Primary Peritoneal Clear Cell Carcinoma Presenting with Nonspecific Gastrointestinal Symptoms in a 39-Year-Old Woman: A Case Report.

IF 0.6 Q4 GASTROENTEROLOGY & HEPATOLOGY
Case Reports in Gastroenterology Pub Date : 2025-03-25 eCollection Date: 2025-01-01 DOI:10.1159/000544883
Ramya Vasireddy, Thilini Delungahawatta, Greeshma Gaddipati, Jeffrey Iding, Bryan Szeto, Christopher J Haas
{"title":"Primary Peritoneal Clear Cell Carcinoma Presenting with Nonspecific Gastrointestinal Symptoms in a 39-Year-Old Woman: A Case Report.","authors":"Ramya Vasireddy, Thilini Delungahawatta, Greeshma Gaddipati, Jeffrey Iding, Bryan Szeto, Christopher J Haas","doi":"10.1159/000544883","DOIUrl":null,"url":null,"abstract":"<p><strong>Introduction: </strong>Primary peritoneal clear cell carcinoma (PPCCC) is a rare abdominal tumor, affecting 7 out of every million people. Its vague presenting signs and symptoms often lead to delayed diagnosis and poor prognosis. We present a case involving a young woman with anemia and abdominal discomfort who on further investigation had a 26-cm abdominal tumor identified to be PPCCC. Multimodal therapy with tumor debulking and chemotherapy was pursued. Given the aggressive nature of PPCCC, any clinical suspicion of peritoneal carcinoma should prompt thorough diagnostic evaluation.</p><p><strong>Case presentation: </strong>A 39-year-old woman with menorrhagia and peptic ulcer disease presented with abdominal discomfort of 2 days duration. She initially had headaches managed with ibuprofen. Following this, she had generalized abdominal pain with bloating that worsened with food and had no relief with use of stool softeners. She had associated dizziness with palpitations, chest pressure, and exertional dyspnea. In the emergency department, the patient was mildly tachycardic but otherwise stable. On exam, she had a distended abdomen with generalized tenderness and normoactive bowel sounds. Labs showed normocytic anemia with a hemoglobin of 5.2 mg/dL. Electrocardiogram and abdominal and chest X-rays were normal. A non-contrast computed tomography of the abdomen and pelvis showed a fibroid uterus and posterior displacement of multiple bowel loops by a large septate cystic mass (13.5 × 26.0 × 26.7 cm) occupying the entire abdominal cavity. Elevated CA 125 and CA 19-9 were also noted. She underwent exploratory laparotomy with mass resection, partial omentectomy, left colectomy (given extension into transverse colon), appendectomy, and total abdominal hysterectomy with bilateral salpingectomy. Biopsy and immunohistochemical staining (positive for PAX-8, ER, P53, P16, Napsin A and negative for PR and WT-1) confirmed mass as stage IIIB PPCCC. There was no evidence of malignancy in other tissue samples. The patient was discharged with a plan for outpatient chemotherapy and genetic counseling.</p><p><strong>Conclusion: </strong>Given the rarity of PPCCC, our case highlights how increased clinical vigilance and prompt multidisciplinary efforts are essential for an accurate diagnosis, especially in younger patients to not delay management. Currently, there are no established management guidelines; however, initial treatment with surgical debulking followed by chemotherapy is often practiced.</p>","PeriodicalId":9614,"journal":{"name":"Case Reports in Gastroenterology","volume":"19 1","pages":"198-203"},"PeriodicalIF":0.6000,"publicationDate":"2025-03-25","publicationTypes":"Journal Article","fieldsOfStudy":null,"isOpenAccess":false,"openAccessPdf":"https://www.ncbi.nlm.nih.gov/pmc/articles/PMC11936432/pdf/","citationCount":"0","resultStr":null,"platform":"Semanticscholar","paperid":null,"PeriodicalName":"Case Reports in Gastroenterology","FirstCategoryId":"1085","ListUrlMain":"https://doi.org/10.1159/000544883","RegionNum":0,"RegionCategory":null,"ArticlePicture":[],"TitleCN":null,"AbstractTextCN":null,"PMCID":null,"EPubDate":"2025/1/1 0:00:00","PubModel":"eCollection","JCR":"Q4","JCRName":"GASTROENTEROLOGY & HEPATOLOGY","Score":null,"Total":0}
引用次数: 0

Abstract

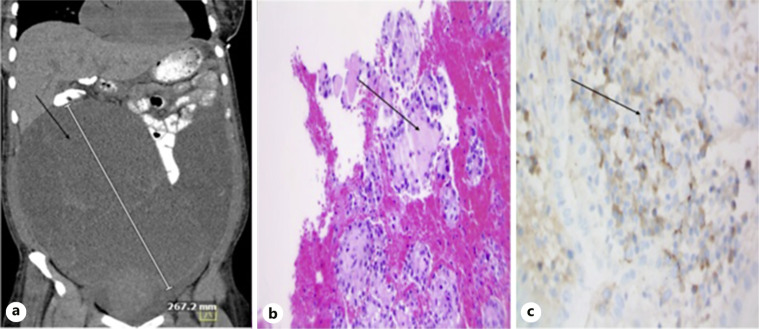
Introduction: Primary peritoneal clear cell carcinoma (PPCCC) is a rare abdominal tumor, affecting 7 out of every million people. Its vague presenting signs and symptoms often lead to delayed diagnosis and poor prognosis. We present a case involving a young woman with anemia and abdominal discomfort who on further investigation had a 26-cm abdominal tumor identified to be PPCCC. Multimodal therapy with tumor debulking and chemotherapy was pursued. Given the aggressive nature of PPCCC, any clinical suspicion of peritoneal carcinoma should prompt thorough diagnostic evaluation.

Case presentation: A 39-year-old woman with menorrhagia and peptic ulcer disease presented with abdominal discomfort of 2 days duration. She initially had headaches managed with ibuprofen. Following this, she had generalized abdominal pain with bloating that worsened with food and had no relief with use of stool softeners. She had associated dizziness with palpitations, chest pressure, and exertional dyspnea. In the emergency department, the patient was mildly tachycardic but otherwise stable. On exam, she had a distended abdomen with generalized tenderness and normoactive bowel sounds. Labs showed normocytic anemia with a hemoglobin of 5.2 mg/dL. Electrocardiogram and abdominal and chest X-rays were normal. A non-contrast computed tomography of the abdomen and pelvis showed a fibroid uterus and posterior displacement of multiple bowel loops by a large septate cystic mass (13.5 × 26.0 × 26.7 cm) occupying the entire abdominal cavity. Elevated CA 125 and CA 19-9 were also noted. She underwent exploratory laparotomy with mass resection, partial omentectomy, left colectomy (given extension into transverse colon), appendectomy, and total abdominal hysterectomy with bilateral salpingectomy. Biopsy and immunohistochemical staining (positive for PAX-8, ER, P53, P16, Napsin A and negative for PR and WT-1) confirmed mass as stage IIIB PPCCC. There was no evidence of malignancy in other tissue samples. The patient was discharged with a plan for outpatient chemotherapy and genetic counseling.

Conclusion: Given the rarity of PPCCC, our case highlights how increased clinical vigilance and prompt multidisciplinary efforts are essential for an accurate diagnosis, especially in younger patients to not delay management. Currently, there are no established management guidelines; however, initial treatment with surgical debulking followed by chemotherapy is often practiced.

Abstract Image

39岁女性原发性腹膜透明细胞癌伴非特异性胃肠道症状1例
简介:原发性腹膜透明细胞癌(PPCCC)是一种罕见的腹部肿瘤:原发性腹膜透明细胞癌(PPCCC)是一种罕见的腹部肿瘤,每一百万人中就有七人患病。其症状和体征模糊,往往导致诊断延误和预后不良。我们报告了一例年轻女性贫血和腹部不适的病例,经进一步检查发现其腹部肿瘤长达 26 厘米,确诊为 PPCCC。患者接受了肿瘤剥离和化疗等多模式治疗。鉴于 PPCCC 的侵袭性,任何腹膜癌的临床怀疑都应促使进行彻底的诊断评估:一名患有月经过多和消化性溃疡病的 39 岁女性因腹部不适就诊,病程 2 天。她最初有头痛,服用布洛芬后得到缓解。随后,她出现全身性腹痛并伴有腹胀,进食后腹痛加剧,使用软便剂也无法缓解。她还伴有头晕、心悸、胸部压迫感和劳力性呼吸困难。在急诊科,患者有轻微的心动过速,但病情稳定。经检查,她腹部胀大,全身压痛,肠鸣音正常。实验室检查显示她患有正常细胞性贫血,血红蛋白为 5.2 毫克/分升。心电图、腹部和胸部X光检查均正常。腹部和盆腔的非对比计算机断层扫描显示,子宫肌瘤和多个肠襻向后移位,一个巨大的隔膜囊性肿块(13.5 × 26.0 × 26.7 厘米)占据了整个腹腔。同时还发现 CA 125 和 CA 19-9 升高。她接受了探查性开腹手术,包括肿块切除术、部分卵巢切除术、左结肠切除术(考虑到延伸至横结肠)、阑尾切除术、全腹子宫切除术和双侧输卵管切除术。活检和免疫组化染色(PAX-8、ER、P53、P16、Napsin A 阳性,PR 和 WT-1 阴性)证实肿块为 PPCCC IIIB 期。其他组织样本中没有恶性证据。患者出院后计划接受门诊化疗和遗传咨询:鉴于 PPCCC 的罕见性,我们的病例凸显了提高临床警惕性和及时的多学科协作对于准确诊断的重要性,尤其是对于年轻患者,以免延误治疗。目前,还没有既定的治疗指南,但通常采用手术切除后化疗的初始治疗方法。
本文章由计算机程序翻译,如有差异,请以英文原文为准。
求助全文
约1分钟内获得全文 求助全文
来源期刊
Case Reports in Gastroenterology
Case Reports in Gastroenterology Medicine-Gastroenterology
CiteScore
1.10
自引率
0.00%
发文量
99
审稿时长
7 weeks
期刊介绍:
×
引用
GB/T 7714-2015
复制
MLA
复制
APA
复制
导出至
BibTeX EndNote RefMan NoteFirst NoteExpress
×
提示
您的信息不完整,为了账户安全,请先补充。
现在去补充
×
提示
您因"违规操作"
具体请查看互助需知
我知道了
×
提示
确定
请完成安全验证×
copy
已复制链接
快去分享给好友吧!
我知道了
右上角分享
点击右上角分享
0
联系我们:info@booksci.cn Book学术提供免费学术资源搜索服务,方便国内外学者检索中英文文献。致力于提供最便捷和优质的服务体验。 Copyright © 2023 布克学术 All rights reserved.
京ICP备2023020795号-1
ghs 京公网安备 11010802042870号
Book学术文献互助
Book学术文献互助群
群 号:604180095
Book学术官方微信