Ophthalmoplegia as a Rare Initial Presentation of Cryptococcal Meningitis: A Case Report and Literature Review

Q3 Medicine
Raymundo Solís-Gómez, Itzel A Hernández-Dehesa, Aztlani Adan-Ruiz, Adrián F Sánchez-Cruz, Eduardo Argüelles-González
{"title":"Ophthalmoplegia as a Rare Initial Presentation of Cryptococcal Meningitis: A Case Report and Literature Review","authors":"Raymundo Solís-Gómez, Itzel A Hernández-Dehesa, Aztlani Adan-Ruiz, Adrián F Sánchez-Cruz, Eduardo Argüelles-González","doi":"10.31053/1853.0605.v82.n1.44952","DOIUrl":null,"url":null,"abstract":"<p><strong>Introduction: </strong>Cryptococcal meningitis (CM) frequently associates immunocompromised patients, specifically in HIV infection, and it has high mortality. Neuro-ophthalmic manifestations are rare in patients with CM, especially internuclear ophthalmoplegia (INO) or wall-eyed bilateral internuclear ophthalmoplegia (WEBINO), most of them the result of secondary vasculitis.</p><p><strong>Case report: </strong>A 53-year-old woman with chronic hepatic failure, had sudden drowsiness, diplopia, fever, and internuclear ophthalmoplegia. MRI showed generalized leptomeningeal enhancement plus infratentorial nodular enhancement type in the midbrain and left cerebellar hemisphere. An India ink test was positive for Cryptococcus neoformans.</p><p><strong>Conclusion: </strong>Cryptococcal meningitis causes a wide spectrum of neurological manifestations, but neuro-ophthalmological signs are infrequent. Physicians should consider that these meningitis events are capable of generating symptoms due to intra-axial involvement of the Central Nervous System (CNS) due to vasculitis.</p>","PeriodicalId":38814,"journal":{"name":"Revista de la Facultad de Ciencias Medicas de Cordoba","volume":"82 1","pages":"176-187"},"PeriodicalIF":0.0000,"publicationDate":"2025-03-31","publicationTypes":"Journal Article","fieldsOfStudy":null,"isOpenAccess":false,"openAccessPdf":"https://www.ncbi.nlm.nih.gov/pmc/articles/PMC12057709/pdf/","citationCount":"0","resultStr":null,"platform":"Semanticscholar","paperid":null,"PeriodicalName":"Revista de la Facultad de Ciencias Medicas de Cordoba","FirstCategoryId":"1085","ListUrlMain":"https://doi.org/10.31053/1853.0605.v82.n1.44952","RegionNum":0,"RegionCategory":null,"ArticlePicture":[],"TitleCN":null,"AbstractTextCN":null,"PMCID":null,"EPubDate":"","PubModel":"","JCR":"Q3","JCRName":"Medicine","Score":null,"Total":0}
引用次数: 0

Abstract

Introduction: Cryptococcal meningitis (CM) frequently associates immunocompromised patients, specifically in HIV infection, and it has high mortality. Neuro-ophthalmic manifestations are rare in patients with CM, especially internuclear ophthalmoplegia (INO) or wall-eyed bilateral internuclear ophthalmoplegia (WEBINO), most of them the result of secondary vasculitis.

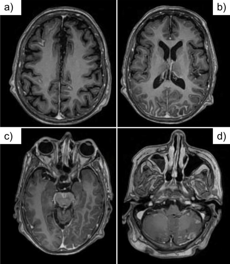
Case report: A 53-year-old woman with chronic hepatic failure, had sudden drowsiness, diplopia, fever, and internuclear ophthalmoplegia. MRI showed generalized leptomeningeal enhancement plus infratentorial nodular enhancement type in the midbrain and left cerebellar hemisphere. An India ink test was positive for Cryptococcus neoformans.

Conclusion: Cryptococcal meningitis causes a wide spectrum of neurological manifestations, but neuro-ophthalmological signs are infrequent. Physicians should consider that these meningitis events are capable of generating symptoms due to intra-axial involvement of the Central Nervous System (CNS) due to vasculitis.

Abstract Image

Abstract Image

Abstract Image

双核间眼移植物作为隐球菌性脑膜炎的罕见初始表现。
介绍。隐球菌性脑膜炎(MC)通常与免疫受损的患者,特别是艾滋病毒感染患者的高死亡率有关。神经眼睑的表现在CM患者中很少见,特别是核间眼睑增生(INO)或双核间眼睑增生(WEBINO),大多数是继发性血管炎的结果。案例报告。53岁女性,慢性肝功能衰竭,出现突然嗜睡、远视、发烧和核间眼部移位。核磁共振显示全局性细脑膜增强加上中脑和左脑半球的腹下结节增强。中国墨水检测呈新形隐球菌阳性。结论。隐球菌性脑膜炎引起广泛的神经表现,但神经眼部体征很少见。医生应考虑到这些脑膜炎事件可能导致血管炎对中枢神经系统(CNS)轴间损伤的症状。
本文章由计算机程序翻译,如有差异,请以英文原文为准。
求助全文
约1分钟内获得全文 求助全文
来源期刊
CiteScore
1.60
自引率
0.00%
发文量
60
审稿时长
20 weeks
期刊介绍: The Journal of the Faculty of Medical Sciences is a scientific publication of the Secretariat of Science and Technology of the Faculty of Medical Sciences of the National University of Cordoba. Its objective is to disseminate and promote research work related to Medical and Biological Sciences. It publishes scientific works of national and international professionals on different topics related to health sciences from the field of medicine, nursing, kinesiology, diagnostic imaging, phonoaudiology, nutrition, public health, chemical sciences, dentistry and related.
×
引用
GB/T 7714-2015
复制
MLA
复制
APA
复制
导出至
BibTeX EndNote RefMan NoteFirst NoteExpress
×
提示
您的信息不完整,为了账户安全,请先补充。
现在去补充
×
提示
您因"违规操作"
具体请查看互助需知
我知道了
×
提示
确定
请完成安全验证×
copy
已复制链接
快去分享给好友吧!
我知道了
右上角分享
点击右上角分享
0
联系我们:info@booksci.cn Book学术提供免费学术资源搜索服务,方便国内外学者检索中英文文献。致力于提供最便捷和优质的服务体验。 Copyright © 2023 布克学术 All rights reserved.
京ICP备2023020795号-1
ghs 京公网安备 11010802042870号
Book学术文献互助
Book学术文献互助群
群 号:604180095
Book学术官方微信