[Hypoglycemia in a patient with pleural solitary fibrous tumor and response to pasireotide]

Q3 Medicine
Elizabeth Karen Videla, Pablo Ferrada, Jorge Miller, Eduardo Torres, Analía Álvarez, Javier Herrera, Bertha De la Torre
{"title":"[Hypoglycemia in a patient with pleural solitary fibrous tumor and response to pasireotide]","authors":"Elizabeth Karen Videla, Pablo Ferrada, Jorge Miller, Eduardo Torres, Analía Álvarez, Javier Herrera, Bertha De la Torre","doi":"10.31053/1853.0605.v82.n1.44424","DOIUrl":null,"url":null,"abstract":"<p><strong>Introduction: </strong>hypoglycemia is a common and multifactorial clinical condition. A rare cause is that associated with non-islet cell tumors.</p><p><strong>Objective: </strong>to report our experience on the management of severe hypoglycemia in a patient with solitary pleural fibrous tumor and his response to pasireotide.</p><p><strong>Clinical case: </strong>63-year-old patient with a history of glomerulonephritis, hypothyroidism, arterial hypertension and a one-year diagnosis of solitary pleural fibrous tumor. Referred to endocrinology due to hypoglycemia for 6 months. Acromegaloid features were confirmed. Laboratory: Hct 36%, Hb 11.9 g/dl, GB 3570/mm3 (Eo 2%, Ba2%, Bac 4%, NS 36%, Li 30%, Mo 14% metamyelocytes 1%, myelocytes 11%), platelets 120,000 /mm3, ESR 10 mm, CRP 9 mg/L, TP 114%, TTPK 25 sec, blood glucose 57 mg/dL, renal function, hepatogram and lipid profile without particularities. IGF-1 84 ng/ml (VR 57 - 188), C-peptide 0.10 ng/ml (VR 1.10 - 4.40), somatotropin 0.98 ng/ml (VR up to 2.5) and basal insulin 0.4 uU/ml (VR 2.6 - 24) . IFG-2 measurement is not available in Argentina. A chest CT showed a pleural tumor measuring 13 cm. Without possibilities of surgical resection and without response to chemotherapy. Treatment was started with infusion of 25% dextrose, dexamethasone, pasireotide with good response. The patient died due to an infectious complication.</p><p><strong>Conclusion: </strong>pasireotide could be a therapeutic alternative in cases that are not candidates for surgery or refractory to other medical treatment.</p>","PeriodicalId":38814,"journal":{"name":"Revista de la Facultad de Ciencias Medicas de Cordoba","volume":"82 1","pages":"127-139"},"PeriodicalIF":0.0000,"publicationDate":"2025-03-31","publicationTypes":"Journal Article","fieldsOfStudy":null,"isOpenAccess":false,"openAccessPdf":"https://www.ncbi.nlm.nih.gov/pmc/articles/PMC12057705/pdf/","citationCount":"0","resultStr":null,"platform":"Semanticscholar","paperid":null,"PeriodicalName":"Revista de la Facultad de Ciencias Medicas de Cordoba","FirstCategoryId":"1085","ListUrlMain":"https://doi.org/10.31053/1853.0605.v82.n1.44424","RegionNum":0,"RegionCategory":null,"ArticlePicture":[],"TitleCN":null,"AbstractTextCN":null,"PMCID":null,"EPubDate":"","PubModel":"","JCR":"Q3","JCRName":"Medicine","Score":null,"Total":0}
引用次数: 0

Abstract

Introduction: hypoglycemia is a common and multifactorial clinical condition. A rare cause is that associated with non-islet cell tumors.

Objective: to report our experience on the management of severe hypoglycemia in a patient with solitary pleural fibrous tumor and his response to pasireotide.

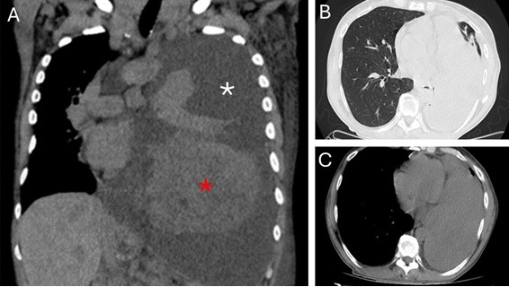
Clinical case: 63-year-old patient with a history of glomerulonephritis, hypothyroidism, arterial hypertension and a one-year diagnosis of solitary pleural fibrous tumor. Referred to endocrinology due to hypoglycemia for 6 months. Acromegaloid features were confirmed. Laboratory: Hct 36%, Hb 11.9 g/dl, GB 3570/mm3 (Eo 2%, Ba2%, Bac 4%, NS 36%, Li 30%, Mo 14% metamyelocytes 1%, myelocytes 11%), platelets 120,000 /mm3, ESR 10 mm, CRP 9 mg/L, TP 114%, TTPK 25 sec, blood glucose 57 mg/dL, renal function, hepatogram and lipid profile without particularities. IGF-1 84 ng/ml (VR 57 - 188), C-peptide 0.10 ng/ml (VR 1.10 - 4.40), somatotropin 0.98 ng/ml (VR up to 2.5) and basal insulin 0.4 uU/ml (VR 2.6 - 24) . IFG-2 measurement is not available in Argentina. A chest CT showed a pleural tumor measuring 13 cm. Without possibilities of surgical resection and without response to chemotherapy. Treatment was started with infusion of 25% dextrose, dexamethasone, pasireotide with good response. The patient died due to an infectious complication.

Conclusion: pasireotide could be a therapeutic alternative in cases that are not candidates for surgery or refractory to other medical treatment.

Abstract Image

Abstract Image

Abstract Image

[一例胸膜孤立性纤维性肿瘤患者的低血糖及对pasireotide的反应]
低血糖是一种常见的多因素临床疾病。一个罕见的原因是与非胰岛细胞肿瘤有关。目的:报告一例单纯性胸膜纤维性肿瘤患者严重低血糖的治疗经验及其对pasireotide的反应。临床病例:63岁,有肾小球肾炎、甲状腺功能减退、动脉高血压病史,诊断为单纯性胸膜纤维性肿瘤一年。因低血糖转诊内分泌科6个月。肢端巨状体特征得到证实。实验室:Hct 36%, Hb 11.9 g/dl, GB 3570/mm3 (Eo 2%, Ba2%, Bac 4%, NS 36%, Li 30%, Mo 14%, metamyelocytes 1%, myelocytes 11%),血小板12万/mm3, ESR 10 mm, CRP 9 mg/L, TP 114%, TTPK 25秒,血糖57 mg/ dl,肾功能、肝图、血脂无特异性。IGF-1 84 ng/ml (VR值57 - 188),c肽0.10 ng/ml (VR值1.10 - 4.40),生长激素0.98 ng/ml (VR值高达2.5),基础胰岛素0.4 uU/ml (VR值2.6 - 24)。阿根廷无法测量IFG-2。胸部CT显示胸膜肿瘤,长13厘米。没有手术切除的可能,对化疗也没有反应。治疗开始时输注25%葡萄糖、地塞米松、帕西肽,疗效良好。病人死于感染并发症。结论:pasireotide可以作为不需要手术或其他药物治疗难治性病例的治疗选择。
本文章由计算机程序翻译,如有差异,请以英文原文为准。
求助全文
约1分钟内获得全文 求助全文
来源期刊
CiteScore
1.60
自引率
0.00%
发文量
60
审稿时长
20 weeks
期刊介绍: The Journal of the Faculty of Medical Sciences is a scientific publication of the Secretariat of Science and Technology of the Faculty of Medical Sciences of the National University of Cordoba. Its objective is to disseminate and promote research work related to Medical and Biological Sciences. It publishes scientific works of national and international professionals on different topics related to health sciences from the field of medicine, nursing, kinesiology, diagnostic imaging, phonoaudiology, nutrition, public health, chemical sciences, dentistry and related.
×
引用
GB/T 7714-2015
复制
MLA
复制
APA
复制
导出至
BibTeX EndNote RefMan NoteFirst NoteExpress
×
提示
您的信息不完整,为了账户安全,请先补充。
现在去补充
×
提示
您因"违规操作"
具体请查看互助需知
我知道了
×
提示
确定
请完成安全验证×
copy
已复制链接
快去分享给好友吧!
我知道了
右上角分享
点击右上角分享
0
联系我们:info@booksci.cn Book学术提供免费学术资源搜索服务,方便国内外学者检索中英文文献。致力于提供最便捷和优质的服务体验。 Copyright © 2023 布克学术 All rights reserved.
京ICP备2023020795号-1
ghs 京公网安备 11010802042870号
Book学术文献互助
Book学术文献互助群
群 号:604180095
Book学术官方微信