An unusual case of twin anemia polycythemia sequence complicated by premature ductus arteriosus constriction of the recipient twin.

IF 0.2 Q4 OBSTETRICS & GYNECOLOGY
Case Reports in Perinatal Medicine Pub Date : 2024-10-21 eCollection Date: 2024-01-01 DOI:10.1515/crpm-2024-0027
Ravi Chokshi, Kathryn McMullen, Shelly Soni, Robert Tunks, James O'Brien
{"title":"An unusual case of twin anemia polycythemia sequence complicated by premature ductus arteriosus constriction of the recipient twin.","authors":"Ravi Chokshi, Kathryn McMullen, Shelly Soni, Robert Tunks, James O'Brien","doi":"10.1515/crpm-2024-0027","DOIUrl":null,"url":null,"abstract":"<p><strong>Objectives: </strong>To add to the nascent literature on twin anemia polycythemia sequence by presenting a unique cardiac complication in the recipient twin.</p><p><strong>Case presentation: </strong>We describe a monochorionic diamniotic pregnancy complicated by twin anemia polycythemia sequence wherein the recipient twin developed signs of right heart failure secondary to premature ductus arteriosus constriction, requiring iatrogenic preterm delivery to avoid intrauterine demise.</p><p><strong>Conclusions: </strong>This case report introduces a previously undescribed complication of twin anemia polycythemia sequence and adds to the growing literature on this clinical entity.</p>","PeriodicalId":9617,"journal":{"name":"Case Reports in Perinatal Medicine","volume":"13 1","pages":"20240027"},"PeriodicalIF":0.2000,"publicationDate":"2024-10-21","publicationTypes":"Journal Article","fieldsOfStudy":null,"isOpenAccess":false,"openAccessPdf":"https://www.ncbi.nlm.nih.gov/pmc/articles/PMC12048135/pdf/","citationCount":"0","resultStr":null,"platform":"Semanticscholar","paperid":null,"PeriodicalName":"Case Reports in Perinatal Medicine","FirstCategoryId":"1085","ListUrlMain":"https://doi.org/10.1515/crpm-2024-0027","RegionNum":0,"RegionCategory":null,"ArticlePicture":[],"TitleCN":null,"AbstractTextCN":null,"PMCID":null,"EPubDate":"2024/1/1 0:00:00","PubModel":"eCollection","JCR":"Q4","JCRName":"OBSTETRICS & GYNECOLOGY","Score":null,"Total":0}
引用次数: 0

Abstract

Objectives: To add to the nascent literature on twin anemia polycythemia sequence by presenting a unique cardiac complication in the recipient twin.

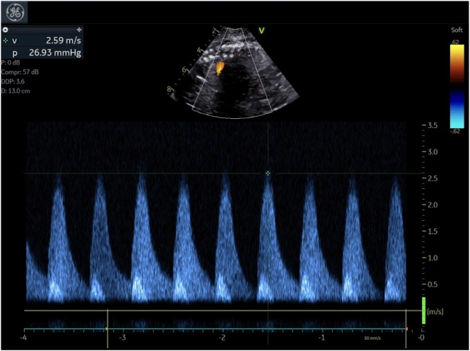
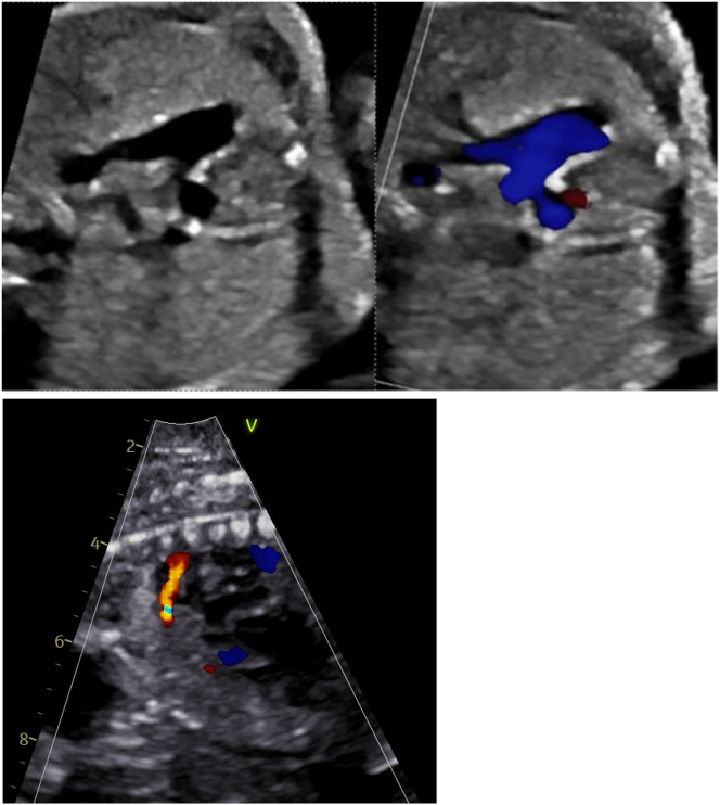
Case presentation: We describe a monochorionic diamniotic pregnancy complicated by twin anemia polycythemia sequence wherein the recipient twin developed signs of right heart failure secondary to premature ductus arteriosus constriction, requiring iatrogenic preterm delivery to avoid intrauterine demise.

Conclusions: This case report introduces a previously undescribed complication of twin anemia polycythemia sequence and adds to the growing literature on this clinical entity.

Abstract Image

Abstract Image

Abstract Image

一例罕见的双胞胎贫血,红细胞增多症序列合并过早动脉导管收缩的受体双胞胎。
目的:通过介绍受体双胞胎中一个独特的心脏并发症来补充关于双胞胎贫血性红细胞增多症序列的新生文献。病例介绍:我们描述了一个单绒毛膜双羊膜妊娠合并双胞胎贫血红细胞增多症序列,其中受体双胞胎出现继发于动脉导管过早收缩的右心衰迹象,需要医源性早产以避免宫内死亡。结论:本病例报告介绍了先前未描述的双胞贫血多红细胞增多症序列的并发症,并增加了关于该临床实体的文献。
本文章由计算机程序翻译,如有差异,请以英文原文为准。
求助全文
约1分钟内获得全文 求助全文
来源期刊
Case Reports in Perinatal Medicine
Case Reports in Perinatal Medicine OBSTETRICS & GYNECOLOGY-
自引率
0.00%
发文量
37
期刊介绍: Case Reports in Perinatal Medicine is a double-blind peer-reviewed journal. The objective of the new journal is very similar to that of JPM. In addition to evidence-based studies, practitioners in clinical practice esteem especially exemplary reports of cases that reveal specific manifestations of diseases, its progress or its treatment. We consider case reports and series to be brief reports describing an isolated clinical case or a small number of cases. They may describe new or uncommon diagnoses, unusual outcomes or prognosis, new or infrequently used therapies and side effects of therapy not usually discovered in clinical trials. They represent the basic concept of experiences for studies on representative groups for further evidence-based research. The potential roles of case reports and case series are: Recognition and description of new diseases Detection of drug side effects (adverse or beneficial) Study of mechanisms of disease Medical education and audit Recognition of rare manifestations of disease.
×
引用
GB/T 7714-2015
复制
MLA
复制
APA
复制
导出至
BibTeX EndNote RefMan NoteFirst NoteExpress
×
提示
您的信息不完整,为了账户安全,请先补充。
现在去补充
×
提示
您因"违规操作"
具体请查看互助需知
我知道了
×
提示
确定
请完成安全验证×
copy
已复制链接
快去分享给好友吧!
我知道了
右上角分享
点击右上角分享
0
联系我们:info@booksci.cn Book学术提供免费学术资源搜索服务,方便国内外学者检索中英文文献。致力于提供最便捷和优质的服务体验。 Copyright © 2023 布克学术 All rights reserved.
京ICP备2023020795号-1
ghs 京公网安备 11010802042870号
Book学术文献互助
Book学术文献互助群
群 号:604180095
Book学术官方微信