CDSE-UNet: Enhancing COVID-19 CT Image Segmentation With Canny Edge Detection and Dual-Path SENet Feature Fusion.

IF 1.3 Q2 ENGINEERING, BIOMEDICAL
International Journal of Biomedical Imaging Pub Date : 2025-03-16 eCollection Date: 2025-01-01 DOI:10.1155/ijbi/9175473
Jiao Ding, Jie Chang, Renrui Han, Li Yang
{"title":"CDSE-UNet: Enhancing COVID-19 CT Image Segmentation With Canny Edge Detection and Dual-Path SENet Feature Fusion.","authors":"Jiao Ding, Jie Chang, Renrui Han, Li Yang","doi":"10.1155/ijbi/9175473","DOIUrl":null,"url":null,"abstract":"<p><p>Accurate segmentation of COVID-19 CT images is crucial for reducing the severity and mortality rates associated with COVID-19 infections. In response to blurred boundaries and high variability characteristic of lesion areas in COVID-19 CT images, we introduce CDSE-UNet: a novel UNet-based segmentation model that integrates Canny operator edge detection and a Dual-Path SENet Feature Fusion Block (DSBlock). This model enhances the standard UNet architecture by employing the Canny operator for edge detection in sample images, paralleling this with a similar network structure for semantic feature extraction. A key innovation is the DSBlock, applied across corresponding network layers to effectively combine features from both image paths. Moreover, we have developed a Multiscale Convolution Block (MSCovBlock), replacing the standard convolution in UNet, to adapt to the varied lesion sizes and shapes. This addition not only aids in accurately classifying lesion edge pixels but also significantly improves channel differentiation and expands the capacity of the model. Our evaluations on public datasets demonstrate CDSE-UNet's superior performance over other leading models. Specifically, CDSE-UNet achieved an accuracy of 0.9929, a recall of 0.9604, a DSC of 0.9063, and an IoU of 0.8286, outperforming UNet, Attention-UNet, Trans-Unet, Swin-Unet, and Dense-UNet in these metrics.</p>","PeriodicalId":47063,"journal":{"name":"International Journal of Biomedical Imaging","volume":"2025 ","pages":"9175473"},"PeriodicalIF":1.3000,"publicationDate":"2025-03-16","publicationTypes":"Journal Article","fieldsOfStudy":null,"isOpenAccess":false,"openAccessPdf":"https://www.ncbi.nlm.nih.gov/pmc/articles/PMC11930385/pdf/","citationCount":"0","resultStr":null,"platform":"Semanticscholar","paperid":null,"PeriodicalName":"International Journal of Biomedical Imaging","FirstCategoryId":"1085","ListUrlMain":"https://doi.org/10.1155/ijbi/9175473","RegionNum":0,"RegionCategory":null,"ArticlePicture":[],"TitleCN":null,"AbstractTextCN":null,"PMCID":null,"EPubDate":"2025/1/1 0:00:00","PubModel":"eCollection","JCR":"Q2","JCRName":"ENGINEERING, BIOMEDICAL","Score":null,"Total":0}
引用次数: 0

Abstract

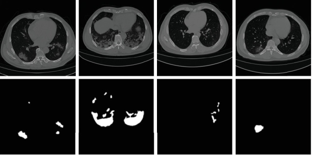
Accurate segmentation of COVID-19 CT images is crucial for reducing the severity and mortality rates associated with COVID-19 infections. In response to blurred boundaries and high variability characteristic of lesion areas in COVID-19 CT images, we introduce CDSE-UNet: a novel UNet-based segmentation model that integrates Canny operator edge detection and a Dual-Path SENet Feature Fusion Block (DSBlock). This model enhances the standard UNet architecture by employing the Canny operator for edge detection in sample images, paralleling this with a similar network structure for semantic feature extraction. A key innovation is the DSBlock, applied across corresponding network layers to effectively combine features from both image paths. Moreover, we have developed a Multiscale Convolution Block (MSCovBlock), replacing the standard convolution in UNet, to adapt to the varied lesion sizes and shapes. This addition not only aids in accurately classifying lesion edge pixels but also significantly improves channel differentiation and expands the capacity of the model. Our evaluations on public datasets demonstrate CDSE-UNet's superior performance over other leading models. Specifically, CDSE-UNet achieved an accuracy of 0.9929, a recall of 0.9604, a DSC of 0.9063, and an IoU of 0.8286, outperforming UNet, Attention-UNet, Trans-Unet, Swin-Unet, and Dense-UNet in these metrics.

Abstract Image

Abstract Image

Abstract Image

CDSE-UNet:利用 Canny 边缘检测和双路径 SENet 特征融合增强 COVID-19 CT 图像分割。
准确分割COVID-19 CT图像对于降低与COVID-19感染相关的严重程度和死亡率至关重要。针对COVID-19 CT图像中病灶区域边界模糊和高变异性的特点,我们引入了CDSE-UNet:一种新的基于unet的分割模型,该模型集成了Canny算子边缘检测和双路径SENet特征融合块(DSBlock)。该模型通过在样本图像中使用Canny算子进行边缘检测来增强标准UNet架构,并将其与类似的网络结构并行用于语义特征提取。一个关键的创新是DSBlock,应用于相应的网络层,有效地结合来自两个图像路径的特征。此外,我们还开发了一个多尺度卷积块(MSCovBlock),以取代UNet中的标准卷积,以适应不同的病变大小和形状。这不仅有助于病灶边缘像素的准确分类,而且显著改善了通道区分,扩大了模型的容量。我们对公共数据集的评估表明,CDSE-UNet的性能优于其他领先的模型。具体来说,CDSE-UNet的准确率为0.9929,召回率为0.9604,DSC为0.9063,IoU为0.8286,在这些指标上优于UNet, Attention-UNet, Trans-Unet, swan -UNet和Dense-UNet。
本文章由计算机程序翻译,如有差异,请以英文原文为准。
求助全文
约1分钟内获得全文 求助全文
来源期刊
CiteScore
12.00
自引率
0.00%
发文量
11
审稿时长
20 weeks
期刊介绍: The International Journal of Biomedical Imaging is managed by a board of editors comprising internationally renowned active researchers. The journal is freely accessible online and also offered for purchase in print format. It employs a web-based review system to ensure swift turnaround times while maintaining high standards. In addition to regular issues, special issues are organized by guest editors. The subject areas covered include (but are not limited to): Digital radiography and tomosynthesis X-ray computed tomography (CT) Magnetic resonance imaging (MRI) Single photon emission computed tomography (SPECT) Positron emission tomography (PET) Ultrasound imaging Diffuse optical tomography, coherence, fluorescence, bioluminescence tomography, impedance tomography Neutron imaging for biomedical applications Magnetic and optical spectroscopy, and optical biopsy Optical, electron, scanning tunneling/atomic force microscopy Small animal imaging Functional, cellular, and molecular imaging Imaging assays for screening and molecular analysis Microarray image analysis and bioinformatics Emerging biomedical imaging techniques Imaging modality fusion Biomedical imaging instrumentation Biomedical image processing, pattern recognition, and analysis Biomedical image visualization, compression, transmission, and storage Imaging and modeling related to systems biology and systems biomedicine Applied mathematics, applied physics, and chemistry related to biomedical imaging Grid-enabling technology for biomedical imaging and informatics
×
引用
GB/T 7714-2015
复制
MLA
复制
APA
复制
导出至
BibTeX EndNote RefMan NoteFirst NoteExpress
×
提示
您的信息不完整,为了账户安全,请先补充。
现在去补充
×
提示
您因"违规操作"
具体请查看互助需知
我知道了
×
提示
确定
请完成安全验证×
copy
已复制链接
快去分享给好友吧!
我知道了
右上角分享
点击右上角分享
0
联系我们:info@booksci.cn Book学术提供免费学术资源搜索服务,方便国内外学者检索中英文文献。致力于提供最便捷和优质的服务体验。 Copyright © 2023 布克学术 All rights reserved.
京ICP备2023020795号-1
ghs 京公网安备 11010802042870号
Book学术文献互助
Book学术文献互助群
群 号:604180095
Book学术官方微信