Interdisciplinary approach in the management of visual loss in giant cell arteritis.

IF 1.2 Q4 OPHTHALMOLOGY
Saudi Journal of Ophthalmology Pub Date : 2024-11-18 eCollection Date: 2025-01-01 DOI:10.4103/sjopt.sjopt_236_24
Luca De Simone, Chiara Marvisi, Caterina Ricordi, Fabrizio Gozzi, Elena Bolletta, Pietro Gentile, Francesco Muratore, Luca Cimino, Carlo Salvarani
{"title":"Interdisciplinary approach in the management of visual loss in giant cell arteritis.","authors":"Luca De Simone, Chiara Marvisi, Caterina Ricordi, Fabrizio Gozzi, Elena Bolletta, Pietro Gentile, Francesco Muratore, Luca Cimino, Carlo Salvarani","doi":"10.4103/sjopt.sjopt_236_24","DOIUrl":null,"url":null,"abstract":"<p><p>Giant cell arteritis (GCA) is the most common vasculitis among older patients in western countries. A correct diagnosis permits the prompt initiation of glucocorticoids, which still represent the cornerstone of treatment. One of the most feared complications of the disease is sudden visual loss and other ischemic events causing visual disturbances. In these cases, an interdisciplinary approach between ophthalmologists and rheumatologists is crucial to avoiding any diagnostic delays and to permitting correct clinical assessment without subjecting the patient to unnecessary treatment. In this review, we discuss the main causes of visual disturbances in GCA, particularly the causes of sight loss, outlining the red flags that should raise suspicion in ophthalmologists and rheumatologists.</p>","PeriodicalId":46810,"journal":{"name":"Saudi Journal of Ophthalmology","volume":"39 1","pages":"14-19"},"PeriodicalIF":1.2000,"publicationDate":"2024-11-18","publicationTypes":"Journal Article","fieldsOfStudy":null,"isOpenAccess":false,"openAccessPdf":"https://www.ncbi.nlm.nih.gov/pmc/articles/PMC11964345/pdf/","citationCount":"0","resultStr":null,"platform":"Semanticscholar","paperid":null,"PeriodicalName":"Saudi Journal of Ophthalmology","FirstCategoryId":"1085","ListUrlMain":"https://doi.org/10.4103/sjopt.sjopt_236_24","RegionNum":0,"RegionCategory":null,"ArticlePicture":[],"TitleCN":null,"AbstractTextCN":null,"PMCID":null,"EPubDate":"2025/1/1 0:00:00","PubModel":"eCollection","JCR":"Q4","JCRName":"OPHTHALMOLOGY","Score":null,"Total":0}
引用次数: 0

Abstract

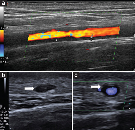
Giant cell arteritis (GCA) is the most common vasculitis among older patients in western countries. A correct diagnosis permits the prompt initiation of glucocorticoids, which still represent the cornerstone of treatment. One of the most feared complications of the disease is sudden visual loss and other ischemic events causing visual disturbances. In these cases, an interdisciplinary approach between ophthalmologists and rheumatologists is crucial to avoiding any diagnostic delays and to permitting correct clinical assessment without subjecting the patient to unnecessary treatment. In this review, we discuss the main causes of visual disturbances in GCA, particularly the causes of sight loss, outlining the red flags that should raise suspicion in ophthalmologists and rheumatologists.

Abstract Image

Abstract Image

Abstract Image

巨细胞动脉炎视力丧失的跨学科治疗。
巨细胞动脉炎(GCA)是西方国家老年患者中最常见的血管炎。正确的诊断允许及时开始使用糖皮质激素,这仍然是治疗的基石。该疾病最可怕的并发症之一是突然视力丧失和其他引起视力障碍的缺血性事件。在这些情况下,眼科医生和风湿病学家之间的跨学科方法对于避免任何诊断延误和允许正确的临床评估而不使患者接受不必要的治疗至关重要。在这篇综述中,我们讨论了GCA中视力障碍的主要原因,特别是视力丧失的原因,概述了应引起眼科医生和风湿病学家怀疑的危险信号。
本文章由计算机程序翻译,如有差异,请以英文原文为准。
求助全文
约1分钟内获得全文 求助全文
来源期刊
CiteScore
0.90
自引率
0.00%
发文量
79
审稿时长
13 weeks
期刊介绍: Saudi Journal of Ophthalmology is an English language, peer-reviewed scholarly publication in the area of ophthalmology. Saudi Journal of Ophthalmology publishes original papers, clinical studies, reviews and case reports. Saudi Journal of Ophthalmology is the official publication of the Saudi Ophthalmological Society and is published by King Saud University in collaboration with Elsevier and is edited by an international group of eminent researchers.
×
引用
GB/T 7714-2015
复制
MLA
复制
APA
复制
导出至
BibTeX EndNote RefMan NoteFirst NoteExpress
×
提示
您的信息不完整,为了账户安全,请先补充。
现在去补充
×
提示
您因"违规操作"
具体请查看互助需知
我知道了
×
提示
确定
请完成安全验证×
copy
已复制链接
快去分享给好友吧!
我知道了
右上角分享
点击右上角分享
0
联系我们:info@booksci.cn Book学术提供免费学术资源搜索服务,方便国内外学者检索中英文文献。致力于提供最便捷和优质的服务体验。 Copyright © 2023 布克学术 All rights reserved.
京ICP备2023020795号-1
ghs 京公网安备 11010802042870号
Book学术文献互助
Book学术文献互助群
群 号:604180095
Book学术官方微信