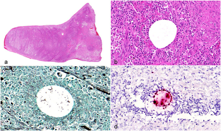
Diagnostic challenge in veterinary pathology: Does negative Ziehl-Neelsen staining rule out mycobacteriosis?

IF 1.7 2区 农林科学 Q2 PATHOLOGY
Veterinary Pathology Pub Date : 2025-05-01 Epub Date: 2025-04-02 DOI:10.1177/03009858251331342
Anna Huupponen, Sini Ulmanen, Thomas Grönthal, Taru Lienemann, Sanna Viitanen, Pernilla Syrjä
{"title":"Diagnostic challenge in veterinary pathology: Does negative Ziehl-Neelsen staining rule out mycobacteriosis?","authors":"Anna Huupponen, Sini Ulmanen, Thomas Grönthal, Taru Lienemann, Sanna Viitanen, Pernilla Syrjä","doi":"10.1177/03009858251331342","DOIUrl":null,"url":null,"abstract":"","PeriodicalId":23513,"journal":{"name":"Veterinary Pathology","volume":" ","pages":"273-275"},"PeriodicalIF":1.7000,"publicationDate":"2025-05-01","publicationTypes":"Journal Article","fieldsOfStudy":null,"isOpenAccess":false,"openAccessPdf":"https://www.ncbi.nlm.nih.gov/pmc/articles/PMC12014947/pdf/","citationCount":"0","resultStr":null,"platform":"Semanticscholar","paperid":null,"PeriodicalName":"Veterinary Pathology","FirstCategoryId":"97","ListUrlMain":"https://doi.org/10.1177/03009858251331342","RegionNum":2,"RegionCategory":"农林科学","ArticlePicture":[],"TitleCN":null,"AbstractTextCN":null,"PMCID":null,"EPubDate":"2025/4/2 0:00:00","PubModel":"Epub","JCR":"Q2","JCRName":"PATHOLOGY","Score":null,"Total":0}
引用次数: 0

Abstract Image

Abstract Image

兽医病理学的诊断挑战:ziehl - nielsen染色阴性是否可以排除分枝杆菌病?
本文章由计算机程序翻译,如有差异,请以英文原文为准。
求助全文
约1分钟内获得全文 求助全文
来源期刊
Veterinary Pathology
Veterinary Pathology 农林科学-病理学
CiteScore
4.70
自引率
8.30%
发文量
99
审稿时长
2 months
期刊介绍: Veterinary Pathology (VET) is the premier international publication of basic and applied research involving domestic, laboratory, wildlife, marine and zoo animals, and poultry. Bridging the divide between natural and experimental diseases, the journal details the diagnostic investigations of diseases of animals; reports experimental studies on mechanisms of specific processes; provides unique insights into animal models of human disease; and presents studies on environmental and pharmaceutical hazards.
×
引用
GB/T 7714-2015
复制
MLA
复制
APA
复制
导出至
BibTeX EndNote RefMan NoteFirst NoteExpress
×
提示
您的信息不完整,为了账户安全,请先补充。
现在去补充
×
提示
您因"违规操作"
具体请查看互助需知
我知道了
×
提示
确定
请完成安全验证×
copy
已复制链接
快去分享给好友吧!
我知道了
右上角分享
点击右上角分享
0
联系我们:info@booksci.cn Book学术提供免费学术资源搜索服务,方便国内外学者检索中英文文献。致力于提供最便捷和优质的服务体验。 Copyright © 2023 布克学术 All rights reserved.
京ICP备2023020795号-1
ghs 京公网安备 11010802042870号
Book学术文献互助
Book学术文献互助群
群 号:604180095
Book学术官方微信