Cardiac benign metastatic leiomyoma- a comprehensive review.

IF 3.2 Q2 CARDIAC & CARDIOVASCULAR SYSTEMS
Pankaj Garg, Mostafa Ali, Mohammad Alomari, J Kenneth Schoolmeester, Mark Edgar, Carolyn K Landolfo, Steven Attia, Kevin P Landolfo
{"title":"Cardiac benign metastatic leiomyoma- a comprehensive review.","authors":"Pankaj Garg, Mostafa Ali, Mohammad Alomari, J Kenneth Schoolmeester, Mark Edgar, Carolyn K Landolfo, Steven Attia, Kevin P Landolfo","doi":"10.1186/s40959-025-00336-3","DOIUrl":null,"url":null,"abstract":"<p><p>Cardiac benign metastatic leiomyoma (BML) is a rare cardiac tumor that is usually asymptomatic, frequently misdiagnosed and may result in serious complications, including embolization, heart failure and death. This review highlights the importance of considering cardiac BML in the differential diagnosis of cardiac masses, especially in women with a history of uterine leiomyomas. This review summarizes the current knowledge about cardiac BML, including its demographics, clinical presentation, etio-pathogenesis, diagnosis, and management. The authors discuss the challenges associated with diagnosing cardiac BML and emphasize the importance of a thorough history, physical examination, and imaging studies. They also review the different treatment options for cardiac BML, including surgical resection and role of medical and surgical castration. Early diagnosis and management of cardiac BML is crucial to prevent complications. This review provides valuable insights for clinicians who may encounter this rare condition. By raising awareness of cardiac BML and its management strategies, this review can improve patient care and outcomes.</p>","PeriodicalId":9804,"journal":{"name":"Cardio-oncology","volume":"11 1","pages":"41"},"PeriodicalIF":3.2000,"publicationDate":"2025-05-02","publicationTypes":"Journal Article","fieldsOfStudy":null,"isOpenAccess":false,"openAccessPdf":"https://www.ncbi.nlm.nih.gov/pmc/articles/PMC12046675/pdf/","citationCount":"0","resultStr":null,"platform":"Semanticscholar","paperid":null,"PeriodicalName":"Cardio-oncology","FirstCategoryId":"1085","ListUrlMain":"https://doi.org/10.1186/s40959-025-00336-3","RegionNum":0,"RegionCategory":null,"ArticlePicture":[],"TitleCN":null,"AbstractTextCN":null,"PMCID":null,"EPubDate":"","PubModel":"","JCR":"Q2","JCRName":"CARDIAC & CARDIOVASCULAR SYSTEMS","Score":null,"Total":0}
引用次数: 0

Abstract

Cardiac benign metastatic leiomyoma (BML) is a rare cardiac tumor that is usually asymptomatic, frequently misdiagnosed and may result in serious complications, including embolization, heart failure and death. This review highlights the importance of considering cardiac BML in the differential diagnosis of cardiac masses, especially in women with a history of uterine leiomyomas. This review summarizes the current knowledge about cardiac BML, including its demographics, clinical presentation, etio-pathogenesis, diagnosis, and management. The authors discuss the challenges associated with diagnosing cardiac BML and emphasize the importance of a thorough history, physical examination, and imaging studies. They also review the different treatment options for cardiac BML, including surgical resection and role of medical and surgical castration. Early diagnosis and management of cardiac BML is crucial to prevent complications. This review provides valuable insights for clinicians who may encounter this rare condition. By raising awareness of cardiac BML and its management strategies, this review can improve patient care and outcomes.

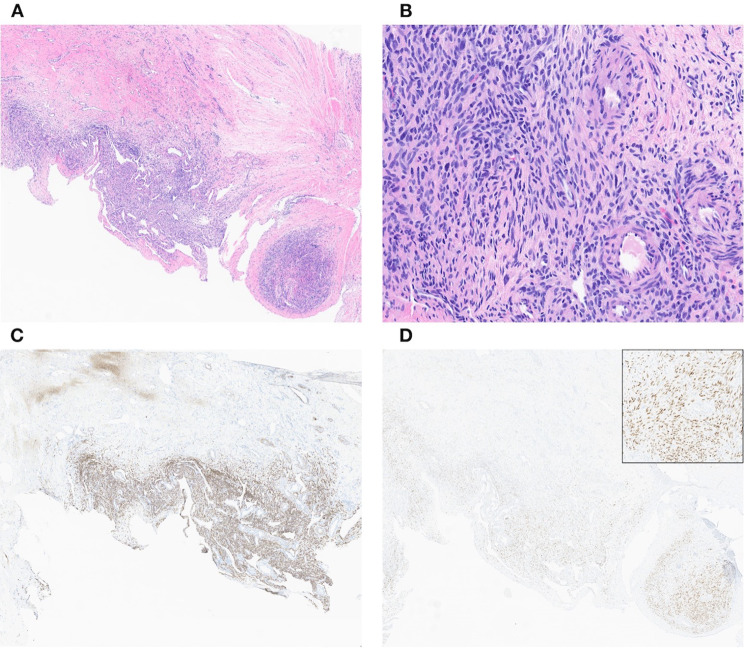
Abstract Image

Abstract Image

Abstract Image

心脏良性转移性平滑肌瘤综述。
心脏良性转移性平滑肌瘤(BML)是一种罕见的心脏肿瘤,通常无症状,经常被误诊,并可能导致严重的并发症,包括栓塞、心力衰竭和死亡。这篇综述强调了在鉴别诊断心脏肿块时考虑心脏BML的重要性,特别是在有子宫平滑肌瘤病史的妇女中。本文综述了目前关于心脏BML的知识,包括其人口学特征、临床表现、病因、发病机制、诊断和治疗。作者讨论了与诊断心脏BML相关的挑战,并强调了彻底的病史,体格检查和影像学研究的重要性。他们还回顾了心脏BML的不同治疗方案,包括手术切除和内科和外科阉割的作用。早期诊断和处理心脏BML是预防并发症的关键。这篇综述为可能遇到这种罕见疾病的临床医生提供了有价值的见解。通过提高对心脏BML及其管理策略的认识,本综述可以改善患者的护理和预后。
本文章由计算机程序翻译,如有差异,请以英文原文为准。
求助全文
约1分钟内获得全文 求助全文
来源期刊
Cardio-oncology
Cardio-oncology Medicine-Cardiology and Cardiovascular Medicine
CiteScore
5.00
自引率
3.00%
发文量
17
审稿时长
7 weeks
×
引用
GB/T 7714-2015
复制
MLA
复制
APA
复制
导出至
BibTeX EndNote RefMan NoteFirst NoteExpress
×
提示
您的信息不完整,为了账户安全,请先补充。
现在去补充
×
提示
您因"违规操作"
具体请查看互助需知
我知道了
×
提示
确定
请完成安全验证×
copy
已复制链接
快去分享给好友吧!
我知道了
右上角分享
点击右上角分享
0
联系我们:info@booksci.cn Book学术提供免费学术资源搜索服务,方便国内外学者检索中英文文献。致力于提供最便捷和优质的服务体验。 Copyright © 2023 布克学术 All rights reserved.
京ICP备2023020795号-1
ghs 京公网安备 11010802042870号
Book学术文献互助
Book学术文献互助群
群 号:604180095
Book学术官方微信