者开始使用ACE抑制剂、降尿酸剂,并建议进行肾活检以进一步评估蛋白尿。系统的审查是有关听力障碍和视力模糊。肾活检电镜显示节段性足细胞足突消失。肾小球基底膜呈片状,交替增厚变薄。肾小球基底膜和系膜未见明确的电子致密沉积。肾小球基底膜平均厚度为299 nm(成年男性肾小球基底膜正常平均厚度为373±42 nm)。医生建议他咨询眼科医生和耳鼻喉科医生。定期检查,监测肾脏参数,并给予适当的药物治疗。结论:Alport综合征虽然是肾小球肾炎的罕见病因,但在出现亚肾病范围蛋白尿和镜下血尿的患者中必须考虑。彻底的病史和体格检查以及肾活检的特征性发现有助于及时诊断疾病。多学科护理和早期干预可以改善这些患者的生活质量并延缓其发展为终末期肾病。
本文章由计算机程序翻译,如有差异,请以英文原文为准。
求助全文
约1分钟内获得全文 求助全文
来源期刊
Case Reports in Nephrology
Case Reports in Nephrology Medicine-Nephrology
CiteScore
1.70
自引率
0.00%
发文量
32
×
引用
GB/T 7714-2015
复制
MLA
复制
APA
复制
导出至
BibTeX EndNote RefMan NoteFirst NoteExpress
×
提示
您的信息不完整,为了账户安全,请先补充。
现在去补充
×
提示
您因"违规操作"
具体请查看互助需知
我知道了
×
提示
确定
请完成安全验证×
copy
已复制链接
快去分享给好友吧!
我知道了
右上角分享
点击右上角分享
0
联系我们:info@booksci.cn Book学术提供免费学术资源搜索服务,方便国内外学者检索中英文文献。致力于提供最便捷和优质的服务体验。 Copyright © 2023 布克学术 All rights reserved.
京ICP备2023020795号-1
ghs 京公网安备 11010802042870号
Book学术文献互助
Book学术文献互助群
群 号:604180095
Book学术官方微信