An uncommon cause of stroke: Common carotid artery web.

Igor Pagiola, Henrique Castro Rocha de Aquino Santos, Mario Caitano, Diane Moutinho, Paula Zago, Leonardo Abaurre, Pedro Pianca, Derval Pimentel, Rubia Sfalsini, José Antonio Fiorot, Leandro Barbosa
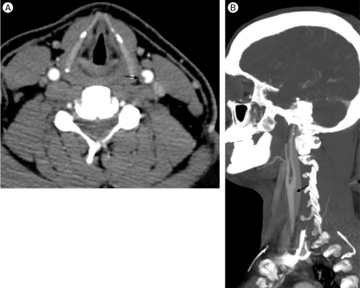
{"title":"An uncommon cause of stroke: Common carotid artery web.","authors":"Igor Pagiola, Henrique Castro Rocha de Aquino Santos, Mario Caitano, Diane Moutinho, Paula Zago, Leonardo Abaurre, Pedro Pianca, Derval Pimentel, Rubia Sfalsini, José Antonio Fiorot, Leandro Barbosa","doi":"10.7461/jcen.2025.E2023.01.001","DOIUrl":null,"url":null,"abstract":"<p><p>The carotid web (CW), an intimal variant of fibromuscular dysplasia (FMD), is recognized as a cause of stroke and with a high-risk of stroke recurrence. Other names are carotid-bulb atypical FMD, carotid (bulb) diaphragms and it is described like a shelf of tissue from the posterior wall of the carotid bulb. Here we present a case of a young patient with recurrent stroke, with no other risk factors that was diagnosed with a common CW.</p>","PeriodicalId":94072,"journal":{"name":"Journal of cerebrovascular and endovascular neurosurgery","volume":" ","pages":"159-164"},"PeriodicalIF":0.0000,"publicationDate":"2025-06-01","publicationTypes":"Journal Article","fieldsOfStudy":null,"isOpenAccess":false,"openAccessPdf":"https://www.ncbi.nlm.nih.gov/pmc/articles/PMC12240613/pdf/","citationCount":"0","resultStr":null,"platform":"Semanticscholar","paperid":null,"PeriodicalName":"Journal of cerebrovascular and endovascular neurosurgery","FirstCategoryId":"1085","ListUrlMain":"https://doi.org/10.7461/jcen.2025.E2023.01.001","RegionNum":0,"RegionCategory":null,"ArticlePicture":[],"TitleCN":null,"AbstractTextCN":null,"PMCID":null,"EPubDate":"2025/3/24 0:00:00","PubModel":"Epub","JCR":"","JCRName":"","Score":null,"Total":0}
引用次数: 0

Abstract

The carotid web (CW), an intimal variant of fibromuscular dysplasia (FMD), is recognized as a cause of stroke and with a high-risk of stroke recurrence. Other names are carotid-bulb atypical FMD, carotid (bulb) diaphragms and it is described like a shelf of tissue from the posterior wall of the carotid bulb. Here we present a case of a young patient with recurrent stroke, with no other risk factors that was diagnosed with a common CW.

Abstract Image

Abstract Image

Abstract Image

一个不常见的中风原因:颈总动脉网。
颈动脉网(CW)是纤维肌性发育不良(FMD)的内膜变异型,被认为是中风的病因之一,而且具有中风复发的高风险。其他名称包括颈动脉球部非典型 FMD、颈动脉(球部)膈,被描述为颈动脉球部后壁的组织架。我们在此介绍一例年轻的复发性中风患者,该患者无其他危险因素,被诊断为常见的 CW。
本文章由计算机程序翻译,如有差异,请以英文原文为准。
求助全文
约1分钟内获得全文 求助全文
来源期刊
CiteScore
1.10
自引率
0.00%
发文量
0
×
引用
GB/T 7714-2015
复制
MLA
复制
APA
复制
导出至
BibTeX EndNote RefMan NoteFirst NoteExpress
×
提示
您的信息不完整,为了账户安全,请先补充。
现在去补充
×
提示
您因"违规操作"
具体请查看互助需知
我知道了
×
提示
确定
请完成安全验证×
copy
已复制链接
快去分享给好友吧!
我知道了
右上角分享
点击右上角分享
0
联系我们:info@booksci.cn Book学术提供免费学术资源搜索服务,方便国内外学者检索中英文文献。致力于提供最便捷和优质的服务体验。 Copyright © 2023 布克学术 All rights reserved.
京ICP备2023020795号-1
ghs 京公网安备 11010802042870号
Book学术文献互助
Book学术文献互助群
群 号:604180095
Book学术官方微信