Prenatal diagnosis of fetal neurogenic megacystis associated with lethal congenital contractural syndrome 2.

IF 0.2 Q4 OBSTETRICS & GYNECOLOGY
Case Reports in Perinatal Medicine Pub Date : 2024-10-09 eCollection Date: 2024-01-01 DOI:10.1515/crpm-2024-0024
Christos G Hatjis, Wendy J Sturtz, Jillian Taylor, Elizabeth Melchionna, Kerry K Brown
{"title":"Prenatal diagnosis of fetal neurogenic megacystis associated with lethal congenital contractural syndrome 2.","authors":"Christos G Hatjis, Wendy J Sturtz, Jillian Taylor, Elizabeth Melchionna, Kerry K Brown","doi":"10.1515/crpm-2024-0024","DOIUrl":null,"url":null,"abstract":"<p><strong>Objectives: </strong>To describe the prenatal diagnosis, unique clinical features, clinical and genetic evaluation, and the pregnancy and neonatal course of two siblings affected by Lethal Congenital Contractural Syndrome 2 (LCCS2).</p><p><strong>Case presentation: </strong>We present two cases of LCCS2, a rare autosomal recessive disorder in the arthrogryposis multiplex spectrum of syndromes whose <i>sine qua non</i> feature is the presence of nonobstructive, neurogenic megacystis. The prenatal diagnosis of this syndrome has not been previously reported. This syndrome has been previously studied in detail in an Israeli-Bedouin kindred but it has not been reported in the Americas.</p><p><strong>Conclusions: </strong>These two cases illustrate the diagnostic and therapeutic dilemmas associated with this rare genetic abnormality. LCCS2 can be seen in other patient populations besides Israeli-Bedouin. They also suggest the presence of phenotypic variability in the clinical outcomes. Finally, they underscore the need for specialized diagnostic capabilities, the involvement of multidisciplinary teams to support challenging family situations, and the need for shared decision-making.</p>","PeriodicalId":9617,"journal":{"name":"Case Reports in Perinatal Medicine","volume":"13 1","pages":"20240024"},"PeriodicalIF":0.2000,"publicationDate":"2024-10-09","publicationTypes":"Journal Article","fieldsOfStudy":null,"isOpenAccess":false,"openAccessPdf":"https://www.ncbi.nlm.nih.gov/pmc/articles/PMC12048145/pdf/","citationCount":"0","resultStr":null,"platform":"Semanticscholar","paperid":null,"PeriodicalName":"Case Reports in Perinatal Medicine","FirstCategoryId":"1085","ListUrlMain":"https://doi.org/10.1515/crpm-2024-0024","RegionNum":0,"RegionCategory":null,"ArticlePicture":[],"TitleCN":null,"AbstractTextCN":null,"PMCID":null,"EPubDate":"2024/1/1 0:00:00","PubModel":"eCollection","JCR":"Q4","JCRName":"OBSTETRICS & GYNECOLOGY","Score":null,"Total":0}
引用次数: 0

Abstract

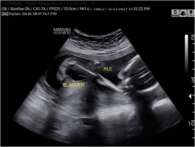
Objectives: To describe the prenatal diagnosis, unique clinical features, clinical and genetic evaluation, and the pregnancy and neonatal course of two siblings affected by Lethal Congenital Contractural Syndrome 2 (LCCS2).

Case presentation: We present two cases of LCCS2, a rare autosomal recessive disorder in the arthrogryposis multiplex spectrum of syndromes whose sine qua non feature is the presence of nonobstructive, neurogenic megacystis. The prenatal diagnosis of this syndrome has not been previously reported. This syndrome has been previously studied in detail in an Israeli-Bedouin kindred but it has not been reported in the Americas.

Conclusions: These two cases illustrate the diagnostic and therapeutic dilemmas associated with this rare genetic abnormality. LCCS2 can be seen in other patient populations besides Israeli-Bedouin. They also suggest the presence of phenotypic variability in the clinical outcomes. Finally, they underscore the need for specialized diagnostic capabilities, the involvement of multidisciplinary teams to support challenging family situations, and the need for shared decision-making.

Abstract Image

Abstract Image

Abstract Image

致死性先天性收缩综合征胎儿神经源性巨囊炎的产前诊断。
目的:探讨致死性先天性收缩综合征2 (LCCS2)患儿的产前诊断、独特临床特征、临床及遗传评价、妊娠及新生儿病程。病例介绍:我们报告了两例LCCS2,这是一种罕见的常染色体隐性遗传病,在多发性关节挛缩综合征谱系中,其必要特征是存在非阻塞性神经源性巨囊炎。这种综合征的产前诊断以前没有报道。这种综合症以前曾在以色列-贝都因人的亲属中进行过详细的研究,但在美洲还没有报道。结论:这两个病例说明了与这种罕见的遗传异常相关的诊断和治疗困境。LCCS2在除以色列-贝都因人外的其他患者人群中也可见。它们还提示临床结果存在表型变异。最后,他们强调需要专门的诊断能力,多学科团队的参与来支持具有挑战性的家庭情况,以及共同决策的需要。
本文章由计算机程序翻译,如有差异,请以英文原文为准。
求助全文
约1分钟内获得全文 求助全文
来源期刊
Case Reports in Perinatal Medicine
Case Reports in Perinatal Medicine OBSTETRICS & GYNECOLOGY-
自引率
0.00%
发文量
37
期刊介绍: Case Reports in Perinatal Medicine is a double-blind peer-reviewed journal. The objective of the new journal is very similar to that of JPM. In addition to evidence-based studies, practitioners in clinical practice esteem especially exemplary reports of cases that reveal specific manifestations of diseases, its progress or its treatment. We consider case reports and series to be brief reports describing an isolated clinical case or a small number of cases. They may describe new or uncommon diagnoses, unusual outcomes or prognosis, new or infrequently used therapies and side effects of therapy not usually discovered in clinical trials. They represent the basic concept of experiences for studies on representative groups for further evidence-based research. The potential roles of case reports and case series are: Recognition and description of new diseases Detection of drug side effects (adverse or beneficial) Study of mechanisms of disease Medical education and audit Recognition of rare manifestations of disease.
×
引用
GB/T 7714-2015
复制
MLA
复制
APA
复制
导出至
BibTeX EndNote RefMan NoteFirst NoteExpress
×
提示
您的信息不完整,为了账户安全,请先补充。
现在去补充
×
提示
您因"违规操作"
具体请查看互助需知
我知道了
×
提示
确定
请完成安全验证×
copy
已复制链接
快去分享给好友吧!
我知道了
右上角分享
点击右上角分享
0
联系我们:info@booksci.cn Book学术提供免费学术资源搜索服务,方便国内外学者检索中英文文献。致力于提供最便捷和优质的服务体验。 Copyright © 2023 布克学术 All rights reserved.
京ICP备2023020795号-1
ghs 京公网安备 11010802042870号
Book学术文献互助
Book学术文献互助群
群 号:604180095
Book学术官方微信