Ischemic Colitis and Small Bowel Ischemia in a Vaccinated Patient with Mild COVID-19 Infection: A Case Report.

IF 0.6 Q4 GASTROENTEROLOGY & HEPATOLOGY
Case Reports in Gastroenterology Pub Date : 2025-05-09 eCollection Date: 2025-01-01 DOI:10.1159/000545495
Maryam Aleissa, Ernesto Drelichman, Jasneet Bhullar
{"title":"Ischemic Colitis and Small Bowel Ischemia in a Vaccinated Patient with Mild COVID-19 Infection: A Case Report.","authors":"Maryam Aleissa, Ernesto Drelichman, Jasneet Bhullar","doi":"10.1159/000545495","DOIUrl":null,"url":null,"abstract":"<p><strong>Introduction: </strong>COVID-19 infection can cause bowel ischemia, with an incidence ranging from 0.22% to 10.5. The COVID-19 vaccine reduces respiratory symptoms and the need for cardiopulmonary support. However, its effects on other manifestations, such as bowel ischemia, have not been extensively studied. Despite having mild respiratory symptoms and receiving three doses of the COVID-19 vaccine, our patient developed ischemic colitis after her first infection and small bowel ischemia following her second infection.</p><p><strong>Case presentation: </strong>An 86-year-old woman presented to the emergency department (ED) with abdominal pain after a mild COVID-19 infection. She was admitted with ischemic colitis, but conservative treatment failed. In the operating room, her entire colon was found to be ischemic, necessitating a total colectomy with end ileostomy. Nine months later, she returned to the ED with mild respiratory symptoms and severe right upper quadrant pain. Imaging revealed pneumoperitoneum and a mid-abdominal abscess. An emergency laparotomy revealed small bowel perforation, with final histology confirming ischemia. The patient had received three doses of the COVID-19 vaccine and was on therapeutic anticoagulation for a history of pulmonary embolism.</p><p><strong>Conclusion: </strong>COVID-19 may increase the risk of bowel and colon ischemia even after vaccination. Patients presenting to the ED with severe abdominal pain and a recent COVID-19 infection should be carefully evaluated for ischemic events.</p>","PeriodicalId":9614,"journal":{"name":"Case Reports in Gastroenterology","volume":"19 1","pages":"335-339"},"PeriodicalIF":0.6000,"publicationDate":"2025-05-09","publicationTypes":"Journal Article","fieldsOfStudy":null,"isOpenAccess":false,"openAccessPdf":"https://www.ncbi.nlm.nih.gov/pmc/articles/PMC12064152/pdf/","citationCount":"0","resultStr":null,"platform":"Semanticscholar","paperid":null,"PeriodicalName":"Case Reports in Gastroenterology","FirstCategoryId":"1085","ListUrlMain":"https://doi.org/10.1159/000545495","RegionNum":0,"RegionCategory":null,"ArticlePicture":[],"TitleCN":null,"AbstractTextCN":null,"PMCID":null,"EPubDate":"2025/1/1 0:00:00","PubModel":"eCollection","JCR":"Q4","JCRName":"GASTROENTEROLOGY & HEPATOLOGY","Score":null,"Total":0}
引用次数: 0

Abstract

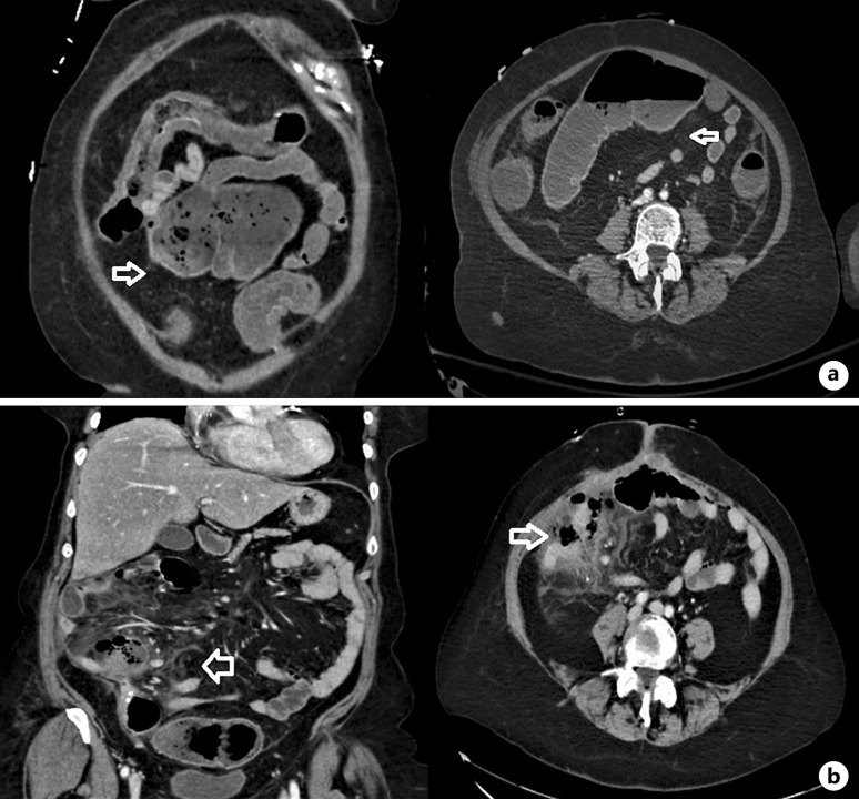
Introduction: COVID-19 infection can cause bowel ischemia, with an incidence ranging from 0.22% to 10.5. The COVID-19 vaccine reduces respiratory symptoms and the need for cardiopulmonary support. However, its effects on other manifestations, such as bowel ischemia, have not been extensively studied. Despite having mild respiratory symptoms and receiving three doses of the COVID-19 vaccine, our patient developed ischemic colitis after her first infection and small bowel ischemia following her second infection.

Case presentation: An 86-year-old woman presented to the emergency department (ED) with abdominal pain after a mild COVID-19 infection. She was admitted with ischemic colitis, but conservative treatment failed. In the operating room, her entire colon was found to be ischemic, necessitating a total colectomy with end ileostomy. Nine months later, she returned to the ED with mild respiratory symptoms and severe right upper quadrant pain. Imaging revealed pneumoperitoneum and a mid-abdominal abscess. An emergency laparotomy revealed small bowel perforation, with final histology confirming ischemia. The patient had received three doses of the COVID-19 vaccine and was on therapeutic anticoagulation for a history of pulmonary embolism.

Conclusion: COVID-19 may increase the risk of bowel and colon ischemia even after vaccination. Patients presenting to the ED with severe abdominal pain and a recent COVID-19 infection should be carefully evaluated for ischemic events.

Abstract Image

Abstract Image

轻度COVID-19感染疫苗接种患者缺血性结肠炎和小肠缺血1例
简介:COVID-19感染可引起肠缺血,发病率为0.22% ~ 10.5%。COVID-19疫苗可减少呼吸道症状和对心肺支持的需求。然而,其对肠缺血等其他表现的影响尚未得到广泛研究。尽管患者有轻微的呼吸道症状并接种了三剂COVID-19疫苗,但首次感染后出现缺血性结肠炎,第二次感染后出现小肠缺血。病例介绍:一名86岁女性在轻度COVID-19感染后因腹痛就诊于急诊科。她因缺血性结肠炎入院,但保守治疗失败。在手术室,她的整个结肠被发现是缺血的,需要全结肠切除术和末端回肠造口术。9个月后,她以轻微的呼吸症状和严重的右上腹疼痛回到急诊室。影像学显示气腹和腹中脓肿。紧急剖腹手术发现小肠穿孔,最终组织学证实缺血。该患者已接种三剂新冠肺炎疫苗,并因有肺栓塞史而接受治疗性抗凝治疗。结论:即使接种疫苗,COVID-19也可能增加肠和结肠缺血的风险。在急诊科就诊时伴有严重腹痛和近期COVID-19感染的患者应仔细评估是否有缺血性事件。
本文章由计算机程序翻译,如有差异,请以英文原文为准。
求助全文
约1分钟内获得全文 求助全文
来源期刊
Case Reports in Gastroenterology
Case Reports in Gastroenterology Medicine-Gastroenterology
CiteScore
1.10
自引率
0.00%
发文量
99
审稿时长
7 weeks
期刊介绍:
×
引用
GB/T 7714-2015
复制
MLA
复制
APA
复制
导出至
BibTeX EndNote RefMan NoteFirst NoteExpress
×
提示
您的信息不完整,为了账户安全,请先补充。
现在去补充
×
提示
您因"违规操作"
具体请查看互助需知
我知道了
×
提示
确定
请完成安全验证×
copy
已复制链接
快去分享给好友吧!
我知道了
右上角分享
点击右上角分享
0
联系我们:info@booksci.cn Book学术提供免费学术资源搜索服务,方便国内外学者检索中英文文献。致力于提供最便捷和优质的服务体验。 Copyright © 2023 布克学术 All rights reserved.
京ICP备2023020795号-1
ghs 京公网安备 11010802042870号
Book学术文献互助
Book学术文献互助群
群 号:604180095
Book学术官方微信