Diagnostic Sensitivity of the Revised Venous System in Brain Death in Children.

IF 2.2 4区 医学 Q2 RADIOLOGY, NUCLEAR MEDICINE & MEDICAL IMAGING
Hasibe Gökçe Çinar, Berna Ucan, Hasan Bulut, Şükriye Yılmaz, Sultan Göncü, Emrah Gün, Pınar Özbudak, Canan Üstün, Çiğdem Üner
{"title":"Diagnostic Sensitivity of the Revised Venous System in Brain Death in Children.","authors":"Hasibe Gökçe Çinar, Berna Ucan, Hasan Bulut, Şükriye Yılmaz, Sultan Göncü, Emrah Gün, Pınar Özbudak, Canan Üstün, Çiğdem Üner","doi":"10.3390/tomography11030030","DOIUrl":null,"url":null,"abstract":"<p><strong>Background/objectives: </strong>While ancillary tests for brain death diagnosis are not routinely recommended in guidelines, they may be necessary in specific clinical scenarios. Computed tomography angiography (CTA) is particularly advantageous in pediatric patients due to its noninvasive nature, accessibility, and rapid provision of anatomical information. This study aims to assess the diagnostic sensitivity of a revised venous system (ICV-SPV) utilizing a 4-point scoring system in children clinically diagnosed with brain death.</p><p><strong>Materials and methods: </strong>A total of 43 pediatric patients clinically diagnosed with brain death who underwent CTA were retrospectively analyzed. Imaging was performed using a standardized brain death protocol. Three distinct 4-point scoring systems (A20-V60, A60-V60, ICV-SPV) were utilized to assess vessel opacification in different imaging phases. To evaluate age-dependent sensitivity, patients were categorized into three age groups: 26 days-1 year, 2-6 years, and 6-18 years. The sensitivity of each 4-point scoring system in diagnosing brain death was calculated for all age groups.</p><p><strong>Results: </strong>The revised venous scoring system (ICV-SPV) demonstrated the highest overall sensitivity in confirming brain death across all age groups, significantly outperforming the reference 4-point scoring systems. Furthermore, the ICV-SPV system exhibited the greatest sensitivity in patients with cranial defects.</p><p><strong>Conclusions: </strong>The revised 4-point venous CTA scoring system, which relies on the absence of ICV and SPV opacification, is a reliable tool for confirming cerebral circulatory arrest in pediatric patients with clinical brain death.</p>","PeriodicalId":51330,"journal":{"name":"Tomography","volume":"11 3","pages":""},"PeriodicalIF":2.2000,"publicationDate":"2025-03-08","publicationTypes":"Journal Article","fieldsOfStudy":null,"isOpenAccess":false,"openAccessPdf":"https://www.ncbi.nlm.nih.gov/pmc/articles/PMC11945848/pdf/","citationCount":"0","resultStr":null,"platform":"Semanticscholar","paperid":null,"PeriodicalName":"Tomography","FirstCategoryId":"3","ListUrlMain":"https://doi.org/10.3390/tomography11030030","RegionNum":4,"RegionCategory":"医学","ArticlePicture":[],"TitleCN":null,"AbstractTextCN":null,"PMCID":null,"EPubDate":"","PubModel":"","JCR":"Q2","JCRName":"RADIOLOGY, NUCLEAR MEDICINE & MEDICAL IMAGING","Score":null,"Total":0}
引用次数: 0

Abstract

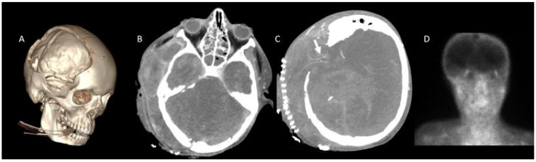
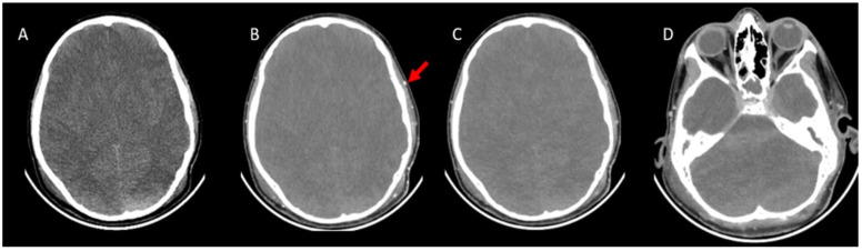
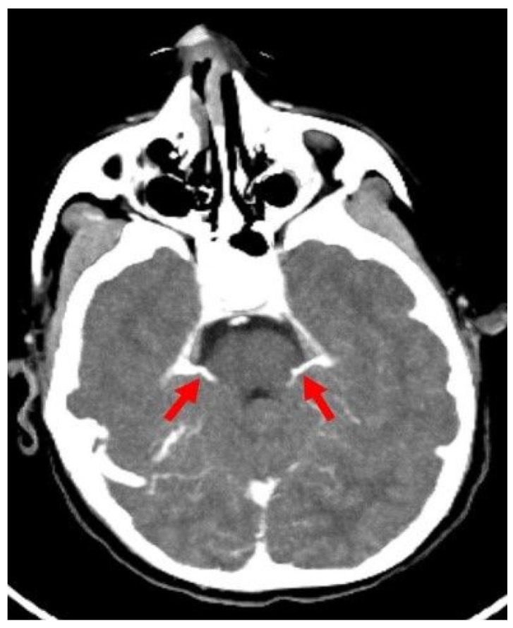
Background/objectives: While ancillary tests for brain death diagnosis are not routinely recommended in guidelines, they may be necessary in specific clinical scenarios. Computed tomography angiography (CTA) is particularly advantageous in pediatric patients due to its noninvasive nature, accessibility, and rapid provision of anatomical information. This study aims to assess the diagnostic sensitivity of a revised venous system (ICV-SPV) utilizing a 4-point scoring system in children clinically diagnosed with brain death.

Materials and methods: A total of 43 pediatric patients clinically diagnosed with brain death who underwent CTA were retrospectively analyzed. Imaging was performed using a standardized brain death protocol. Three distinct 4-point scoring systems (A20-V60, A60-V60, ICV-SPV) were utilized to assess vessel opacification in different imaging phases. To evaluate age-dependent sensitivity, patients were categorized into three age groups: 26 days-1 year, 2-6 years, and 6-18 years. The sensitivity of each 4-point scoring system in diagnosing brain death was calculated for all age groups.

Results: The revised venous scoring system (ICV-SPV) demonstrated the highest overall sensitivity in confirming brain death across all age groups, significantly outperforming the reference 4-point scoring systems. Furthermore, the ICV-SPV system exhibited the greatest sensitivity in patients with cranial defects.

Conclusions: The revised 4-point venous CTA scoring system, which relies on the absence of ICV and SPV opacification, is a reliable tool for confirming cerebral circulatory arrest in pediatric patients with clinical brain death.

Abstract Image

Abstract Image

Abstract Image

修正静脉系统对儿童脑死亡的诊断敏感性。
背景/目的:虽然指南中没有常规推荐脑死亡诊断的辅助检查,但在特定的临床情况下可能是必要的。计算机断层血管造影(CTA)因其无创性、可及性和快速提供解剖信息而在儿科患者中特别有利。本研究旨在利用4分评分系统评估经修订的静脉系统(ICV-SPV)对临床诊断为脑死亡的儿童的诊断敏感性。材料与方法:回顾性分析43例临床诊断为脑死亡并行CTA的儿童患者。采用标准化脑死亡方案进行影像学检查。采用三种不同的4点评分系统(A20-V60, A60-V60, ICV-SPV)评估不同成像阶段的血管混浊情况。为了评估年龄依赖性敏感性,将患者分为三个年龄组:26天-1岁,2-6岁和6-18岁。计算各年龄组各4分评分系统诊断脑死亡的敏感性。结果:修订后的静脉评分系统(ICV-SPV)在所有年龄组中证实脑死亡的总体敏感性最高,显著优于参考的4分评分系统。此外,ICV-SPV系统在颅骨缺损患者中表现出最大的敏感性。结论:修订后的4点静脉CTA评分系统依赖于无ICV和SPV混浊,是确认临床脑死亡儿童患者脑循环骤停的可靠工具。
本文章由计算机程序翻译,如有差异,请以英文原文为准。
求助全文
约1分钟内获得全文 求助全文
来源期刊
Tomography
Tomography Medicine-Radiology, Nuclear Medicine and Imaging
CiteScore
2.70
自引率
10.50%
发文量
222
期刊介绍: TomographyTM publishes basic (technical and pre-clinical) and clinical scientific articles which involve the advancement of imaging technologies. Tomography encompasses studies that use single or multiple imaging modalities including for example CT, US, PET, SPECT, MR and hyperpolarization technologies, as well as optical modalities (i.e. bioluminescence, photoacoustic, endomicroscopy, fiber optic imaging and optical computed tomography) in basic sciences, engineering, preclinical and clinical medicine. Tomography also welcomes studies involving exploration and refinement of contrast mechanisms and image-derived metrics within and across modalities toward the development of novel imaging probes for image-based feedback and intervention. The use of imaging in biology and medicine provides unparalleled opportunities to noninvasively interrogate tissues to obtain real-time dynamic and quantitative information required for diagnosis and response to interventions and to follow evolving pathological conditions. As multi-modal studies and the complexities of imaging technologies themselves are ever increasing to provide advanced information to scientists and clinicians. Tomography provides a unique publication venue allowing investigators the opportunity to more precisely communicate integrated findings related to the diverse and heterogeneous features associated with underlying anatomical, physiological, functional, metabolic and molecular genetic activities of normal and diseased tissue. Thus Tomography publishes peer-reviewed articles which involve the broad use of imaging of any tissue and disease type including both preclinical and clinical investigations. In addition, hardware/software along with chemical and molecular probe advances are welcome as they are deemed to significantly contribute towards the long-term goal of improving the overall impact of imaging on scientific and clinical discovery.
×
引用
GB/T 7714-2015
复制
MLA
复制
APA
复制
导出至
BibTeX EndNote RefMan NoteFirst NoteExpress
×
提示
您的信息不完整,为了账户安全,请先补充。
现在去补充
×
提示
您因"违规操作"
具体请查看互助需知
我知道了
×
提示
确定
请完成安全验证×
copy
已复制链接
快去分享给好友吧!
我知道了
右上角分享
点击右上角分享
0
联系我们:info@booksci.cn Book学术提供免费学术资源搜索服务,方便国内外学者检索中英文文献。致力于提供最便捷和优质的服务体验。 Copyright © 2023 布克学术 All rights reserved.
京ICP备2023020795号-1
ghs 京公网安备 11010802042870号
Book学术文献互助
Book学术文献互助群
群 号:604180095
Book学术官方微信