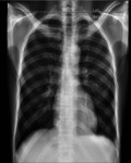
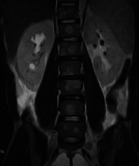
Adenocarcinoma of the appendix with metastasis to the spine.

IF 0.9
Emmanuel Olusola Oladeji, Peter Chinyere Osuala, Elizabeth Ayooluwa Idowu, Adefemi Oladiran Afolabi
{"title":"Adenocarcinoma of the appendix with metastasis to the spine.","authors":"Emmanuel Olusola Oladeji, Peter Chinyere Osuala, Elizabeth Ayooluwa Idowu, Adefemi Oladiran Afolabi","doi":"10.4314/ahs.v24i4.30","DOIUrl":null,"url":null,"abstract":"<p><p>There are a few reported cases of bone metastasis from adenocarcinoma of the appendix and there is none from Africa. We report this rare case of a 30-year-old man who presented with low back pain following a trivial fall and who subsequently developed generalized peritonitis for which he underwent laparotomy. The histology of the appendix and the mesentery confirmed adenocarcinoma of the appendix with metastasis to the mesenteric lymph nodes while an MRI scan confirmed spine metastasis. Carcinoma of the appendix, should, therefore, be considered as a differential diagnosis in spine metastasis of unknown origin especially with coexisting abdominal symptoms.</p>","PeriodicalId":94295,"journal":{"name":"African health sciences","volume":"24 4","pages":"233-239"},"PeriodicalIF":0.9000,"publicationDate":"2024-12-01","publicationTypes":"Journal Article","fieldsOfStudy":null,"isOpenAccess":false,"openAccessPdf":"https://www.ncbi.nlm.nih.gov/pmc/articles/PMC11970155/pdf/","citationCount":"0","resultStr":null,"platform":"Semanticscholar","paperid":null,"PeriodicalName":"African health sciences","FirstCategoryId":"1085","ListUrlMain":"https://doi.org/10.4314/ahs.v24i4.30","RegionNum":0,"RegionCategory":null,"ArticlePicture":[],"TitleCN":null,"AbstractTextCN":null,"PMCID":null,"EPubDate":"","PubModel":"","JCR":"","JCRName":"","Score":null,"Total":0}
引用次数: 0

Abstract

There are a few reported cases of bone metastasis from adenocarcinoma of the appendix and there is none from Africa. We report this rare case of a 30-year-old man who presented with low back pain following a trivial fall and who subsequently developed generalized peritonitis for which he underwent laparotomy. The histology of the appendix and the mesentery confirmed adenocarcinoma of the appendix with metastasis to the mesenteric lymph nodes while an MRI scan confirmed spine metastasis. Carcinoma of the appendix, should, therefore, be considered as a differential diagnosis in spine metastasis of unknown origin especially with coexisting abdominal symptoms.

Abstract Image

Abstract Image

Abstract Image

阑尾腺癌伴脊柱转移。
关于阑尾腺癌骨转移的报道很少,非洲没有一例。我们报告这一罕见的情况下,一个30岁的男子谁提出腰痛后轻微跌倒,并随后发展为广泛性腹膜炎,他接受剖腹手术。阑尾和肠系膜的组织学证实阑尾腺癌转移到肠系膜淋巴结,而MRI扫描证实脊柱转移。因此,对于来源不明的脊柱转移,尤其是同时伴有腹部症状的患者,阑尾癌应被视为鉴别诊断。
本文章由计算机程序翻译,如有差异,请以英文原文为准。
求助全文
约1分钟内获得全文 求助全文
来源期刊
自引率
0.00%
发文量
0
×
引用
GB/T 7714-2015
复制
MLA
复制
APA
复制
导出至
BibTeX EndNote RefMan NoteFirst NoteExpress
×
提示
您的信息不完整,为了账户安全,请先补充。
现在去补充
×
提示
您因"违规操作"
具体请查看互助需知
我知道了
×
提示
确定
请完成安全验证×
copy
已复制链接
快去分享给好友吧!
我知道了
右上角分享
点击右上角分享
0
联系我们:info@booksci.cn Book学术提供免费学术资源搜索服务,方便国内外学者检索中英文文献。致力于提供最便捷和优质的服务体验。 Copyright © 2023 布克学术 All rights reserved.
京ICP备2023020795号-1
ghs 京公网安备 11010802042870号
Book学术文献互助
Book学术文献互助群
群 号:604180095
Book学术官方微信