A Distinctive Case of Hemophagocytic Lymphohistiocytosis in Chronic Lymphocytic Leukemia.

IF 0.8 Q3 MEDICINE, GENERAL & INTERNAL
Jayalekshmi Jayakumar, Manasa Ginjupalli, Fiqe Khan, Meher Ayyazuddin, Muhammad Ashar Ali, Giovannie Isaac Coss, Asmat Ullah
{"title":"A Distinctive Case of Hemophagocytic Lymphohistiocytosis in Chronic Lymphocytic Leukemia.","authors":"Jayalekshmi Jayakumar, Manasa Ginjupalli, Fiqe Khan, Meher Ayyazuddin, Muhammad Ashar Ali, Giovannie Isaac Coss, Asmat Ullah","doi":"10.1177/23247096251326465","DOIUrl":null,"url":null,"abstract":"<p><p>Chronic lymphocytic leukemia (CLL) is an indolent malignancy characterized by the accumulation of dysfunctional B-cell lymphocytes. Complications such as hemophagocytic lymphohistiocytosis (HLH) can arise, particularly during disease progression. HLH has been increasingly reported as a complication of CLL, often triggered by factors such as superimposed infections, chemotherapy, Richter transformation, or disease progression. This case explores HLH as an initial presentation of undiagnosed CLL without any identifiable trigger. We present the case of a 65-year-old woman who presented with a high-grade fever, sore throat, and pancytopenia. Despite broad-spectrum antibiotic treatment, her condition deteriorated. Investigations revealed elevated ferritin levels, low natural killer cell activity, and other findings consistent with HLH. Flow cytometry and bone marrow biopsy ultimately confirmed the diagnosis of CLL. HLH is characterized by the hyperactivation of immune cells and is known to be triggered by a variety of factors, including infections and malignancies. In this case, the absence of identifiable triggers raises important questions about the underlying pathophysiology linking HLH with CLL. While previous reports have highlighted HLH as a complication of CLL, typically secondary to infection or treatment, this case is particularly noteworthy due to the unexplained onset of HLH in the absence of such triggers. This case underscores the need for heightened awareness of HLH as a potential manifestation of underlying malignancy, especially in non-septic patients presenting with unexplained fever and pancytopenia. In addition, the simultaneous presentation of normal pressure hydrocephalus emphasizes the complex interplay of inflammatory processes in CLL. Further research is needed to explore the relationship between inflammation and the pathogenesis of CLL.</p>","PeriodicalId":16198,"journal":{"name":"Journal of investigative medicine high impact case reports","volume":"13 ","pages":"23247096251326465"},"PeriodicalIF":0.8000,"publicationDate":"2025-01-01","publicationTypes":"Journal Article","fieldsOfStudy":null,"isOpenAccess":false,"openAccessPdf":"https://www.ncbi.nlm.nih.gov/pmc/articles/PMC11938485/pdf/","citationCount":"0","resultStr":null,"platform":"Semanticscholar","paperid":null,"PeriodicalName":"Journal of investigative medicine high impact case reports","FirstCategoryId":"1085","ListUrlMain":"https://doi.org/10.1177/23247096251326465","RegionNum":0,"RegionCategory":null,"ArticlePicture":[],"TitleCN":null,"AbstractTextCN":null,"PMCID":null,"EPubDate":"2025/3/23 0:00:00","PubModel":"Epub","JCR":"Q3","JCRName":"MEDICINE, GENERAL & INTERNAL","Score":null,"Total":0}
引用次数: 0

Abstract

Chronic lymphocytic leukemia (CLL) is an indolent malignancy characterized by the accumulation of dysfunctional B-cell lymphocytes. Complications such as hemophagocytic lymphohistiocytosis (HLH) can arise, particularly during disease progression. HLH has been increasingly reported as a complication of CLL, often triggered by factors such as superimposed infections, chemotherapy, Richter transformation, or disease progression. This case explores HLH as an initial presentation of undiagnosed CLL without any identifiable trigger. We present the case of a 65-year-old woman who presented with a high-grade fever, sore throat, and pancytopenia. Despite broad-spectrum antibiotic treatment, her condition deteriorated. Investigations revealed elevated ferritin levels, low natural killer cell activity, and other findings consistent with HLH. Flow cytometry and bone marrow biopsy ultimately confirmed the diagnosis of CLL. HLH is characterized by the hyperactivation of immune cells and is known to be triggered by a variety of factors, including infections and malignancies. In this case, the absence of identifiable triggers raises important questions about the underlying pathophysiology linking HLH with CLL. While previous reports have highlighted HLH as a complication of CLL, typically secondary to infection or treatment, this case is particularly noteworthy due to the unexplained onset of HLH in the absence of such triggers. This case underscores the need for heightened awareness of HLH as a potential manifestation of underlying malignancy, especially in non-septic patients presenting with unexplained fever and pancytopenia. In addition, the simultaneous presentation of normal pressure hydrocephalus emphasizes the complex interplay of inflammatory processes in CLL. Further research is needed to explore the relationship between inflammation and the pathogenesis of CLL.

Abstract Image

Abstract Image

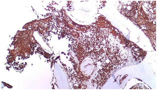
Abstract Image

慢性淋巴细胞白血病中的嗜血细胞淋巴组织细胞增多症独特病例
慢性淋巴细胞白血病(CLL)是一种以功能失调的b细胞淋巴细胞积累为特征的惰性恶性肿瘤。并发症如噬血细胞性淋巴组织细胞增多症(HLH)可出现,特别是在疾病进展期间。越来越多的报道称,HLH是CLL的并发症,通常由叠加感染、化疗、里希特转化或疾病进展等因素引发。本病例探讨了HLH作为未确诊CLL的初始表现,没有任何可识别的诱因。我们提出的情况下,65岁的妇女谁提出了高烧,喉咙痛,全血细胞减少症。尽管接受了广谱抗生素治疗,她的病情还是恶化了。调查显示铁蛋白水平升高,自然杀伤细胞活性低,其他发现与HLH一致。流式细胞术和骨髓活检最终证实了CLL的诊断。HLH的特点是免疫细胞的过度激活,已知可由多种因素触发,包括感染和恶性肿瘤。在这种情况下,缺乏可识别的触发因素提出了关于HLH与CLL之间潜在病理生理学联系的重要问题。虽然以前的报道强调HLH是CLL的并发症,通常继发于感染或治疗,但该病例特别值得注意,因为在没有这些触发因素的情况下,HLH的发病原因不明。本病例强调需要提高对HLH作为潜在恶性肿瘤的潜在表现的认识,特别是在出现不明原因发热和全血细胞减少症的非脓毒症患者中。此外,同时出现的正常压力脑积水强调了CLL中炎症过程的复杂相互作用。炎症与CLL发病机制的关系有待进一步研究。
本文章由计算机程序翻译,如有差异,请以英文原文为准。
求助全文
约1分钟内获得全文 求助全文
来源期刊
CiteScore
1.90
自引率
0.00%
发文量
165
审稿时长
12 weeks
期刊介绍: The AFMR is committed to enhancing the training and career development of our members and to furthering its mission to facilitate the conduct of research to improve medical care. Case reports represent an important avenue for trainees (interns, residents, and fellows) and early-stage faculty to demonstrate productive, scholarly activity.
×
引用
GB/T 7714-2015
复制
MLA
复制
APA
复制
导出至
BibTeX EndNote RefMan NoteFirst NoteExpress
×
提示
您的信息不完整,为了账户安全,请先补充。
现在去补充
×
提示
您因"违规操作"
具体请查看互助需知
我知道了
×
提示
确定
请完成安全验证×
copy
已复制链接
快去分享给好友吧!
我知道了
右上角分享
点击右上角分享
0
联系我们:info@booksci.cn Book学术提供免费学术资源搜索服务,方便国内外学者检索中英文文献。致力于提供最便捷和优质的服务体验。 Copyright © 2023 布克学术 All rights reserved.
京ICP备2023020795号-1
ghs 京公网安备 11010802042870号
Book学术文献互助
Book学术文献互助群
群 号:604180095
Book学术官方微信