Imaging Diagnosis-Sonographic Features of Bilateral Renal Lymphangiectasia in an Azotemic Dog.

IF 1.5 2区 农林科学 Q2 VETERINARY SCIENCES
Yu Wang, Wilfried Mai, Lisa Dourmashkin, Victoria Leopardi, Hayley Amerman
{"title":"Imaging Diagnosis-Sonographic Features of Bilateral Renal Lymphangiectasia in an Azotemic Dog.","authors":"Yu Wang, Wilfried Mai, Lisa Dourmashkin, Victoria Leopardi, Hayley Amerman","doi":"10.1111/vru.70027","DOIUrl":null,"url":null,"abstract":"<p><p>A 9-year-old male neutered Labrador Retriever was referred for azotemia and bilateral renomegaly. An abdominal ultrasound revealed severe bilateral renomegaly with septated subcapsular cystic anechoic lesions, consistent with renal lymphangiectasia. Despite conservative management, the patient died. Necropsy and histopathology confirmed dilated subcapsular vascular structures. Renal lymphangiectasia is a rare, benign dilation of renal lymphatics previously reported in human medicine. This case represents the first description of sonographic features of renal lymphangiectasia in a canine patient.</p>","PeriodicalId":23581,"journal":{"name":"Veterinary Radiology & Ultrasound","volume":"66 3","pages":"e70027"},"PeriodicalIF":1.5000,"publicationDate":"2025-05-01","publicationTypes":"Journal Article","fieldsOfStudy":null,"isOpenAccess":false,"openAccessPdf":"https://www.ncbi.nlm.nih.gov/pmc/articles/PMC11965778/pdf/","citationCount":"0","resultStr":null,"platform":"Semanticscholar","paperid":null,"PeriodicalName":"Veterinary Radiology & Ultrasound","FirstCategoryId":"97","ListUrlMain":"https://doi.org/10.1111/vru.70027","RegionNum":2,"RegionCategory":"农林科学","ArticlePicture":[],"TitleCN":null,"AbstractTextCN":null,"PMCID":null,"EPubDate":"","PubModel":"","JCR":"Q2","JCRName":"VETERINARY SCIENCES","Score":null,"Total":0}
引用次数: 0

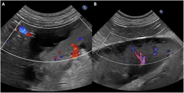
Abstract

A 9-year-old male neutered Labrador Retriever was referred for azotemia and bilateral renomegaly. An abdominal ultrasound revealed severe bilateral renomegaly with septated subcapsular cystic anechoic lesions, consistent with renal lymphangiectasia. Despite conservative management, the patient died. Necropsy and histopathology confirmed dilated subcapsular vascular structures. Renal lymphangiectasia is a rare, benign dilation of renal lymphatics previously reported in human medicine. This case represents the first description of sonographic features of renal lymphangiectasia in a canine patient.

Abstract Image

Abstract Image

Abstract Image

偶氮血症犬双侧肾淋巴管扩张的超声影像诊断。
一只9岁的拉布拉多雄性绝育猎犬因氮血症和双侧肾肿大而被转诊。腹部超声显示严重双侧肾肿大伴囊下分离性囊性无回声病变,符合肾淋巴管扩张。尽管进行了保守治疗,患者还是死亡了。尸检和组织病理学证实包膜下血管结构扩张。肾淋巴管扩张是一种罕见的,良性扩张的肾淋巴管先前报道在人类医学。本病例首次描述犬患者肾淋巴管扩张的声像图特征。
本文章由计算机程序翻译,如有差异,请以英文原文为准。
求助全文
约1分钟内获得全文 求助全文
来源期刊
Veterinary Radiology & Ultrasound
Veterinary Radiology & Ultrasound 农林科学-兽医学
CiteScore
2.40
自引率
17.60%
发文量
133
审稿时长
8-16 weeks
期刊介绍: Veterinary Radiology & Ultrasound is a bimonthly, international, peer-reviewed, research journal devoted to the fields of veterinary diagnostic imaging and radiation oncology. Established in 1958, it is owned by the American College of Veterinary Radiology and is also the official journal for six affiliate veterinary organizations. Veterinary Radiology & Ultrasound is represented on the International Committee of Medical Journal Editors, World Association of Medical Editors, and Committee on Publication Ethics. The mission of Veterinary Radiology & Ultrasound is to serve as a leading resource for high quality articles that advance scientific knowledge and standards of clinical practice in the areas of veterinary diagnostic radiology, computed tomography, magnetic resonance imaging, ultrasonography, nuclear imaging, radiation oncology, and interventional radiology. Manuscript types include original investigations, imaging diagnosis reports, review articles, editorials and letters to the Editor. Acceptance criteria include originality, significance, quality, reader interest, composition and adherence to author guidelines.
×
引用
GB/T 7714-2015
复制
MLA
复制
APA
复制
导出至
BibTeX EndNote RefMan NoteFirst NoteExpress
×
提示
您的信息不完整,为了账户安全,请先补充。
现在去补充
×
提示
您因"违规操作"
具体请查看互助需知
我知道了
×
提示
确定
请完成安全验证×
copy
已复制链接
快去分享给好友吧!
我知道了
右上角分享
点击右上角分享
0
联系我们:info@booksci.cn Book学术提供免费学术资源搜索服务,方便国内外学者检索中英文文献。致力于提供最便捷和优质的服务体验。 Copyright © 2023 布克学术 All rights reserved.
京ICP备2023020795号-1
ghs 京公网安备 11010802042870号
Book学术文献互助
Book学术文献互助群
群 号:604180095
Book学术官方微信