Malignant Transformation of a Vestibular Schwannoma Without Previous Radiation Exposure: Illustrative Case and Literature Review.

IF 0.7 Q4 CLINICAL NEUROLOGY
Journal of Neurological Surgery Reports Pub Date : 2025-04-03 eCollection Date: 2025-04-01 DOI:10.1055/a-2547-5320
Chao Li, James Fowler, Kishore Balasubramanian, Kar-Ming Fung, Piao Zhe, William W Wu
{"title":"Malignant Transformation of a Vestibular Schwannoma Without Previous Radiation Exposure: Illustrative Case and Literature Review.","authors":"Chao Li, James Fowler, Kishore Balasubramanian, Kar-Ming Fung, Piao Zhe, William W Wu","doi":"10.1055/a-2547-5320","DOIUrl":null,"url":null,"abstract":"<p><strong>Background: </strong>Although malignant transformation of benign vestibular schwannoma (VS) preceded by irradiation has been well documented, few studies have demonstrated malignant transformation in the absence of radiation. Here, we present a rare case of the malignant transformation of a benign VS to a malignant peripheral nerve sheath tumor (MPNST) in the absence of prior irradiation. Additionally, we conducted a literature search to identify all other reported cases of MPNST arising from VS under similar conditions.</p><p><strong>Case presentation: </strong>A 75-year-old female presented to the hospital with a 1-month history of left-sided facial numbness, loss of taste on the left side of her tongue, severe dysarthria, and recent-onset cranial nerve VI and VII palsies. MRI of the brain with and without contrast demonstrated an enlarging cerebellopontine angle mass and signs of brainstem compression. The patient underwent a left retrosigmoid craniotomy and surgical resection. Pathology and immunohistochemistry sequencing findings were consistent for MPNST with rhabdomyoblastic differentiation (malignant triton tumor). An outside review of the case by a large academic institution concurred with the diagnosis. The patient did not report any previous history of irradiation.</p><p><strong>Conclusion: </strong>A total of 11 cases, including ours, have appropriate S-100 immunochemical reactivity to confirm malignant transformation. Due to the limited number of reported cases of MPNST arising from VS without prior irradiation, information regarding pathogenesis and pathological diagnosis is scarce. We provide valuable additions to the literature, including next-generation sequencing data, to identify potentially targetable genetic changes and help elucidate the pathogenesis of MPNST.</p>","PeriodicalId":44256,"journal":{"name":"Journal of Neurological Surgery Reports","volume":"86 2","pages":"e57-e64"},"PeriodicalIF":0.7000,"publicationDate":"2025-04-03","publicationTypes":"Journal Article","fieldsOfStudy":null,"isOpenAccess":false,"openAccessPdf":"https://www.ncbi.nlm.nih.gov/pmc/articles/PMC11968137/pdf/","citationCount":"0","resultStr":null,"platform":"Semanticscholar","paperid":null,"PeriodicalName":"Journal of Neurological Surgery Reports","FirstCategoryId":"1085","ListUrlMain":"https://doi.org/10.1055/a-2547-5320","RegionNum":0,"RegionCategory":null,"ArticlePicture":[],"TitleCN":null,"AbstractTextCN":null,"PMCID":null,"EPubDate":"2025/4/1 0:00:00","PubModel":"eCollection","JCR":"Q4","JCRName":"CLINICAL NEUROLOGY","Score":null,"Total":0}
引用次数: 0

Abstract

Background: Although malignant transformation of benign vestibular schwannoma (VS) preceded by irradiation has been well documented, few studies have demonstrated malignant transformation in the absence of radiation. Here, we present a rare case of the malignant transformation of a benign VS to a malignant peripheral nerve sheath tumor (MPNST) in the absence of prior irradiation. Additionally, we conducted a literature search to identify all other reported cases of MPNST arising from VS under similar conditions.

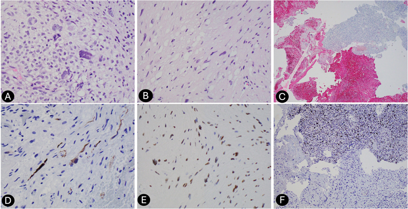
Case presentation: A 75-year-old female presented to the hospital with a 1-month history of left-sided facial numbness, loss of taste on the left side of her tongue, severe dysarthria, and recent-onset cranial nerve VI and VII palsies. MRI of the brain with and without contrast demonstrated an enlarging cerebellopontine angle mass and signs of brainstem compression. The patient underwent a left retrosigmoid craniotomy and surgical resection. Pathology and immunohistochemistry sequencing findings were consistent for MPNST with rhabdomyoblastic differentiation (malignant triton tumor). An outside review of the case by a large academic institution concurred with the diagnosis. The patient did not report any previous history of irradiation.

Conclusion: A total of 11 cases, including ours, have appropriate S-100 immunochemical reactivity to confirm malignant transformation. Due to the limited number of reported cases of MPNST arising from VS without prior irradiation, information regarding pathogenesis and pathological diagnosis is scarce. We provide valuable additions to the literature, including next-generation sequencing data, to identify potentially targetable genetic changes and help elucidate the pathogenesis of MPNST.

Abstract Image

Abstract Image

前庭神经鞘瘤的恶性转化没有先前的辐射照射:说明性病例和文献复习。
背景:虽然良性前庭神经鞘瘤(VS)在放疗前发生恶性转化的研究已经有了很好的记录,但很少有研究表明在没有放疗的情况下发生恶性转化。在此,我们报告一例罕见的良性VS恶性转化为恶性周围神经鞘肿瘤(MPNST),在没有事先照射的情况下。此外,我们进行了文献检索,以确定在类似条件下由VS引起的所有其他报道的MPNST病例。病例介绍:一名75岁女性,以左侧面部麻木、左侧舌部味觉丧失、严重构音障碍和最近发作的颅神经VI和VII麻痹1个月的病史就诊。脑MRI检查显示脑桥小脑角肿块增大和脑干压迫征象。患者接受左乙状窦后开颅和手术切除。病理和免疫组织化学测序结果与MPNST伴横纹肌母细胞分化(恶性triiton肿瘤)一致。一家大型学术机构对该病例进行的外部审查与诊断一致。患者未报告任何既往辐照史。结论:包括本组患者在内,共有11例患者具有适当的S-100免疫化学反应性,可确诊恶性转化。由于报道的没有事先照射的VS引起的MPNST病例数量有限,关于发病机制和病理诊断的信息很少。我们提供了有价值的补充文献,包括下一代测序数据,以确定潜在的靶向遗传变化,并帮助阐明MPNST的发病机制。
本文章由计算机程序翻译,如有差异,请以英文原文为准。
求助全文
约1分钟内获得全文 求助全文
来源期刊
自引率
0.00%
发文量
31
审稿时长
12 weeks
×
引用
GB/T 7714-2015
复制
MLA
复制
APA
复制
导出至
BibTeX EndNote RefMan NoteFirst NoteExpress
×
提示
您的信息不完整,为了账户安全,请先补充。
现在去补充
×
提示
您因"违规操作"
具体请查看互助需知
我知道了
×
提示
确定
请完成安全验证×
copy
已复制链接
快去分享给好友吧!
我知道了
右上角分享
点击右上角分享
0
联系我们:info@booksci.cn Book学术提供免费学术资源搜索服务,方便国内外学者检索中英文文献。致力于提供最便捷和优质的服务体验。 Copyright © 2023 布克学术 All rights reserved.
京ICP备2023020795号-1
ghs 京公网安备 11010802042870号
Book学术文献互助
Book学术文献互助群
群 号:604180095
Book学术官方微信