Coronary Artery Spasm as a Contributor to Heart Failure: Lessons from Three Cases.

IF 1.1 4区 医学 Q3 MEDICINE, GENERAL & INTERNAL
Internal Medicine Pub Date : 2025-10-01 Epub Date: 2025-03-29 DOI:10.2169/internalmedicine.5057-24
Ayami Naito, Takumi Toya, Akane Kawai, Kota Mizutani, Kazuhiko Kuinose, Yuji Nagatomo, Takeshi Adachi
{"title":"Coronary Artery Spasm as a Contributor to Heart Failure: Lessons from Three Cases.","authors":"Ayami Naito, Takumi Toya, Akane Kawai, Kota Mizutani, Kazuhiko Kuinose, Yuji Nagatomo, Takeshi Adachi","doi":"10.2169/internalmedicine.5057-24","DOIUrl":null,"url":null,"abstract":"<p><p>Coronary artery spasm (CAS) is an underrecognized cause of heart failure, even in the absence of obstructive coronary artery disease. We report three cases of heart failure in which CAS was identified as the critical etiology. All patients exhibited symptoms of heart failure with nonobstructive coronary arteries, and CAS provocation testing confirmed epicardial spasm. In two cases, cardiac magnetic resonance imaging revealed ischemic patterns consistent with CAS-related injuries. Calcium channel blockers effectively stabilize the signs and symptoms related to heart failure. This series highlights CAS as a contributor to heart failure progression and emphasizes the importance of provocation testing and early tailored therapy for improving outcomes.</p>","PeriodicalId":13719,"journal":{"name":"Internal Medicine","volume":" ","pages":"2881-2886"},"PeriodicalIF":1.1000,"publicationDate":"2025-10-01","publicationTypes":"Journal Article","fieldsOfStudy":null,"isOpenAccess":false,"openAccessPdf":"https://www.ncbi.nlm.nih.gov/pmc/articles/PMC12549033/pdf/","citationCount":"0","resultStr":null,"platform":"Semanticscholar","paperid":null,"PeriodicalName":"Internal Medicine","FirstCategoryId":"3","ListUrlMain":"https://doi.org/10.2169/internalmedicine.5057-24","RegionNum":4,"RegionCategory":"医学","ArticlePicture":[],"TitleCN":null,"AbstractTextCN":null,"PMCID":null,"EPubDate":"2025/3/29 0:00:00","PubModel":"Epub","JCR":"Q3","JCRName":"MEDICINE, GENERAL & INTERNAL","Score":null,"Total":0}
引用次数: 0

Abstract

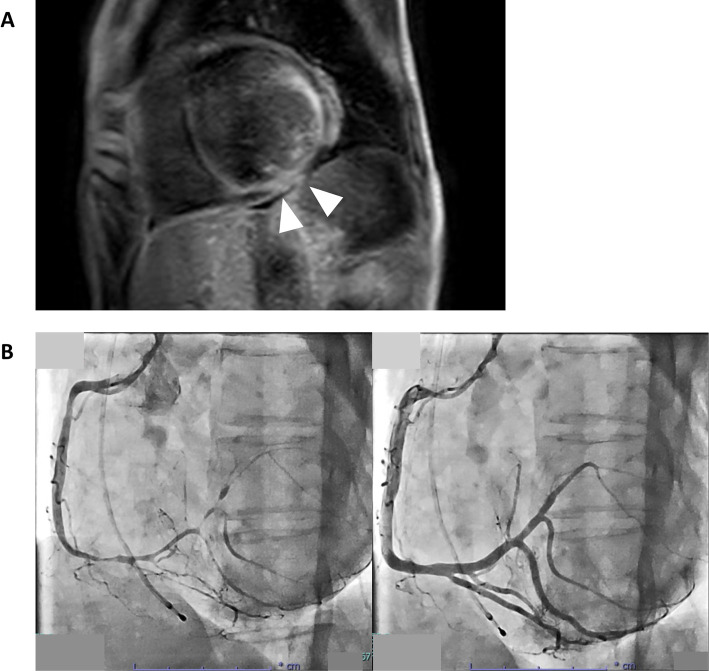
Coronary artery spasm (CAS) is an underrecognized cause of heart failure, even in the absence of obstructive coronary artery disease. We report three cases of heart failure in which CAS was identified as the critical etiology. All patients exhibited symptoms of heart failure with nonobstructive coronary arteries, and CAS provocation testing confirmed epicardial spasm. In two cases, cardiac magnetic resonance imaging revealed ischemic patterns consistent with CAS-related injuries. Calcium channel blockers effectively stabilize the signs and symptoms related to heart failure. This series highlights CAS as a contributor to heart failure progression and emphasizes the importance of provocation testing and early tailored therapy for improving outcomes.

Abstract Image

Abstract Image

Abstract Image

冠状动脉痉挛是心力衰竭的诱因:三个病例的经验教训。
冠状动脉痉挛(CAS)是一种未被充分认识的心力衰竭原因,即使在没有阻塞性冠状动脉疾病的情况下。我们报告三例心力衰竭,其中CAS被确定为关键病因。所有患者均表现出非阻塞性冠状动脉心力衰竭症状,CAS激发试验证实心外膜痉挛。在两个病例中,心脏磁共振成像显示与cas相关损伤一致的缺血模式。钙通道阻滞剂有效地稳定与心力衰竭相关的体征和症状。该系列强调了CAS作为心力衰竭进展的一个因素,并强调了激发试验和早期定制治疗对改善结果的重要性。
本文章由计算机程序翻译,如有差异,请以英文原文为准。
求助全文
约1分钟内获得全文 求助全文
来源期刊
Internal Medicine
Internal Medicine 医学-医学:内科
CiteScore
1.90
自引率
8.30%
发文量
0
审稿时长
2.2 months
期刊介绍: Internal Medicine is an open-access online only journal published monthly by the Japanese Society of Internal Medicine. Articles must be prepared in accordance with "The Uniform Requirements for Manuscripts Submitted to Biomedical Journals (see Annals of Internal Medicine 108: 258-265, 1988), must be contributed solely to the Internal Medicine, and become the property of the Japanese Society of Internal Medicine. Statements contained therein are the responsibility of the author(s). The Society reserves copyright and renewal on all published material and such material may not be reproduced in any form without the written permission of the Society.
×
引用
GB/T 7714-2015
复制
MLA
复制
APA
复制
导出至
BibTeX EndNote RefMan NoteFirst NoteExpress
×
提示
您的信息不完整,为了账户安全,请先补充。
现在去补充
×
提示
您因"违规操作"
具体请查看互助需知
我知道了
×
提示
确定
请完成安全验证×
copy
已复制链接
快去分享给好友吧!
我知道了
右上角分享
点击右上角分享
0
联系我们:info@booksci.cn Book学术提供免费学术资源搜索服务,方便国内外学者检索中英文文献。致力于提供最便捷和优质的服务体验。 Copyright © 2023 布克学术 All rights reserved.
京ICP备2023020795号-1
ghs 京公网安备 11010802042870号
Book学术文献互助
Book学术文献互助群
群 号:604180095
Book学术官方微信