A novel case of Staphylococcus pseudintermedius aortitis.

Access microbiology Pub Date : 2025-03-28 eCollection Date: 2025-01-01 DOI:10.1099/acmi.0.000912.v3
Dione Jones, Matthew Lim, Maxwell Olenski
{"title":"A novel case of Staphylococcus pseudintermedius aortitis.","authors":"Dione Jones, Matthew Lim, Maxwell Olenski","doi":"10.1099/acmi.0.000912.v3","DOIUrl":null,"url":null,"abstract":"<p><p><i>Staphylococcus pseudintermedius</i> is a common commensal and opportunistic canine pathogen with emerging pathogenicity in humans. We describe the first case of invasive <i>S. pseudintermedius</i> infection causing aortitis and mycotic aneurysm in an 83-year-old patient, treated successfully with flucloxacillin. This case highlights the potential for <i>S. pseudintermedius</i> to cause serious endovascular infection in humans.</p>","PeriodicalId":94366,"journal":{"name":"Access microbiology","volume":"7 3","pages":""},"PeriodicalIF":0.0000,"publicationDate":"2025-03-28","publicationTypes":"Journal Article","fieldsOfStudy":null,"isOpenAccess":false,"openAccessPdf":"https://www.ncbi.nlm.nih.gov/pmc/articles/PMC11952663/pdf/","citationCount":"0","resultStr":null,"platform":"Semanticscholar","paperid":null,"PeriodicalName":"Access microbiology","FirstCategoryId":"1085","ListUrlMain":"https://doi.org/10.1099/acmi.0.000912.v3","RegionNum":0,"RegionCategory":null,"ArticlePicture":[],"TitleCN":null,"AbstractTextCN":null,"PMCID":null,"EPubDate":"2025/1/1 0:00:00","PubModel":"eCollection","JCR":"","JCRName":"","Score":null,"Total":0}
引用次数: 0

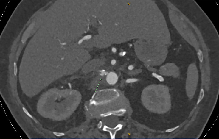
Abstract

Staphylococcus pseudintermedius is a common commensal and opportunistic canine pathogen with emerging pathogenicity in humans. We describe the first case of invasive S. pseudintermedius infection causing aortitis and mycotic aneurysm in an 83-year-old patient, treated successfully with flucloxacillin. This case highlights the potential for S. pseudintermedius to cause serious endovascular infection in humans.

Abstract Image

假性葡萄球菌性主动脉炎1例。
假中间葡萄球菌是一种常见的共生和机会性犬病原体,在人类中具有新兴的致病性。我们描述了第一例侵袭性假中间葡萄球菌感染引起主炎和真菌性动脉瘤在一个83岁的病人,治疗成功氟氯西林。本病例突出了假中间葡萄球菌在人体内引起严重血管内感染的可能性。
本文章由计算机程序翻译,如有差异,请以英文原文为准。
求助全文
约1分钟内获得全文 求助全文
来源期刊
CiteScore
2.00
自引率
0.00%
发文量
0
×
引用
GB/T 7714-2015
复制
MLA
复制
APA
复制
导出至
BibTeX EndNote RefMan NoteFirst NoteExpress
×
提示
您的信息不完整,为了账户安全,请先补充。
现在去补充
×
提示
您因"违规操作"
具体请查看互助需知
我知道了
×
提示
确定
请完成安全验证×
copy
已复制链接
快去分享给好友吧!
我知道了
右上角分享
点击右上角分享
0
联系我们:info@booksci.cn Book学术提供免费学术资源搜索服务,方便国内外学者检索中英文文献。致力于提供最便捷和优质的服务体验。 Copyright © 2023 布克学术 All rights reserved.
京ICP备2023020795号-1
ghs 京公网安备 11010802042870号
Book学术文献互助
Book学术文献互助群
群 号:604180095
Book学术官方微信