Small Bowel Strangulation under External Iliac Vessels after Robot-Assisted Prostatectomy.

CRSLS : MIS case reports from SLS Pub Date : 2025-04-01 eCollection Date: 2025-01-01 DOI:10.4293/CRSLS.2024.00071
Kazushi Jinno, Alfred Honore, Silje Skarsjø, Kjell Øvrebø
{"title":"Small Bowel Strangulation under External Iliac Vessels after Robot-Assisted Prostatectomy.","authors":"Kazushi Jinno, Alfred Honore, Silje Skarsjø, Kjell Øvrebø","doi":"10.4293/CRSLS.2024.00071","DOIUrl":null,"url":null,"abstract":"<p><strong>Introduction: </strong>Internal herniation under the external iliac vasculature is a rare cause of small bowel obstruction, however an increasing number of cases have been reported in recent years.</p><p><strong>Presentation of the case: </strong>We report a case of 74-year-old male patient who presented with diffuse abdominal pain. He had undergone robot-assisted laparoscopic prostatectomy 4 months earlier. Computed tomography showed signs of internal herniation under the right external iliac vessels. The patient was operated laparoscopically with small bowel resection and peritoneal flap.</p><p><strong>Conclusion: </strong>Internal herniation under external iliac vessels is a rare and challenging condition. Operation can be performed well with both laparotomy and laparoscopy. We suggest closing peritoneal defects during index operation and strongly recommend defect closure after an episode of internal herniation.</p>","PeriodicalId":72723,"journal":{"name":"CRSLS : MIS case reports from SLS","volume":"12 1","pages":""},"PeriodicalIF":0.0000,"publicationDate":"2025-04-01","publicationTypes":"Journal Article","fieldsOfStudy":null,"isOpenAccess":false,"openAccessPdf":"https://www.ncbi.nlm.nih.gov/pmc/articles/PMC11960416/pdf/","citationCount":"0","resultStr":null,"platform":"Semanticscholar","paperid":null,"PeriodicalName":"CRSLS : MIS case reports from SLS","FirstCategoryId":"1085","ListUrlMain":"https://doi.org/10.4293/CRSLS.2024.00071","RegionNum":0,"RegionCategory":null,"ArticlePicture":[],"TitleCN":null,"AbstractTextCN":null,"PMCID":null,"EPubDate":"2025/1/1 0:00:00","PubModel":"eCollection","JCR":"","JCRName":"","Score":null,"Total":0}
引用次数: 0

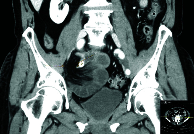
Abstract

Introduction: Internal herniation under the external iliac vasculature is a rare cause of small bowel obstruction, however an increasing number of cases have been reported in recent years.

Presentation of the case: We report a case of 74-year-old male patient who presented with diffuse abdominal pain. He had undergone robot-assisted laparoscopic prostatectomy 4 months earlier. Computed tomography showed signs of internal herniation under the right external iliac vessels. The patient was operated laparoscopically with small bowel resection and peritoneal flap.

Conclusion: Internal herniation under external iliac vessels is a rare and challenging condition. Operation can be performed well with both laparotomy and laparoscopy. We suggest closing peritoneal defects during index operation and strongly recommend defect closure after an episode of internal herniation.

Abstract Image

Abstract Image

Abstract Image

机器人辅助前列腺切除术后髂外血管下小肠绞窄。
简介:髂外血管下的内疝是一种罕见的引起小肠梗阻的原因,但近年来越来越多的病例被报道。病例介绍:我们报告一例74岁男性患者,表现为弥漫性腹痛。4个月前,他接受了机器人辅助腹腔镜前列腺切除术。计算机断层扫描显示右侧髂外血管下有内部疝的迹象。腹腔镜下行小肠切除及腹膜瓣手术。结论:髂外血管下疝是一种罕见且具有挑战性的疾病。开腹手术和腹腔镜手术都能很好地完成手术。我们建议在指数手术时关闭腹膜缺损,并强烈建议在发生内疝后关闭缺损。
本文章由计算机程序翻译,如有差异,请以英文原文为准。
求助全文
约1分钟内获得全文 求助全文
来源期刊
自引率
0.00%
发文量
0
×
引用
GB/T 7714-2015
复制
MLA
复制
APA
复制
导出至
BibTeX EndNote RefMan NoteFirst NoteExpress
×
提示
您的信息不完整,为了账户安全,请先补充。
现在去补充
×
提示
您因"违规操作"
具体请查看互助需知
我知道了
×
提示
确定
请完成安全验证×
copy
已复制链接
快去分享给好友吧!
我知道了
右上角分享
点击右上角分享
0
联系我们:info@booksci.cn Book学术提供免费学术资源搜索服务,方便国内外学者检索中英文文献。致力于提供最便捷和优质的服务体验。 Copyright © 2023 布克学术 All rights reserved.
京ICP备2023020795号-1
ghs 京公网安备 11010802042870号
Book学术文献互助
Book学术文献互助群
群 号:604180095
Book学术官方微信