In Situ Replacement of Infected Pseudoaneurysm of the Aortic Arch and Brachiocephalic Trunk Using Surgeon-Made BioIntegral Graft.

Case Reports in Vascular Medicine Pub Date : 2025-04-08 eCollection Date: 2025-01-01 DOI:10.1155/crvm/8059936
Joanna Halman, Łukasz Znaniecki, Piotr Siondalski
{"title":"In Situ Replacement of Infected Pseudoaneurysm of the Aortic Arch and Brachiocephalic Trunk Using Surgeon-Made BioIntegral Graft.","authors":"Joanna Halman, Łukasz Znaniecki, Piotr Siondalski","doi":"10.1155/crvm/8059936","DOIUrl":null,"url":null,"abstract":"<p><p>An infection and aortic arch pseudoaneurysm can be fatal if not emergently and adequately treated. Optimal surgical procedures and optimal graft materials remain controversial. We describe a 61-year-old patient who underwent in situ repair of the infected pseudoaneurysm of the aortic arch. A porcine pericardium patch (BioIntegral Surgical Inc., Mississauga, ON, Canada) was used to reconstruct the aortic wall, followed by the reconstruction of the brachiocephalic trunk using a surgeon-made tube. The patient made a full recovery. Self-made tube grafts for in situ reconstruction offer many advantages and may be a valuable option.</p>","PeriodicalId":9632,"journal":{"name":"Case Reports in Vascular Medicine","volume":"2025 ","pages":"8059936"},"PeriodicalIF":0.0000,"publicationDate":"2025-04-08","publicationTypes":"Journal Article","fieldsOfStudy":null,"isOpenAccess":false,"openAccessPdf":"https://www.ncbi.nlm.nih.gov/pmc/articles/PMC11999741/pdf/","citationCount":"0","resultStr":null,"platform":"Semanticscholar","paperid":null,"PeriodicalName":"Case Reports in Vascular Medicine","FirstCategoryId":"1085","ListUrlMain":"https://doi.org/10.1155/crvm/8059936","RegionNum":0,"RegionCategory":null,"ArticlePicture":[],"TitleCN":null,"AbstractTextCN":null,"PMCID":null,"EPubDate":"2025/1/1 0:00:00","PubModel":"eCollection","JCR":"","JCRName":"","Score":null,"Total":0}
引用次数: 0

Abstract

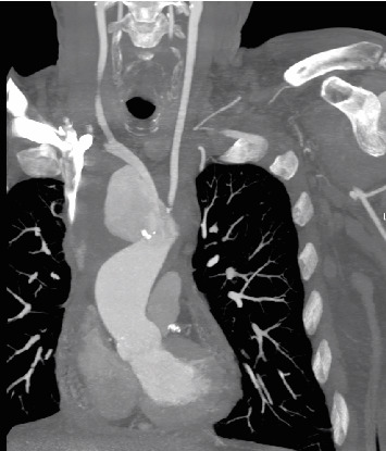
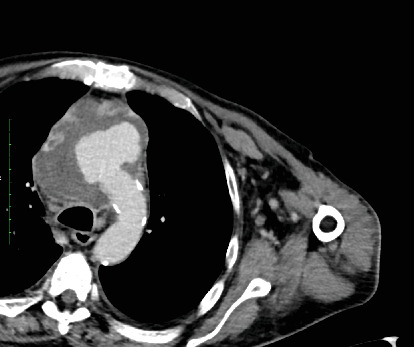
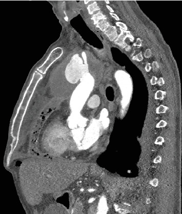
An infection and aortic arch pseudoaneurysm can be fatal if not emergently and adequately treated. Optimal surgical procedures and optimal graft materials remain controversial. We describe a 61-year-old patient who underwent in situ repair of the infected pseudoaneurysm of the aortic arch. A porcine pericardium patch (BioIntegral Surgical Inc., Mississauga, ON, Canada) was used to reconstruct the aortic wall, followed by the reconstruction of the brachiocephalic trunk using a surgeon-made tube. The patient made a full recovery. Self-made tube grafts for in situ reconstruction offer many advantages and may be a valuable option.

Abstract Image

Abstract Image

Abstract Image

应用外科制造的生物整体移植物原位置换感染的主动脉弓和头臂干假性动脉瘤。
感染和主动脉弓假性动脉瘤可能是致命的,如果不紧急和适当的治疗。最佳手术方法和最佳移植物材料仍有争议。我们描述了一个61岁的病人谁接受了原位修复感染的假性动脉瘤的主动脉弓。使用猪心包贴片(BioIntegral Surgical Inc., Mississauga, ON, Canada)重建主动脉壁,然后使用外科医生制作的导管重建头臂干。病人完全康复了。自制管移植物原位重建有许多优点,可能是一个有价值的选择。
本文章由计算机程序翻译,如有差异,请以英文原文为准。
求助全文
约1分钟内获得全文 求助全文
来源期刊
自引率
0.00%
发文量
21
审稿时长
15 weeks
×
引用
GB/T 7714-2015
复制
MLA
复制
APA
复制
导出至
BibTeX EndNote RefMan NoteFirst NoteExpress
×
提示
您的信息不完整,为了账户安全,请先补充。
现在去补充
×
提示
您因"违规操作"
具体请查看互助需知
我知道了
×
提示
确定
请完成安全验证×
copy
已复制链接
快去分享给好友吧!
我知道了
右上角分享
点击右上角分享
0
联系我们:info@booksci.cn Book学术提供免费学术资源搜索服务,方便国内外学者检索中英文文献。致力于提供最便捷和优质的服务体验。 Copyright © 2023 布克学术 All rights reserved.
京ICP备2023020795号-1
ghs 京公网安备 11010802042870号
Book学术文献互助
Book学术文献互助群
群 号:604180095
Book学术官方微信