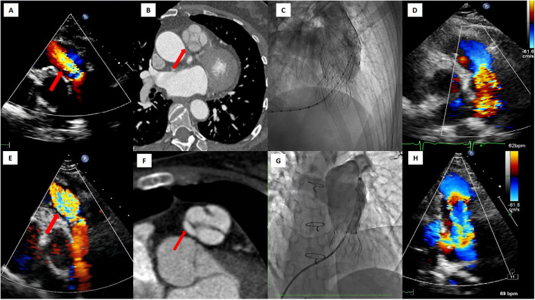
Transcatheter Pulmonary Valve Implantation in Patients with Quadricuspid Pulmonary Valve Regurgitation.

IF 1.5 4区 医学 Q3 CARDIAC & CARDIOVASCULAR SYSTEMS
Hussam Alsawidi, Ashraf Haidarah, Chen Mao, Feng Yuan
{"title":"Transcatheter Pulmonary Valve Implantation in Patients with Quadricuspid Pulmonary Valve Regurgitation.","authors":"Hussam Alsawidi, Ashraf Haidarah, Chen Mao, Feng Yuan","doi":"10.14744/AnatolJCardiol.2025.5267","DOIUrl":null,"url":null,"abstract":"","PeriodicalId":7835,"journal":{"name":"Anatolian Journal of Cardiology","volume":" ","pages":""},"PeriodicalIF":1.5000,"publicationDate":"2025-05-07","publicationTypes":"Journal Article","fieldsOfStudy":null,"isOpenAccess":false,"openAccessPdf":"https://www.ncbi.nlm.nih.gov/pmc/articles/PMC12151108/pdf/","citationCount":"0","resultStr":null,"platform":"Semanticscholar","paperid":null,"PeriodicalName":"Anatolian Journal of Cardiology","FirstCategoryId":"3","ListUrlMain":"https://doi.org/10.14744/AnatolJCardiol.2025.5267","RegionNum":4,"RegionCategory":"医学","ArticlePicture":[],"TitleCN":null,"AbstractTextCN":null,"PMCID":null,"EPubDate":"","PubModel":"","JCR":"Q3","JCRName":"CARDIAC & CARDIOVASCULAR SYSTEMS","Score":null,"Total":0}
引用次数: 0

Abstract Image

Abstract Image

经导管肺动脉瓣植入术治疗四尖瓣返流。
本文章由计算机程序翻译,如有差异,请以英文原文为准。
求助全文
约1分钟内获得全文 求助全文
来源期刊
Anatolian Journal of Cardiology
Anatolian Journal of Cardiology CARDIAC & CARDIOVASCULAR SYSTEMS-
CiteScore
2.30
自引率
7.70%
发文量
270
审稿时长
12 weeks
期刊介绍: The Anatolian Journal of Cardiology is an international monthly periodical on cardiology published on independent, unbiased, double-blinded and peer-review principles. The journal’s publication language is English. The Anatolian Journal of Cardiology aims to publish qualified and original clinical, experimental and basic research on cardiology at the international level. The journal’s scope also covers editorial comments, reviews of innovations in medical education and practice, case reports, original images, scientific letters, educational articles, letters to the editor, articles on publication ethics, diagnostic puzzles, and issues in social cardiology. The target readership includes academic members, specialists, residents, and general practitioners working in the fields of adult cardiology, pediatric cardiology, cardiovascular surgery and internal medicine.
×
引用
GB/T 7714-2015
复制
MLA
复制
APA
复制
导出至
BibTeX EndNote RefMan NoteFirst NoteExpress
×
提示
您的信息不完整,为了账户安全,请先补充。
现在去补充
×
提示
您因"违规操作"
具体请查看互助需知
我知道了
×
提示
确定
请完成安全验证×
copy
已复制链接
快去分享给好友吧!
我知道了
右上角分享
点击右上角分享
0
联系我们:info@booksci.cn Book学术提供免费学术资源搜索服务,方便国内外学者检索中英文文献。致力于提供最便捷和优质的服务体验。 Copyright © 2023 布克学术 All rights reserved.
京ICP备2023020795号-1
ghs 京公网安备 11010802042870号
Book学术文献互助
Book学术文献互助群
群 号:604180095
Book学术官方微信