The conundrum of post-traumatic corneal rupture in a patient with Ehlers-Danlos syndrome.

Q3 Medicine
Oman Journal of Ophthalmology Pub Date : 2025-02-25 eCollection Date: 2025-01-01 DOI:10.4103/ojo.ojo_153_24
Parul Jain, Isha Gupta, Avani Hariani, Gahan Reddy
{"title":"The conundrum of post-traumatic corneal rupture in a patient with Ehlers-Danlos syndrome.","authors":"Parul Jain, Isha Gupta, Avani Hariani, Gahan Reddy","doi":"10.4103/ojo.ojo_153_24","DOIUrl":null,"url":null,"abstract":"<p><p>To describe the management of post-traumatic Descemet's membrane detachment and intraoperative corneal rupture in a known case of Ehlers-Danlos Syndrome (EDS). A 7-year-old child, a known case of EDS, presented with Descemet's membrane tear in the right eye for which intracameral sulfur hexafluoride (SF<sub>6</sub>) and descemetopexy were done. Intraoperative spontaneous rupture of the cornea was noted during descemetopexy which was managed using cyanoacrylate glue and bandage contact lens. We successfully used cyanoacrylate tissue adhesive glue for sealing of corneal rupture suggesting that it can be considered a treatment option for such cases where there is a lack of tissue strength for suturing.</p>","PeriodicalId":19461,"journal":{"name":"Oman Journal of Ophthalmology","volume":"18 1","pages":"58-60"},"PeriodicalIF":0.0000,"publicationDate":"2025-02-25","publicationTypes":"Journal Article","fieldsOfStudy":null,"isOpenAccess":false,"openAccessPdf":"https://www.ncbi.nlm.nih.gov/pmc/articles/PMC11925382/pdf/","citationCount":"0","resultStr":null,"platform":"Semanticscholar","paperid":null,"PeriodicalName":"Oman Journal of Ophthalmology","FirstCategoryId":"1085","ListUrlMain":"https://doi.org/10.4103/ojo.ojo_153_24","RegionNum":0,"RegionCategory":null,"ArticlePicture":[],"TitleCN":null,"AbstractTextCN":null,"PMCID":null,"EPubDate":"2025/1/1 0:00:00","PubModel":"eCollection","JCR":"Q3","JCRName":"Medicine","Score":null,"Total":0}
引用次数: 0

Abstract

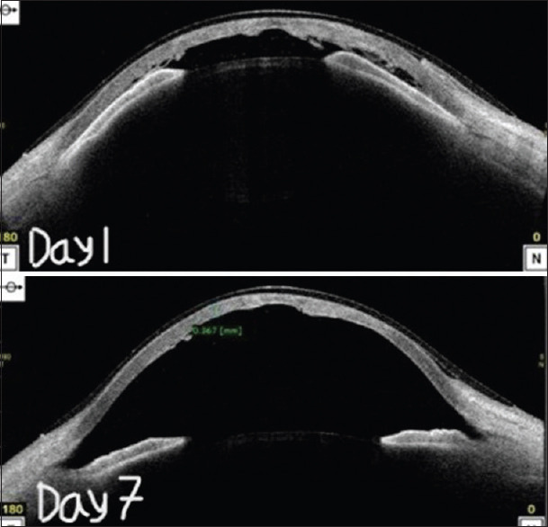
To describe the management of post-traumatic Descemet's membrane detachment and intraoperative corneal rupture in a known case of Ehlers-Danlos Syndrome (EDS). A 7-year-old child, a known case of EDS, presented with Descemet's membrane tear in the right eye for which intracameral sulfur hexafluoride (SF6) and descemetopexy were done. Intraoperative spontaneous rupture of the cornea was noted during descemetopexy which was managed using cyanoacrylate glue and bandage contact lens. We successfully used cyanoacrylate tissue adhesive glue for sealing of corneal rupture suggesting that it can be considered a treatment option for such cases where there is a lack of tissue strength for suturing.

Abstract Image

Abstract Image

Abstract Image

Ehlers-Danlos综合征患者创伤后角膜破裂的难题。
描述一例已知的ehers - danlos综合征(EDS)的创伤后Descemet膜脱离和术中角膜破裂的处理。一名7岁儿童,已知EDS病例,右眼Descemet膜撕裂,镜框内六氟化硫(SF6)和Descemet固定术。术中发现角膜自发破裂,采用氰基丙烯酸酯胶和绷带隐形眼镜。我们成功地使用了氰基丙烯酸酯组织胶来缝合角膜破裂,这表明它可以被认为是这种情况下缺乏缝合组织强度的治疗选择。
本文章由计算机程序翻译,如有差异,请以英文原文为准。
求助全文
约1分钟内获得全文 求助全文
来源期刊
Oman Journal of Ophthalmology
Oman Journal of Ophthalmology Medicine-Ophthalmology
CiteScore
0.50
自引率
0.00%
发文量
68
审稿时长
50 weeks
期刊介绍: To provide a platform for scientific expression of the Oman Ophthalmic Society and the international Ophthalmic community and to provide opportunities for free exchange of ideas and information. To serve as a valuable resource for ophthalmologists, eye-care providers including optometrists, orthoptists, other health care professionals and research workers in all aspects of the field of visual science.
×
引用
GB/T 7714-2015
复制
MLA
复制
APA
复制
导出至
BibTeX EndNote RefMan NoteFirst NoteExpress
×
提示
您的信息不完整,为了账户安全,请先补充。
现在去补充
×
提示
您因"违规操作"
具体请查看互助需知
我知道了
×
提示
确定
请完成安全验证×
copy
已复制链接
快去分享给好友吧!
我知道了
右上角分享
点击右上角分享
0
联系我们:info@booksci.cn Book学术提供免费学术资源搜索服务,方便国内外学者检索中英文文献。致力于提供最便捷和优质的服务体验。 Copyright © 2023 布克学术 All rights reserved.
京ICP备2023020795号-1
ghs 京公网安备 11010802042870号
Book学术文献互助
Book学术文献互助群
群 号:604180095
Book学术官方微信