E-cadherin expression in the tongue epithelium of streptozotocin-induced diabetic rats: an exploratory study.

IF 1.9 4区 医学 Q3 DENTISTRY, ORAL SURGERY & MEDICINE
Hassan Hamed Kaabi, Abdullah Mohamed Alsoghier, Islam Abdulrahim Alredah, Rayan Mohammed Alqahtani, Ibrahim Suliman Alsanie, Hanan Abdulgafour Balto
{"title":"E-cadherin expression in the tongue epithelium of streptozotocin-induced diabetic rats: an exploratory study.","authors":"Hassan Hamed Kaabi, Abdullah Mohamed Alsoghier, Islam Abdulrahim Alredah, Rayan Mohammed Alqahtani, Ibrahim Suliman Alsanie, Hanan Abdulgafour Balto","doi":"10.2340/aos.v84.43564","DOIUrl":null,"url":null,"abstract":"<p><strong>Objective: </strong>Little was found on the association between diabetes and its effect on epithelial intercellular adhesion. However, no study reported the association between hyperglycemia and E-cadherin-mediated cell adhesion in tongue epithelium. This study aimed to explore the potential impacts of hyperglycemia on the epithelial E-cadherin expression in the tongue's epithelial tissue in streptozotocin (STZ)-induced diabetic rats.</p><p><strong>Material and methods: </strong>Twelve male Wistar albino rats were randomly allocated into control and STZ-induced diabetic groups. At the 5-week post-STZ injection, rats were euthanized, and the tongues were harvested and preserved in formalin. Epithelial thickness was assessed using hematoxylin and eosin (H&E) staining, while immunohistochemistry (IHC) was employed to analyze the expression of E-cadherin. Statistical analysis was performed using unpaired t-tests and two-proportion Z-tests, with a significance level determined at p < 0.05.</p><p><strong>Results: </strong>The results showed a significant reduction in epithelial thickness in the dorsal tongue of STZ-diabetic rats compared to the control group (p = 0.0173). Additionally, E-cadherin expression in the dorsal tongue epithelium was markedly weaker in the diabetic group than in the control (p < 0.0001).</p><p><strong>Conclusions: </strong>This exploratory study is the first to report that hyperglycemia reduces E-cadherin expression in the dorsal tongue epithelium, possibly contributing to oral epithelial alterations observed in diabetes. These findings not only highlight the potential diagnostic value of E-cadherin as a biomarker for oral complications in diabetic patients but also provide a foundation for future translational and clinical studies exploring therapeutic interventions targeting epithelial integrity in diabetes.</p>","PeriodicalId":7313,"journal":{"name":"Acta Odontologica Scandinavica","volume":"84 ","pages":"226-231"},"PeriodicalIF":1.9000,"publicationDate":"2025-05-13","publicationTypes":"Journal Article","fieldsOfStudy":null,"isOpenAccess":false,"openAccessPdf":"https://www.ncbi.nlm.nih.gov/pmc/articles/PMC12153203/pdf/","citationCount":"0","resultStr":null,"platform":"Semanticscholar","paperid":null,"PeriodicalName":"Acta Odontologica Scandinavica","FirstCategoryId":"3","ListUrlMain":"https://doi.org/10.2340/aos.v84.43564","RegionNum":4,"RegionCategory":"医学","ArticlePicture":[],"TitleCN":null,"AbstractTextCN":null,"PMCID":null,"EPubDate":"","PubModel":"","JCR":"Q3","JCRName":"DENTISTRY, ORAL SURGERY & MEDICINE","Score":null,"Total":0}
引用次数: 0

Abstract

Objective: Little was found on the association between diabetes and its effect on epithelial intercellular adhesion. However, no study reported the association between hyperglycemia and E-cadherin-mediated cell adhesion in tongue epithelium. This study aimed to explore the potential impacts of hyperglycemia on the epithelial E-cadherin expression in the tongue's epithelial tissue in streptozotocin (STZ)-induced diabetic rats.

Material and methods: Twelve male Wistar albino rats were randomly allocated into control and STZ-induced diabetic groups. At the 5-week post-STZ injection, rats were euthanized, and the tongues were harvested and preserved in formalin. Epithelial thickness was assessed using hematoxylin and eosin (H&E) staining, while immunohistochemistry (IHC) was employed to analyze the expression of E-cadherin. Statistical analysis was performed using unpaired t-tests and two-proportion Z-tests, with a significance level determined at p < 0.05.

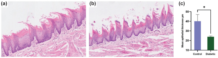
Results: The results showed a significant reduction in epithelial thickness in the dorsal tongue of STZ-diabetic rats compared to the control group (p = 0.0173). Additionally, E-cadherin expression in the dorsal tongue epithelium was markedly weaker in the diabetic group than in the control (p < 0.0001).

Conclusions: This exploratory study is the first to report that hyperglycemia reduces E-cadherin expression in the dorsal tongue epithelium, possibly contributing to oral epithelial alterations observed in diabetes. These findings not only highlight the potential diagnostic value of E-cadherin as a biomarker for oral complications in diabetic patients but also provide a foundation for future translational and clinical studies exploring therapeutic interventions targeting epithelial integrity in diabetes.

Abstract Image

Abstract Image

链脲佐菌素诱导的糖尿病大鼠舌上皮中e -钙粘蛋白表达的探索性研究。
目的:糖尿病与上皮细胞间粘附的关系尚不清楚。然而,没有研究报道高血糖与舌上皮e -钙粘蛋白介导的细胞粘附之间的关系。本研究旨在探讨高血糖对链脲佐菌(STZ)诱导的糖尿病大鼠舌上皮E-cadherin表达的潜在影响。材料与方法:将12只雄性Wistar白化大鼠随机分为对照组和stz诱导的糖尿病组。注射stz后5周,将大鼠安乐死,取舌保存在福尔马林中。采用苏木精和伊红(H&E)染色评估上皮厚度,免疫组织化学(IHC)分析E-cadherin的表达。采用非配对t检验和双比例z检验进行统计学分析,p < 0.05为显著性水平。结果:与对照组相比,stz -糖尿病大鼠舌背上皮厚度明显减少(p = 0.0173)。此外,糖尿病组舌背上皮E-cadherin表达明显弱于对照组(p < 0.0001)。结论:这项探索性研究首次报道了高血糖降低舌背上皮E-cadherin的表达,可能导致糖尿病患者口腔上皮的改变。这些发现不仅突出了E-cadherin作为糖尿病患者口腔并发症生物标志物的潜在诊断价值,而且为未来探索针对糖尿病上皮完整性的治疗干预措施的转化和临床研究奠定了基础。
本文章由计算机程序翻译,如有差异,请以英文原文为准。
求助全文
约1分钟内获得全文 求助全文
来源期刊
Acta Odontologica Scandinavica
Acta Odontologica Scandinavica 医学-牙科与口腔外科
CiteScore
4.00
自引率
5.00%
发文量
69
审稿时长
6-12 weeks
期刊介绍: Acta Odontologica Scandinavica publishes papers conveying new knowledge within all areas of oral health and disease sciences.
×
引用
GB/T 7714-2015
复制
MLA
复制
APA
复制
导出至
BibTeX EndNote RefMan NoteFirst NoteExpress
×
提示
您的信息不完整,为了账户安全,请先补充。
现在去补充
×
提示
您因"违规操作"
具体请查看互助需知
我知道了
×
提示
确定
请完成安全验证×
copy
已复制链接
快去分享给好友吧!
我知道了
右上角分享
点击右上角分享
0
联系我们:info@booksci.cn Book学术提供免费学术资源搜索服务,方便国内外学者检索中英文文献。致力于提供最便捷和优质的服务体验。 Copyright © 2023 布克学术 All rights reserved.
京ICP备2023020795号-1
ghs 京公网安备 11010802042870号
Book学术文献互助
Book学术文献互助群
群 号:604180095
Book学术官方微信