Dilated ascending aorta in neonates with congenital complete heart block: An interesting observation worth exploring.

IF 0.7 Q4 CARDIAC & CARDIOVASCULAR SYSTEMS
Annals of Pediatric Cardiology Pub Date : 2024-11-01 Epub Date: 2025-04-24 DOI:10.4103/apc.apc_201_24
Lydia James George, Lamk Kadiyani, Shivaprasad Pannasamudra Mohankumar, Saurabh Kumar Gupta, Sivasubramanian Ramakrishnan
{"title":"Dilated ascending aorta in neonates with congenital complete heart block: An interesting observation worth exploring.","authors":"Lydia James George, Lamk Kadiyani, Shivaprasad Pannasamudra Mohankumar, Saurabh Kumar Gupta, Sivasubramanian Ramakrishnan","doi":"10.4103/apc.apc_201_24","DOIUrl":null,"url":null,"abstract":"<p><p>Ascending aorta dilatation has been reported in some cases of congenital complete heart block (CHB). Although maternal autoantibodies are implicated in the causation, the exact mechanism, significance, and management are not fully understood. In this report, we describe dilated ascending aorta in two neonates with congenital CHB and their short-term follow-up results.</p>","PeriodicalId":8026,"journal":{"name":"Annals of Pediatric Cardiology","volume":"17 6","pages":"466-468"},"PeriodicalIF":0.7000,"publicationDate":"2024-11-01","publicationTypes":"Journal Article","fieldsOfStudy":null,"isOpenAccess":false,"openAccessPdf":"https://www.ncbi.nlm.nih.gov/pmc/articles/PMC12063971/pdf/","citationCount":"0","resultStr":null,"platform":"Semanticscholar","paperid":null,"PeriodicalName":"Annals of Pediatric Cardiology","FirstCategoryId":"1085","ListUrlMain":"https://doi.org/10.4103/apc.apc_201_24","RegionNum":0,"RegionCategory":null,"ArticlePicture":[],"TitleCN":null,"AbstractTextCN":null,"PMCID":null,"EPubDate":"2025/4/24 0:00:00","PubModel":"Epub","JCR":"Q4","JCRName":"CARDIAC & CARDIOVASCULAR SYSTEMS","Score":null,"Total":0}
引用次数: 0

Abstract

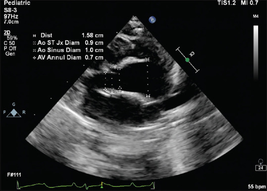
Ascending aorta dilatation has been reported in some cases of congenital complete heart block (CHB). Although maternal autoantibodies are implicated in the causation, the exact mechanism, significance, and management are not fully understood. In this report, we describe dilated ascending aorta in two neonates with congenital CHB and their short-term follow-up results.

Abstract Image

Abstract Image

Abstract Image

先天性完全性心脏传导阻滞新生儿升主动脉扩张:一个值得探讨的有趣观察。
升主动脉扩张在一些先天性完全性心脏传导阻滞(CHB)病例中有报道。虽然母体自身抗体与病因有关,但确切的机制、意义和管理尚不完全清楚。在这篇报告中,我们描述了两个先天性CHB新生儿的升主动脉扩张和他们的短期随访结果。
本文章由计算机程序翻译,如有差异,请以英文原文为准。
求助全文
约1分钟内获得全文 求助全文
来源期刊
Annals of Pediatric Cardiology
Annals of Pediatric Cardiology CARDIAC & CARDIOVASCULAR SYSTEMS-
CiteScore
1.40
自引率
14.30%
发文量
51
审稿时长
23 weeks
×
引用
GB/T 7714-2015
复制
MLA
复制
APA
复制
导出至
BibTeX EndNote RefMan NoteFirst NoteExpress
×
提示
您的信息不完整,为了账户安全,请先补充。
现在去补充
×
提示
您因"违规操作"
具体请查看互助需知
我知道了
×
提示
确定
请完成安全验证×
copy
已复制链接
快去分享给好友吧!
我知道了
右上角分享
点击右上角分享
0
联系我们:info@booksci.cn Book学术提供免费学术资源搜索服务,方便国内外学者检索中英文文献。致力于提供最便捷和优质的服务体验。 Copyright © 2023 布克学术 All rights reserved.
京ICP备2023020795号-1
ghs 京公网安备 11010802042870号
Book学术文献互助
Book学术文献互助群
群 号:604180095
Book学术官方微信