Efficacy and outcome safety of capsular tension segment combined with capsular tension ring in children with ectopia lentis.

Q3 Medicine
Oman Journal of Ophthalmology Pub Date : 2025-02-25 eCollection Date: 2025-01-01 DOI:10.4103/ojo.ojo_15_24
Julie Dewi Barliana, Rio Rhendy, Anthea Casey, Rayhan Farandy
{"title":"Efficacy and outcome safety of capsular tension segment combined with capsular tension ring in children with ectopia lentis.","authors":"Julie Dewi Barliana, Rio Rhendy, Anthea Casey, Rayhan Farandy","doi":"10.4103/ojo.ojo_15_24","DOIUrl":null,"url":null,"abstract":"<p><p>This study aimed to report the efficacy and outcome safety of capsular tension segment (CTS) combined with capsular tension ring (CTR) in ectopia lentis in children. This retrospective case series included patients with nontraumatic ectopia lentis under 18 years old who underwent intraocular lens (IOL) implantation with CTS and CTR combined between 2022 and 2023. The primary outcomes were best-corrected visual acuity (BCVA), IOL centration, and postoperative complications. Four patients, aged 6, 9, 10, and 13, had bilateral subluxated lenses and underwent the surgery. Ectopia lentis with a suspicion of Marfan syndrome was established as the diagnosis. Improvement of the BCVA and IOL centration was seen in all the patients. Posterior capsular opacification occurred in one patient, who was then treated with Nd: YAG capsulotomy. IOL implantation with a combination of CTS and CTR showed a promising visual outcome in children with ectopia lentis.</p>","PeriodicalId":19461,"journal":{"name":"Oman Journal of Ophthalmology","volume":"18 1","pages":"44-47"},"PeriodicalIF":0.0000,"publicationDate":"2025-02-25","publicationTypes":"Journal Article","fieldsOfStudy":null,"isOpenAccess":false,"openAccessPdf":"https://www.ncbi.nlm.nih.gov/pmc/articles/PMC11925372/pdf/","citationCount":"0","resultStr":null,"platform":"Semanticscholar","paperid":null,"PeriodicalName":"Oman Journal of Ophthalmology","FirstCategoryId":"1085","ListUrlMain":"https://doi.org/10.4103/ojo.ojo_15_24","RegionNum":0,"RegionCategory":null,"ArticlePicture":[],"TitleCN":null,"AbstractTextCN":null,"PMCID":null,"EPubDate":"2025/1/1 0:00:00","PubModel":"eCollection","JCR":"Q3","JCRName":"Medicine","Score":null,"Total":0}
引用次数: 0

Abstract

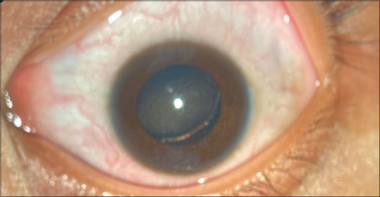
This study aimed to report the efficacy and outcome safety of capsular tension segment (CTS) combined with capsular tension ring (CTR) in ectopia lentis in children. This retrospective case series included patients with nontraumatic ectopia lentis under 18 years old who underwent intraocular lens (IOL) implantation with CTS and CTR combined between 2022 and 2023. The primary outcomes were best-corrected visual acuity (BCVA), IOL centration, and postoperative complications. Four patients, aged 6, 9, 10, and 13, had bilateral subluxated lenses and underwent the surgery. Ectopia lentis with a suspicion of Marfan syndrome was established as the diagnosis. Improvement of the BCVA and IOL centration was seen in all the patients. Posterior capsular opacification occurred in one patient, who was then treated with Nd: YAG capsulotomy. IOL implantation with a combination of CTS and CTR showed a promising visual outcome in children with ectopia lentis.

Abstract Image

荚膜张力段联合荚膜张力环治疗儿童晶状体异位的疗效及结局安全性。
本研究旨在报道囊膜张力段(CTS)联合囊膜张力环(CTR)治疗儿童异位晶状体的疗效和结局安全性。本回顾性病例系列包括在2022年至2023年间接受CTS和CTR联合人工晶状体植入术的18岁以下非外伤性晶状体异位患者。主要结果为最佳矫正视力(BCVA)、人工晶状体浓度和术后并发症。4名患者,年龄分别为6岁、9岁、10岁和13岁,患有双侧半脱位的晶状体并接受了手术。以疑似马凡氏综合征的晶状体异位作为诊断。所有患者BCVA和IOL浓度均有改善。后囊膜混浊发生在一个病人,然后治疗Nd: YAG囊切开术。CTS联合CTR人工晶状体植入术治疗儿童晶状体异位有良好的视力效果。
本文章由计算机程序翻译,如有差异,请以英文原文为准。
求助全文
约1分钟内获得全文 求助全文
来源期刊
Oman Journal of Ophthalmology
Oman Journal of Ophthalmology Medicine-Ophthalmology
CiteScore
0.50
自引率
0.00%
发文量
68
审稿时长
50 weeks
期刊介绍: To provide a platform for scientific expression of the Oman Ophthalmic Society and the international Ophthalmic community and to provide opportunities for free exchange of ideas and information. To serve as a valuable resource for ophthalmologists, eye-care providers including optometrists, orthoptists, other health care professionals and research workers in all aspects of the field of visual science.
×
引用
GB/T 7714-2015
复制
MLA
复制
APA
复制
导出至
BibTeX EndNote RefMan NoteFirst NoteExpress
×
提示
您的信息不完整,为了账户安全,请先补充。
现在去补充
×
提示
您因"违规操作"
具体请查看互助需知
我知道了
×
提示
确定
请完成安全验证×
copy
已复制链接
快去分享给好友吧!
我知道了
右上角分享
点击右上角分享
0
联系我们:info@booksci.cn Book学术提供免费学术资源搜索服务,方便国内外学者检索中英文文献。致力于提供最便捷和优质的服务体验。 Copyright © 2023 布克学术 All rights reserved.
京ICP备2023020795号-1
ghs 京公网安备 11010802042870号
Book学术文献互助
Book学术文献互助群
群 号:604180095
Book学术官方微信