Neurosyphilis: A rare cause of encephalitis in a young male.

IF 3.9 4区 医学 Q1 MEDICINE, GENERAL & INTERNAL
Clinical Medicine Pub Date : 2025-05-01 Epub Date: 2025-04-07 DOI:10.1016/j.clinme.2025.100312
William Cunningham, Michael Keogh, Nirmalan Arulanantham
{"title":"Neurosyphilis: A rare cause of encephalitis in a young male.","authors":"William Cunningham, Michael Keogh, Nirmalan Arulanantham","doi":"10.1016/j.clinme.2025.100312","DOIUrl":null,"url":null,"abstract":"<p><p>Acute neurosyphilis is a rare but easily treatable cause of subacute confusion. Its clinical presentation is varied, with reported phenotypes ranging from acute stroke-like presentations to psychosis, dementia and meningoencephalitis. Neurosyphilis is easily detectable and treatable, despite its clinical heterogeneity. We present a 45-year-old man without HIV presenting with a subacute encephalitis, with cerebrospinal fluid and blood markers strongly positive for syphilis, with clinical improvement following 2 weeks of empirical intravenous antibiotic therapy.</p>","PeriodicalId":10492,"journal":{"name":"Clinical Medicine","volume":"25 3","pages":"100312"},"PeriodicalIF":3.9000,"publicationDate":"2025-05-01","publicationTypes":"Journal Article","fieldsOfStudy":null,"isOpenAccess":false,"openAccessPdf":"https://www.ncbi.nlm.nih.gov/pmc/articles/PMC12169286/pdf/","citationCount":"0","resultStr":null,"platform":"Semanticscholar","paperid":null,"PeriodicalName":"Clinical Medicine","FirstCategoryId":"3","ListUrlMain":"https://doi.org/10.1016/j.clinme.2025.100312","RegionNum":4,"RegionCategory":"医学","ArticlePicture":[],"TitleCN":null,"AbstractTextCN":null,"PMCID":null,"EPubDate":"2025/4/7 0:00:00","PubModel":"Epub","JCR":"Q1","JCRName":"MEDICINE, GENERAL & INTERNAL","Score":null,"Total":0}
引用次数: 0

Abstract

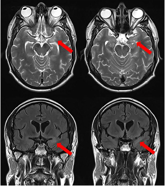
Acute neurosyphilis is a rare but easily treatable cause of subacute confusion. Its clinical presentation is varied, with reported phenotypes ranging from acute stroke-like presentations to psychosis, dementia and meningoencephalitis. Neurosyphilis is easily detectable and treatable, despite its clinical heterogeneity. We present a 45-year-old man without HIV presenting with a subacute encephalitis, with cerebrospinal fluid and blood markers strongly positive for syphilis, with clinical improvement following 2 weeks of empirical intravenous antibiotic therapy.

Abstract Image

神经梅毒:年轻男性脑炎的罕见病因。
急性神经梅毒是一种罕见但容易治疗的亚急性精神错乱的病因。其临床表现多种多样,报告的表型从急性卒中样表现到精神病、痴呆和脑膜脑炎。神经梅毒是很容易检测和治疗的,尽管其临床异质性。我们报告了一名45岁的男性,没有艾滋病毒,表现为亚急性脑炎,脑脊液和血液标志物梅毒强烈阳性,经过2周的经验性静脉注射抗生素治疗后临床好转。
本文章由计算机程序翻译,如有差异,请以英文原文为准。
求助全文
约1分钟内获得全文 求助全文
来源期刊
Clinical Medicine
Clinical Medicine 医学-医学:内科
CiteScore
7.20
自引率
0.00%
发文量
0
审稿时长
6-12 weeks
期刊介绍: Clinical Medicine is aimed at practising physicians in the UK and overseas and has relevance to all those managing or working within the healthcare sector. Available in print and online, the journal seeks to encourage high standards of medical care by promoting good clinical practice through original research, review and comment. The journal also includes a dedicated continuing medical education (CME) section in each issue. This presents the latest advances in a chosen specialty, with self-assessment questions at the end of each topic enabling CPD accreditation to be acquired. ISSN: 1470-2118 E-ISSN: 1473-4893 Frequency: 6 issues per year
×
引用
GB/T 7714-2015
复制
MLA
复制
APA
复制
导出至
BibTeX EndNote RefMan NoteFirst NoteExpress
×
提示
您的信息不完整,为了账户安全,请先补充。
现在去补充
×
提示
您因"违规操作"
具体请查看互助需知
我知道了
×
提示
确定
请完成安全验证×
copy
已复制链接
快去分享给好友吧!
我知道了
右上角分享
点击右上角分享
0
联系我们:info@booksci.cn Book学术提供免费学术资源搜索服务,方便国内外学者检索中英文文献。致力于提供最便捷和优质的服务体验。 Copyright © 2023 布克学术 All rights reserved.
京ICP备2023020795号-1
ghs 京公网安备 11010802042870号
Book学术文献互助
Book学术文献互助群
群 号:604180095
Book学术官方微信