[Dermatofibrosarcoma protuberans treated with Mohs surgery]

Q3 Medicine
Lía Salomé Abeledo, Carla Barbini, Gerardo Russier, Corina Busso
{"title":"[Dermatofibrosarcoma protuberans treated with Mohs surgery]","authors":"Lía Salomé Abeledo, Carla Barbini, Gerardo Russier, Corina Busso","doi":"10.31053/1853.0605.v82.n1.45363","DOIUrl":null,"url":null,"abstract":"<p><strong>Objetives: </strong>Dermatofibrosarcoma protuberans is a sarcomatous neoplasm with low incidence. It exhibits slow growth; however, it has the capacity to involve deep tissues. Clinically, it can mimic benign lesions, presenting as thickened or atrophic plaques that slowly transform into protruding lesions. The treatment of choice is surgical excision, with Mohs micrographic surgery standing out for its advantages.</p><p><strong>Clinical case: </strong>A 40-year-old male patient with dermatofibrosarcoma protuberans on the back underwent excision using the Mohs technique, with no tumor recurrence after two years of follow-up. Conclusion: It is important to highlight that the Mohs technique offers advantages over conventional methods, allowing for tissue optimization, ensuring clear margins, and achieving a low recurrence rate</p><p><strong>Conclusion: </strong>It is important to highlight that the Mohs technique offers advantages over conventional methods, allowing for tissue optimization, ensuring clear margins, and achieving a low recurrence rate</p>","PeriodicalId":38814,"journal":{"name":"Revista de la Facultad de Ciencias Medicas de Cordoba","volume":"82 1","pages":"165-175"},"PeriodicalIF":0.0000,"publicationDate":"2025-03-31","publicationTypes":"Journal Article","fieldsOfStudy":null,"isOpenAccess":false,"openAccessPdf":"https://www.ncbi.nlm.nih.gov/pmc/articles/PMC12057716/pdf/","citationCount":"0","resultStr":null,"platform":"Semanticscholar","paperid":null,"PeriodicalName":"Revista de la Facultad de Ciencias Medicas de Cordoba","FirstCategoryId":"1085","ListUrlMain":"https://doi.org/10.31053/1853.0605.v82.n1.45363","RegionNum":0,"RegionCategory":null,"ArticlePicture":[],"TitleCN":null,"AbstractTextCN":null,"PMCID":null,"EPubDate":"","PubModel":"","JCR":"Q3","JCRName":"Medicine","Score":null,"Total":0}
引用次数: 0

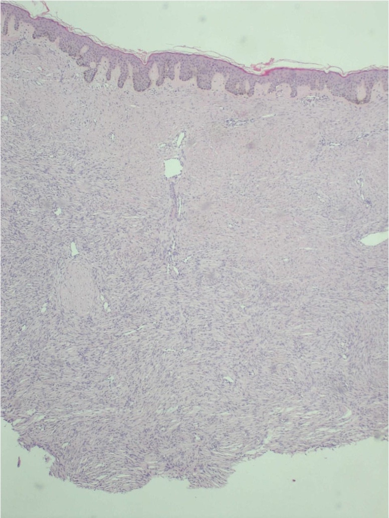
Abstract

Objetives: Dermatofibrosarcoma protuberans is a sarcomatous neoplasm with low incidence. It exhibits slow growth; however, it has the capacity to involve deep tissues. Clinically, it can mimic benign lesions, presenting as thickened or atrophic plaques that slowly transform into protruding lesions. The treatment of choice is surgical excision, with Mohs micrographic surgery standing out for its advantages.

Clinical case: A 40-year-old male patient with dermatofibrosarcoma protuberans on the back underwent excision using the Mohs technique, with no tumor recurrence after two years of follow-up. Conclusion: It is important to highlight that the Mohs technique offers advantages over conventional methods, allowing for tissue optimization, ensuring clear margins, and achieving a low recurrence rate

Conclusion: It is important to highlight that the Mohs technique offers advantages over conventional methods, allowing for tissue optimization, ensuring clear margins, and achieving a low recurrence rate

Abstract Image

Abstract Image

Abstract Image

【莫氏手术治疗隆突性皮肤纤维肉瘤】
目的:隆突性皮肤纤维肉瘤是一种低发病率的肉瘤性肿瘤。它生长缓慢;然而,它有能力涉及深层组织。临床上,它可以模拟良性病变,表现为增厚或萎缩斑块,慢慢转变为突出的病变。治疗的选择是手术切除,莫氏显微手术以其优势而突出。临床病例:男性,40岁,背部皮肤纤维肉瘤隆突,采用Mohs技术切除,随访2年无复发。结论:Mohs技术与传统方法相比,具有组织优化、边缘清晰、复发率低的优势。结论:Mohs技术与传统方法相比,具有组织优化、边缘清晰、复发率低的优势
本文章由计算机程序翻译,如有差异,请以英文原文为准。
求助全文
约1分钟内获得全文 求助全文
来源期刊
CiteScore
1.60
自引率
0.00%
发文量
60
审稿时长
20 weeks
期刊介绍: The Journal of the Faculty of Medical Sciences is a scientific publication of the Secretariat of Science and Technology of the Faculty of Medical Sciences of the National University of Cordoba. Its objective is to disseminate and promote research work related to Medical and Biological Sciences. It publishes scientific works of national and international professionals on different topics related to health sciences from the field of medicine, nursing, kinesiology, diagnostic imaging, phonoaudiology, nutrition, public health, chemical sciences, dentistry and related.
×
引用
GB/T 7714-2015
复制
MLA
复制
APA
复制
导出至
BibTeX EndNote RefMan NoteFirst NoteExpress
×
提示
您的信息不完整,为了账户安全,请先补充。
现在去补充
×
提示
您因"违规操作"
具体请查看互助需知
我知道了
×
提示
确定
请完成安全验证×
copy
已复制链接
快去分享给好友吧!
我知道了
右上角分享
点击右上角分享
0
联系我们:info@booksci.cn Book学术提供免费学术资源搜索服务,方便国内外学者检索中英文文献。致力于提供最便捷和优质的服务体验。 Copyright © 2023 布克学术 All rights reserved.
京ICP备2023020795号-1
ghs 京公网安备 11010802042870号
Book学术文献互助
Book学术文献互助群
群 号:604180095
Book学术官方微信