Differentiating Between Fibromuscular Dysplasia and Takayasu Arteritis in a Patient With Juvenile Renovascular Hypertension and Marked Hypokalemia Effectively Treated With Percutaneous Transluminal Renal Angioplasty.

IF 2 Q2 MEDICINE, GENERAL & INTERNAL
Journal of clinical medicine research Pub Date : 2025-03-01 Epub Date: 2025-03-09 DOI:10.14740/jocmr6187
Ayako Ishii, Keisuke Okamura, Shogo Morisaki, Yasunori Momota, Akiko Yamashita, Kenta Hatsuse, Keisuke Kono, Hideto Sako, Akihiro Udo, Kenichiro Taniguchi, Tomoko Koseki, Takuro Arai, Yoshie Yodogawa, Yoshiko Oba, Shiori Hirayama, Miki Inoue, Ichiro Imamura
{"title":"Differentiating Between Fibromuscular Dysplasia and Takayasu Arteritis in a Patient With Juvenile Renovascular Hypertension and Marked Hypokalemia Effectively Treated With Percutaneous Transluminal Renal Angioplasty.","authors":"Ayako Ishii, Keisuke Okamura, Shogo Morisaki, Yasunori Momota, Akiko Yamashita, Kenta Hatsuse, Keisuke Kono, Hideto Sako, Akihiro Udo, Kenichiro Taniguchi, Tomoko Koseki, Takuro Arai, Yoshie Yodogawa, Yoshiko Oba, Shiori Hirayama, Miki Inoue, Ichiro Imamura","doi":"10.14740/jocmr6187","DOIUrl":null,"url":null,"abstract":"<p><p>Renovascular hypertension (RVHT) is most commonly caused by renal artery stenosis (RAS) secondary to arteriosclerosis. Other causes of RVHT include fibromuscular dysplasia (FMD) and other rare causes, such as Takayasu arteritis (TA). A male patient in his early 20s presented with hypertension. Laboratory findings were positive for hypokalemia as well as elevations in plasma renin activity and aldosterone concentration. Plain computed tomography revealed atrophy of the right kidney, and magnetic resonance angiography revealed right RAS. A diagnosis of RVHT was suspected, and he was admitted to the cardiovascular ward. After percutaneous transluminal renal angioplasty (PTRA) to treat the right RAS, a typical course was observed with decreased blood pressure, normalizing hypokalemia, and decreased plasma renin activity and aldosterone concentration (which previously were extremely elevated). As angiography showed no remarkable arteriosclerosis of other vessels and given the patient's young age, FMD was suspected as the underlying cause of RVHT. However, the angiographic findings of RAS in the proximal renal artery and the lack of \"string-of-beads\" appearance were atypical for FMD. The patient had chronic inflammation, and further investigation revealed severe stenosis of the right carotid artery. The high C-reactive protein value and the thickened aortic wall in the computed tomography were the suggestive signs for TA. The patient was diagnosed with TA and started on steroid therapy. Although moderate stenosis remained after revascularization of the renal artery in this patient, hypertension improved markedly, demonstrating the effectiveness of PTRA. Given the diagnosis of TA as the underlying disease, the likelihood of recurrent RVHT due to restenosis of the renal artery remains high, and strict follow-up is thus required.</p>","PeriodicalId":94329,"journal":{"name":"Journal of clinical medicine research","volume":"17 3","pages":"174-180"},"PeriodicalIF":2.0000,"publicationDate":"2025-03-01","publicationTypes":"Journal Article","fieldsOfStudy":null,"isOpenAccess":false,"openAccessPdf":"https://www.ncbi.nlm.nih.gov/pmc/articles/PMC11922628/pdf/","citationCount":"0","resultStr":null,"platform":"Semanticscholar","paperid":null,"PeriodicalName":"Journal of clinical medicine research","FirstCategoryId":"1085","ListUrlMain":"https://doi.org/10.14740/jocmr6187","RegionNum":0,"RegionCategory":null,"ArticlePicture":[],"TitleCN":null,"AbstractTextCN":null,"PMCID":null,"EPubDate":"2025/3/9 0:00:00","PubModel":"Epub","JCR":"Q2","JCRName":"MEDICINE, GENERAL & INTERNAL","Score":null,"Total":0}
引用次数: 0

Abstract

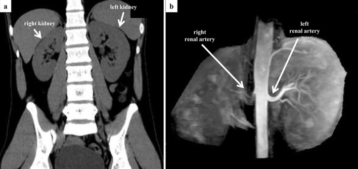
Renovascular hypertension (RVHT) is most commonly caused by renal artery stenosis (RAS) secondary to arteriosclerosis. Other causes of RVHT include fibromuscular dysplasia (FMD) and other rare causes, such as Takayasu arteritis (TA). A male patient in his early 20s presented with hypertension. Laboratory findings were positive for hypokalemia as well as elevations in plasma renin activity and aldosterone concentration. Plain computed tomography revealed atrophy of the right kidney, and magnetic resonance angiography revealed right RAS. A diagnosis of RVHT was suspected, and he was admitted to the cardiovascular ward. After percutaneous transluminal renal angioplasty (PTRA) to treat the right RAS, a typical course was observed with decreased blood pressure, normalizing hypokalemia, and decreased plasma renin activity and aldosterone concentration (which previously were extremely elevated). As angiography showed no remarkable arteriosclerosis of other vessels and given the patient's young age, FMD was suspected as the underlying cause of RVHT. However, the angiographic findings of RAS in the proximal renal artery and the lack of "string-of-beads" appearance were atypical for FMD. The patient had chronic inflammation, and further investigation revealed severe stenosis of the right carotid artery. The high C-reactive protein value and the thickened aortic wall in the computed tomography were the suggestive signs for TA. The patient was diagnosed with TA and started on steroid therapy. Although moderate stenosis remained after revascularization of the renal artery in this patient, hypertension improved markedly, demonstrating the effectiveness of PTRA. Given the diagnosis of TA as the underlying disease, the likelihood of recurrent RVHT due to restenosis of the renal artery remains high, and strict follow-up is thus required.

Abstract Image

Abstract Image

Abstract Image

经皮腔内肾血管成形术对青少年肾血管性高血压和显著低钾血症患者的纤维肌肉发育不良和高须动脉炎的鉴别
肾血管性高血压(RVHT)最常见的原因是继发于动脉硬化的肾动脉狭窄(RAS)。RVHT的其他原因包括纤维肌肉发育不良(FMD)和其他罕见原因,如高松动脉炎(TA)。20岁出头的男性患者患有高血压。实验室结果为低钾血症阳性,血浆肾素活性和醛固酮浓度升高。ct平扫显示右肾萎缩,磁共振血管造影显示右侧RAS。怀疑诊断为RVHT,他被送入心血管病房。经皮腔内肾血管成形术(PTRA)治疗右侧RAS后,典型的过程是血压降低,低血钾正常化,血浆肾素活性和醛固酮浓度降低(之前异常升高)。由于血管造影显示其他血管未见明显动脉硬化,加之患者年龄小,推测FMD为RVHT的潜在病因。然而,肾近端动脉RAS的血管造影结果和缺乏“串珠状”外观是口蹄病的不典型表现。患者有慢性炎症,进一步检查发现右颈动脉严重狭窄。高c反应蛋白值和ct显示主动脉壁增厚是TA的提示征象。患者被诊断为TA并开始类固醇治疗。尽管该患者肾动脉血运重建术后仍存在中度狭窄,但高血压明显改善,证明了PTRA的有效性。鉴于TA的诊断为基础疾病,由于肾动脉再狭窄导致RVHT复发的可能性仍然很高,因此需要严格的随访。
本文章由计算机程序翻译,如有差异,请以英文原文为准。
求助全文
约1分钟内获得全文 求助全文
来源期刊
CiteScore
5.10
自引率
0.00%
发文量
0
×
引用
GB/T 7714-2015
复制
MLA
复制
APA
复制
导出至
BibTeX EndNote RefMan NoteFirst NoteExpress
×
提示
您的信息不完整,为了账户安全,请先补充。
现在去补充
×
提示
您因"违规操作"
具体请查看互助需知
我知道了
×
提示
确定
请完成安全验证×
copy
已复制链接
快去分享给好友吧!
我知道了
右上角分享
点击右上角分享
0
联系我们:info@booksci.cn Book学术提供免费学术资源搜索服务,方便国内外学者检索中英文文献。致力于提供最便捷和优质的服务体验。 Copyright © 2023 布克学术 All rights reserved.
京ICP备2023020795号-1
ghs 京公网安备 11010802042870号
Book学术文献互助
Book学术文献互助群
群 号:604180095
Book学术官方微信