Right Bundle Branch Block After Transvenous Lead Extraction: An Unreported Complication With Potentially Severe Outcomes.

IF 1.3 4区 医学 Q3 CARDIAC & CARDIOVASCULAR SYSTEMS
Pace-Pacing and Clinical Electrophysiology Pub Date : 2025-05-01 Epub Date: 2025-03-25 DOI:10.1111/pace.15182
Karanjeet Chauhan, Alistair Royse, Colin Royse, Joseph Morton, Gareth Wynn
{"title":"Right Bundle Branch Block After Transvenous Lead Extraction: An Unreported Complication With Potentially Severe Outcomes.","authors":"Karanjeet Chauhan, Alistair Royse, Colin Royse, Joseph Morton, Gareth Wynn","doi":"10.1111/pace.15182","DOIUrl":null,"url":null,"abstract":"<p><strong>Introduction: </strong>Right bundle branch block (RBBB) following cardiac device extraction has not been previously reported but may have catastrophic consequences.</p><p><strong>Methods and results: </strong>We present two cases of young male patients who developed RBBB following the extraction of single chamber TV ICD systems where the coil was adherent close to the superior tricuspid valve annulus. Both patients had a subcutaneous ICD (SICD) implanted but suffered an inappropriate shock due to T-wave oversensing, requiring very early SICD removal for one patient.</p><p><strong>Conclusion: </strong>The development of RBBB following the extraction of a TV ICD is a previously unreported complication and may cause significant sensing problems if an SICD is implanted subsequently. Placement of the ICD lead tip in the right ventricular outflow tract or high on the intraventricular septum may predispose to this complication.</p>","PeriodicalId":54653,"journal":{"name":"Pace-Pacing and Clinical Electrophysiology","volume":" ","pages":"508-512"},"PeriodicalIF":1.3000,"publicationDate":"2025-05-01","publicationTypes":"Journal Article","fieldsOfStudy":null,"isOpenAccess":false,"openAccessPdf":"https://www.ncbi.nlm.nih.gov/pmc/articles/PMC12063196/pdf/","citationCount":"0","resultStr":null,"platform":"Semanticscholar","paperid":null,"PeriodicalName":"Pace-Pacing and Clinical Electrophysiology","FirstCategoryId":"5","ListUrlMain":"https://doi.org/10.1111/pace.15182","RegionNum":4,"RegionCategory":"医学","ArticlePicture":[],"TitleCN":null,"AbstractTextCN":null,"PMCID":null,"EPubDate":"2025/3/25 0:00:00","PubModel":"Epub","JCR":"Q3","JCRName":"CARDIAC & CARDIOVASCULAR SYSTEMS","Score":null,"Total":0}
引用次数: 0

Abstract

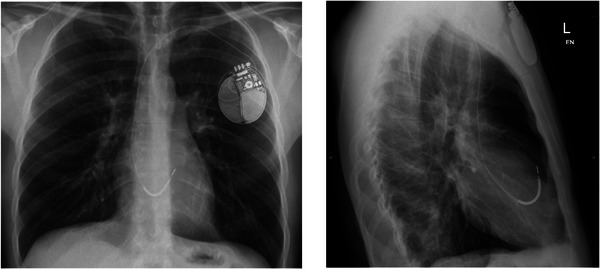
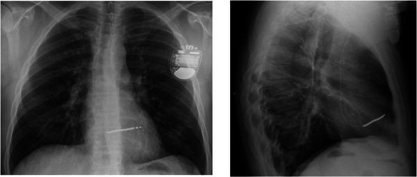
Introduction: Right bundle branch block (RBBB) following cardiac device extraction has not been previously reported but may have catastrophic consequences.

Methods and results: We present two cases of young male patients who developed RBBB following the extraction of single chamber TV ICD systems where the coil was adherent close to the superior tricuspid valve annulus. Both patients had a subcutaneous ICD (SICD) implanted but suffered an inappropriate shock due to T-wave oversensing, requiring very early SICD removal for one patient.

Conclusion: The development of RBBB following the extraction of a TV ICD is a previously unreported complication and may cause significant sensing problems if an SICD is implanted subsequently. Placement of the ICD lead tip in the right ventricular outflow tract or high on the intraventricular septum may predispose to this complication.

Abstract Image

Abstract Image

Abstract Image

经静脉铅提取后右束支阻滞:一种未报道的并发症和潜在的严重后果。
导言:心脏装置拔出后出现右束支传导阻滞(RBBB)的病例以前从未报道过,但可能会造成灾难性后果:我们介绍了两例年轻男性患者,他们在拔出单腔电视 ICD 系统后出现 RBBB,线圈紧贴三尖瓣上瓣环。这两名患者都植入了皮下 ICD(SICD),但由于 T 波过感而遭受了不适当的电击,其中一名患者需要尽早取出 SICD:结论:拔出电视 ICD 后出现 RBBB 是一种以前未报道过的并发症,如果随后植入 SICD,可能会导致严重的感应问题。将 ICD 导联尖端置于右心室流出道或室间隔高位可能会导致这种并发症。
本文章由计算机程序翻译,如有差异,请以英文原文为准。
求助全文
约1分钟内获得全文 求助全文
来源期刊
Pace-Pacing and Clinical Electrophysiology
Pace-Pacing and Clinical Electrophysiology 医学-工程:生物医学
CiteScore
2.70
自引率
5.60%
发文量
209
审稿时长
2-4 weeks
期刊介绍: Pacing and Clinical Electrophysiology (PACE) is the foremost peer-reviewed journal in the field of pacing and implantable cardioversion defibrillation, publishing over 50% of all English language articles in its field, featuring original, review, and didactic papers, and case reports related to daily practice. Articles also include editorials, book reviews, Musings on humane topics relevant to medical practice, electrophysiology (EP) rounds, device rounds, and information concerning the quality of devices used in the practice of the specialty.
×
引用
GB/T 7714-2015
复制
MLA
复制
APA
复制
导出至
BibTeX EndNote RefMan NoteFirst NoteExpress
×
提示
您的信息不完整,为了账户安全,请先补充。
现在去补充
×
提示
您因"违规操作"
具体请查看互助需知
我知道了
×
提示
确定
请完成安全验证×
copy
已复制链接
快去分享给好友吧!
我知道了
右上角分享
点击右上角分享
0
联系我们:info@booksci.cn Book学术提供免费学术资源搜索服务,方便国内外学者检索中英文文献。致力于提供最便捷和优质的服务体验。 Copyright © 2023 布克学术 All rights reserved.
京ICP备2023020795号-1
ghs 京公网安备 11010802042870号
Book学术文献互助
Book学术文献互助群
群 号:604180095
Book学术官方微信