Unveiling Rare Pulmonary Complications in Infective Endocarditis: Pneumatoceles and Pneumothorax in a Case Series With Contextual Literature Review.

IF 0.8 Q3 MEDICINE, GENERAL & INTERNAL
Nagihan Orhun, Islam Rajab, Utku Ekin, George Horani, Mourad Ismail
{"title":"Unveiling Rare Pulmonary Complications in Infective Endocarditis: Pneumatoceles and Pneumothorax in a Case Series With Contextual Literature Review.","authors":"Nagihan Orhun, Islam Rajab, Utku Ekin, George Horani, Mourad Ismail","doi":"10.1177/23247096251334228","DOIUrl":null,"url":null,"abstract":"<p><p>Patients with a history of drug abuse and right-sided endocarditis are particularly susceptible to developing septic pulmonary emboli. Rarely, septic pulmonary emboli can cause severe lung injury resulting in parenchymal loss despite appropriate antibiotic therapy. We present 2 cases of severe lung injury associated with septic pulmonary emboli stemming from right-sided infective endocarditis, emphasizing 2 rare complications: bilateral spontaneous pneumothorax and pneumatocele formation.</p>","PeriodicalId":16198,"journal":{"name":"Journal of investigative medicine high impact case reports","volume":"13 ","pages":"23247096251334228"},"PeriodicalIF":0.8000,"publicationDate":"2025-01-01","publicationTypes":"Journal Article","fieldsOfStudy":null,"isOpenAccess":false,"openAccessPdf":"https://www.ncbi.nlm.nih.gov/pmc/articles/PMC12033459/pdf/","citationCount":"0","resultStr":null,"platform":"Semanticscholar","paperid":null,"PeriodicalName":"Journal of investigative medicine high impact case reports","FirstCategoryId":"1085","ListUrlMain":"https://doi.org/10.1177/23247096251334228","RegionNum":0,"RegionCategory":null,"ArticlePicture":[],"TitleCN":null,"AbstractTextCN":null,"PMCID":null,"EPubDate":"2025/4/11 0:00:00","PubModel":"Epub","JCR":"Q3","JCRName":"MEDICINE, GENERAL & INTERNAL","Score":null,"Total":0}
引用次数: 0

Abstract

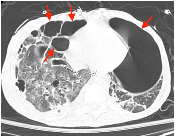
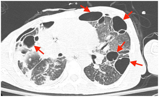
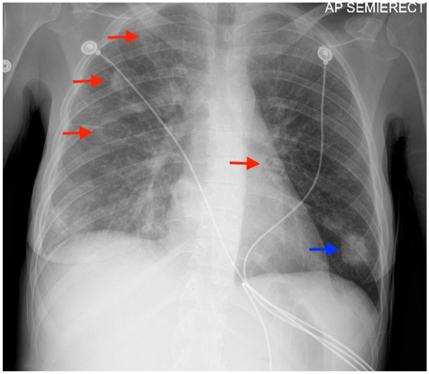
Patients with a history of drug abuse and right-sided endocarditis are particularly susceptible to developing septic pulmonary emboli. Rarely, septic pulmonary emboli can cause severe lung injury resulting in parenchymal loss despite appropriate antibiotic therapy. We present 2 cases of severe lung injury associated with septic pulmonary emboli stemming from right-sided infective endocarditis, emphasizing 2 rare complications: bilateral spontaneous pneumothorax and pneumatocele formation.

Abstract Image

Abstract Image

Abstract Image

揭示感染性心内膜炎的罕见肺部并发症:气肿和气胸的病例系列与相关文献回顾。
有药物滥用史和右侧心内膜炎的患者特别容易发生脓毒性肺栓塞。罕见的,脓毒性肺栓塞可引起严重的肺损伤,导致实质损失,尽管适当的抗生素治疗。我们报告了2例由右侧感染性心内膜炎引起的严重肺损伤合并脓毒性肺栓塞的病例,并强调了两种罕见的并发症:双侧自发性气胸和气膨出形成。
本文章由计算机程序翻译,如有差异,请以英文原文为准。
求助全文
约1分钟内获得全文 求助全文
来源期刊
CiteScore
1.90
自引率
0.00%
发文量
165
审稿时长
12 weeks
期刊介绍: The AFMR is committed to enhancing the training and career development of our members and to furthering its mission to facilitate the conduct of research to improve medical care. Case reports represent an important avenue for trainees (interns, residents, and fellows) and early-stage faculty to demonstrate productive, scholarly activity.
×
引用
GB/T 7714-2015
复制
MLA
复制
APA
复制
导出至
BibTeX EndNote RefMan NoteFirst NoteExpress
×
提示
您的信息不完整,为了账户安全,请先补充。
现在去补充
×
提示
您因"违规操作"
具体请查看互助需知
我知道了
×
提示
确定
请完成安全验证×
copy
已复制链接
快去分享给好友吧!
我知道了
右上角分享
点击右上角分享
0
联系我们:info@booksci.cn Book学术提供免费学术资源搜索服务,方便国内外学者检索中英文文献。致力于提供最便捷和优质的服务体验。 Copyright © 2023 布克学术 All rights reserved.
京ICP备2023020795号-1
ghs 京公网安备 11010802042870号
Book学术文献互助
Book学术文献互助群
群 号:604180095
Book学术官方微信