Real-life benefit of artificial intelligence-based fracture detection in a pediatric emergency department.

IF 4.7 2区 医学 Q1 RADIOLOGY, NUCLEAR MEDICINE & MEDICAL IMAGING
European Radiology Pub Date : 2025-10-01 Epub Date: 2025-04-07 DOI:10.1007/s00330-025-11554-9
Maria Ziegner, Johanna Pape, Martin Lacher, Annika Brandau, Tibor Kelety, Steffi Mayer, Franz Wolfgang Hirsch, Maciej Rosolowski, Daniel Gräfe
{"title":"Real-life benefit of artificial intelligence-based fracture detection in a pediatric emergency department.","authors":"Maria Ziegner, Johanna Pape, Martin Lacher, Annika Brandau, Tibor Kelety, Steffi Mayer, Franz Wolfgang Hirsch, Maciej Rosolowski, Daniel Gräfe","doi":"10.1007/s00330-025-11554-9","DOIUrl":null,"url":null,"abstract":"<p><strong>Objectives: </strong>This study aimed to evaluate the performance of an artificial intelligence (AI)-based software for fracture detection in pediatric patients within a real-life clinical setting. Specifically, it sought to assess (1) the stand-alone AI performance in real-life cohort and in selected set of medicolegal relevant fractures and (2) its influence on the diagnostic performance of inexperienced emergency room physicians.</p><p><strong>Materials and methods: </strong>The retrospective study involved 1672 radiographs of children under 18 years, obtained consecutively (real-life cohort) and selective (medicolegal cohort) in a tertiary pediatric emergency department. On these images, the stand-alone performance of a commercially available, deep learning-based software was determined. Additionally, three pediatric residents independently reviewed the radiographs before and after AI assistance, and the impact on their diagnostic accuracy was assessed.</p><p><strong>Results: </strong>In our cohort (median age 10.9 years, 59% male), the AI demonstrated a sensitivity of 92%, specificity of 83%, and accuracy of 87%. For medicolegally relevant fractures, the AI achieved a sensitivity of 100% for proximal tibia fractures, but only 68% for radial condyle fractures. AI assistance improved the residents' patient-wise sensitivity from 84 to 87%, specificity from 91 to 92%, and diagnostic accuracy from 88 to 90%. In 2% of cases, the readers, with the assistance of AI, erroneously discarded their correct diagnosis.</p><p><strong>Conclusion: </strong>The AI exhibited strong stand-alone performance in a pediatric setting and can modestly enhance the diagnostic accuracy of inexperienced physicians. However, the economic implications must be weighed against the potential benefits in patient safety.</p><p><strong>Key points: </strong>Question Does an artificial intelligence-based software for fracture detection influence inexperienced physicians in a real-life pediatric trauma population? Findings Addition of a well-performing artificial intelligence-based software led to a limited increase in diagnostic accuracy of inexperienced human readers. Clinical relevance Diagnosing fractures in children is especially challenging for less experienced physicians. High-performing artificial intelligence-based software as a \"second set of eyes,\" enhances diagnostic accuracy in a common pediatric emergency room setting.</p>","PeriodicalId":12076,"journal":{"name":"European Radiology","volume":" ","pages":"5881-5890"},"PeriodicalIF":4.7000,"publicationDate":"2025-10-01","publicationTypes":"Journal Article","fieldsOfStudy":null,"isOpenAccess":false,"openAccessPdf":"https://www.ncbi.nlm.nih.gov/pmc/articles/PMC12417293/pdf/","citationCount":"0","resultStr":null,"platform":"Semanticscholar","paperid":null,"PeriodicalName":"European Radiology","FirstCategoryId":"3","ListUrlMain":"https://doi.org/10.1007/s00330-025-11554-9","RegionNum":2,"RegionCategory":"医学","ArticlePicture":[],"TitleCN":null,"AbstractTextCN":null,"PMCID":null,"EPubDate":"2025/4/7 0:00:00","PubModel":"Epub","JCR":"Q1","JCRName":"RADIOLOGY, NUCLEAR MEDICINE & MEDICAL IMAGING","Score":null,"Total":0}
引用次数: 0

Abstract

Objectives: This study aimed to evaluate the performance of an artificial intelligence (AI)-based software for fracture detection in pediatric patients within a real-life clinical setting. Specifically, it sought to assess (1) the stand-alone AI performance in real-life cohort and in selected set of medicolegal relevant fractures and (2) its influence on the diagnostic performance of inexperienced emergency room physicians.

Materials and methods: The retrospective study involved 1672 radiographs of children under 18 years, obtained consecutively (real-life cohort) and selective (medicolegal cohort) in a tertiary pediatric emergency department. On these images, the stand-alone performance of a commercially available, deep learning-based software was determined. Additionally, three pediatric residents independently reviewed the radiographs before and after AI assistance, and the impact on their diagnostic accuracy was assessed.

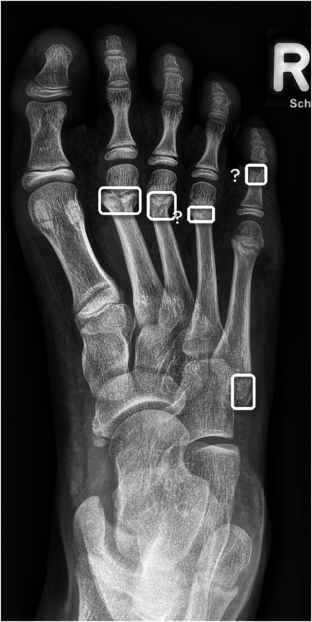
Results: In our cohort (median age 10.9 years, 59% male), the AI demonstrated a sensitivity of 92%, specificity of 83%, and accuracy of 87%. For medicolegally relevant fractures, the AI achieved a sensitivity of 100% for proximal tibia fractures, but only 68% for radial condyle fractures. AI assistance improved the residents' patient-wise sensitivity from 84 to 87%, specificity from 91 to 92%, and diagnostic accuracy from 88 to 90%. In 2% of cases, the readers, with the assistance of AI, erroneously discarded their correct diagnosis.

Conclusion: The AI exhibited strong stand-alone performance in a pediatric setting and can modestly enhance the diagnostic accuracy of inexperienced physicians. However, the economic implications must be weighed against the potential benefits in patient safety.

Key points: Question Does an artificial intelligence-based software for fracture detection influence inexperienced physicians in a real-life pediatric trauma population? Findings Addition of a well-performing artificial intelligence-based software led to a limited increase in diagnostic accuracy of inexperienced human readers. Clinical relevance Diagnosing fractures in children is especially challenging for less experienced physicians. High-performing artificial intelligence-based software as a "second set of eyes," enhances diagnostic accuracy in a common pediatric emergency room setting.

Abstract Image

Abstract Image

Abstract Image

基于人工智能的骨折检测在儿科急诊科的现实效益
研究目的本研究旨在评估基于人工智能(AI)的软件在实际临床环境中检测儿科患者骨折的性能。具体而言,该研究旨在评估:(1)在现实生活中的队列和选定的一组医学法律相关骨折中独立人工智能的性能;(2)其对缺乏经验的急诊室医生诊断性能的影响:这项回顾性研究涉及 1672 张 18 岁以下儿童的 X 射线照片,这些照片是在一家三级儿科急诊室连续(现实生活队列)和选择性(医学法律队列)获得的。在这些图像上,确定了基于深度学习的商用软件的独立性能。此外,三名儿科住院医师在人工智能辅助前后独立审查了放射照片,并评估了其对诊断准确性的影响:在我们的队列中(中位年龄为 10.9 岁,59% 为男性),人工智能的灵敏度为 92%,特异度为 83%,准确度为 87%。对于医学上相关的骨折,人工智能对胫骨近端骨折的灵敏度为 100%,但对桡骨髁骨折的灵敏度仅为 68%。在人工智能的协助下,住院医生对患者的敏感性从 84% 提高到 87%,特异性从 91% 提高到 92%,诊断准确性从 88% 提高到 90%。在 2% 的病例中,读者在人工智能的帮助下错误地放弃了正确的诊断:结论:人工智能在儿科环境中表现出强大的独立性能,可适度提高缺乏经验的医生的诊断准确性。结论:人工智能在儿科环境中表现出很强的独立性能,可适度提高缺乏经验的医生的诊断准确性,但必须权衡其经济影响和对患者安全的潜在益处:问题 基于人工智能的骨折检测软件能否影响现实生活中儿科创伤人群中缺乏经验的医生?研究结果 添加性能良好的人工智能软件后,经验不足的人类阅读者的诊断准确率提高有限。临床意义 对于经验不足的医生来说,诊断儿童骨折尤其具有挑战性。基于人工智能的高性能软件可作为 "第二双眼睛",提高普通儿科急诊室的诊断准确性。
本文章由计算机程序翻译,如有差异,请以英文原文为准。
求助全文
约1分钟内获得全文 求助全文
来源期刊
European Radiology
European Radiology 医学-核医学
CiteScore
11.60
自引率
8.50%
发文量
874
审稿时长
2-4 weeks
期刊介绍: European Radiology (ER) continuously updates scientific knowledge in radiology by publication of strong original articles and state-of-the-art reviews written by leading radiologists. A well balanced combination of review articles, original papers, short communications from European radiological congresses and information on society matters makes ER an indispensable source for current information in this field. This is the Journal of the European Society of Radiology, and the official journal of a number of societies. From 2004-2008 supplements to European Radiology were published under its companion, European Radiology Supplements, ISSN 1613-3749.
×
引用
GB/T 7714-2015
复制
MLA
复制
APA
复制
导出至
BibTeX EndNote RefMan NoteFirst NoteExpress
×
提示
您的信息不完整,为了账户安全,请先补充。
现在去补充
×
提示
您因"违规操作"
具体请查看互助需知
我知道了
×
提示
确定
请完成安全验证×
copy
已复制链接
快去分享给好友吧!
我知道了
右上角分享
点击右上角分享
0
联系我们:info@booksci.cn Book学术提供免费学术资源搜索服务,方便国内外学者检索中英文文献。致力于提供最便捷和优质的服务体验。 Copyright © 2023 布克学术 All rights reserved.
京ICP备2023020795号-1
ghs 京公网安备 11010802042870号
Book学术文献互助
Book学术文献互助群
群 号:604180095
Book学术官方微信