Histological study of the effect of different hydration times of bone allograft and xenograft particles on the rate of bone formation in critical size defects in the rat calvarium.

IF 4 3区 医学 Q1 DENTISTRY, ORAL SURGERY & MEDICINE
Nazila Lashkarizadeh, Mohammad Mohammadi, Zahra Mohyadin, Mahsa Kalantari, Sina Kakooei, Ali Karamoozian
{"title":"Histological study of the effect of different hydration times of bone allograft and xenograft particles on the rate of bone formation in critical size defects in the rat calvarium.","authors":"Nazila Lashkarizadeh, Mohammad Mohammadi, Zahra Mohyadin, Mahsa Kalantari, Sina Kakooei, Ali Karamoozian","doi":"10.1186/s40729-025-00610-0","DOIUrl":null,"url":null,"abstract":"<p><strong>Purpose: </strong>The aim of this study was to investigate the effect of different bone graft hydration times on bone regeneration.</p><p><strong>Methods: </strong>Five-mm defects were created on either side of the sagittal plane in the calvaria of 40 rats. In each rat, the right and left defects were filled with allograft (Cenobone<sup>®</sup>) and xenograft (Cerabone<sup>®</sup>) particles, respectively, based on the grouping that was randomly assigned in the study (no hydration of bone graft, 2-minute saline hydration, 10-minute saline hydration, 30-minute saline hydration, and 2-minute blood hydration). Histological and histomorphometrical analyses were performed eight weeks after surgery. The amount of new bone formation, remaining graft, and connective tissue were analyzed using the general linear model (GLM) and Bonferroni test.</p><p><strong>Results: </strong>There was no significant difference regarding the mean of new bone, remaining graft, and connective tissue between the xenograft samples in different hydration groups. In the allograft groups, the mean new bone formation of the no-hydration and 2-minute saline-hydrated groups was significantly lower than 30-minute saline-hydrated and blood hydrated groups (P = 0.03 and P = 0.03, respectively). Regarding the variable of the remaining graft particles, the results were almost similar.</p><p><strong>Conclusions: </strong>The results of this study showed that, the method of bone graft hydration before it is used in treating bone lesions affects osteogenesis. Especially in the case of allograft, rehydration before usage at least for 10 min is recommended.</p>","PeriodicalId":14076,"journal":{"name":"International Journal of Implant Dentistry","volume":"11 1","pages":"23"},"PeriodicalIF":4.0000,"publicationDate":"2025-03-26","publicationTypes":"Journal Article","fieldsOfStudy":null,"isOpenAccess":false,"openAccessPdf":"https://www.ncbi.nlm.nih.gov/pmc/articles/PMC11947333/pdf/","citationCount":"0","resultStr":null,"platform":"Semanticscholar","paperid":null,"PeriodicalName":"International Journal of Implant Dentistry","FirstCategoryId":"3","ListUrlMain":"https://doi.org/10.1186/s40729-025-00610-0","RegionNum":3,"RegionCategory":"医学","ArticlePicture":[],"TitleCN":null,"AbstractTextCN":null,"PMCID":null,"EPubDate":"","PubModel":"","JCR":"Q1","JCRName":"DENTISTRY, ORAL SURGERY & MEDICINE","Score":null,"Total":0}
引用次数: 0

Abstract

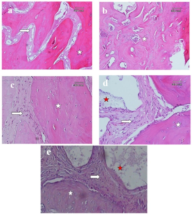
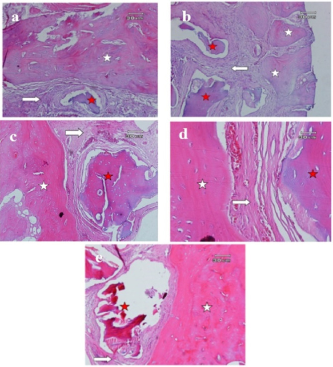
Purpose: The aim of this study was to investigate the effect of different bone graft hydration times on bone regeneration.

Methods: Five-mm defects were created on either side of the sagittal plane in the calvaria of 40 rats. In each rat, the right and left defects were filled with allograft (Cenobone®) and xenograft (Cerabone®) particles, respectively, based on the grouping that was randomly assigned in the study (no hydration of bone graft, 2-minute saline hydration, 10-minute saline hydration, 30-minute saline hydration, and 2-minute blood hydration). Histological and histomorphometrical analyses were performed eight weeks after surgery. The amount of new bone formation, remaining graft, and connective tissue were analyzed using the general linear model (GLM) and Bonferroni test.

Results: There was no significant difference regarding the mean of new bone, remaining graft, and connective tissue between the xenograft samples in different hydration groups. In the allograft groups, the mean new bone formation of the no-hydration and 2-minute saline-hydrated groups was significantly lower than 30-minute saline-hydrated and blood hydrated groups (P = 0.03 and P = 0.03, respectively). Regarding the variable of the remaining graft particles, the results were almost similar.

Conclusions: The results of this study showed that, the method of bone graft hydration before it is used in treating bone lesions affects osteogenesis. Especially in the case of allograft, rehydration before usage at least for 10 min is recommended.

Abstract Image

Abstract Image

Abstract Image

同种异体和异种骨颗粒不同水化时间对大鼠颅骨临界尺寸缺损成骨率影响的组织学研究。
目的:探讨不同植骨水化时间对骨再生的影响。方法:在40只大鼠颅骨矢状面两侧各造5mm缺损。在每只大鼠中,根据研究中随机分配的分组(无骨移植水化,2分钟生理盐水水化,10分钟生理盐水水化,30分钟生理盐水水化,2分钟血液水化),分别用同种异体移植物(Cenobone®)和异种移植物(Cerabone®)颗粒填充右侧和左侧缺损。术后8周进行组织学和组织形态学分析。采用一般线性模型(general linear model, GLM)和Bonferroni检验分析新骨形成量、移植物剩余量和结缔组织。结果:不同水化组异种移植标本的新骨、剩余移植物和结缔组织的平均值无显著差异。同种异体骨移植组中,不水化组和2分钟盐水水化组的平均新骨形成显著低于30分钟盐水水化组和血水化组(P = 0.03和P = 0.03)。对于剩余接枝颗粒的变量,结果几乎相似。结论:本研究结果表明,骨移植前水化处理对骨病变的成骨有影响。特别是在同种异体移植的情况下,建议在使用前补液至少10分钟。
本文章由计算机程序翻译,如有差异,请以英文原文为准。
求助全文
约1分钟内获得全文 求助全文
来源期刊
International Journal of Implant Dentistry
International Journal of Implant Dentistry DENTISTRY, ORAL SURGERY & MEDICINE-
CiteScore
1.70
自引率
7.40%
发文量
53
审稿时长
13 weeks
期刊介绍: The International Journal of Implant Dentistry is a peer-reviewed open access journal published under the SpringerOpen brand. The journal is dedicated to promoting the exchange and discussion of all research areas relevant to implant dentistry in the form of systematic literature or invited reviews, prospective and retrospective clinical studies, clinical case reports, basic laboratory and animal research, and articles on material research and engineering.
×
引用
GB/T 7714-2015
复制
MLA
复制
APA
复制
导出至
BibTeX EndNote RefMan NoteFirst NoteExpress
×
提示
您的信息不完整,为了账户安全,请先补充。
现在去补充
×
提示
您因"违规操作"
具体请查看互助需知
我知道了
×
提示
确定
请完成安全验证×
copy
已复制链接
快去分享给好友吧!
我知道了
右上角分享
点击右上角分享
0
联系我们:info@booksci.cn Book学术提供免费学术资源搜索服务,方便国内外学者检索中英文文献。致力于提供最便捷和优质的服务体验。 Copyright © 2023 布克学术 All rights reserved.
京ICP备2023020795号-1
ghs 京公网安备 11010802042870号
Book学术文献互助
Book学术文献互助群
群 号:604180095
Book学术官方微信