A case of a newborn Kiso native pony diagnosed with a median hard cleft palate and urachal hypoplasia.

Q3 Veterinary
Journal of Equine Science Pub Date : 2025-01-01 Epub Date: 2025-03-10 DOI:10.1294/jes.36.25
Sakura Yoshida, Akiko Takeyama, Masaaki Tagami, Yuanzhi Gao, Munkhtuul Tsogtgerel, Yoshiyasu Kobayashi, Kenichi Watanabe, Yasuo Nambo
{"title":"A case of a newborn Kiso native pony diagnosed with a median hard cleft palate and urachal hypoplasia.","authors":"Sakura Yoshida, Akiko Takeyama, Masaaki Tagami, Yuanzhi Gao, Munkhtuul Tsogtgerel, Yoshiyasu Kobayashi, Kenichi Watanabe, Yasuo Nambo","doi":"10.1294/jes.36.25","DOIUrl":null,"url":null,"abstract":"<p><p>A male foal developing within a pregnant native Hokkaido mare presented with an abnormal bladder on gestational day 215 and was delivered by inducing parturition. Transabdominal ultrasonography indicated a bladder depth of >13 cm, with a wall-like structure bisecting the bladder. At 42 hr after birth, transnasal endoscopy revealed a cleft hard palate, and the foal was subsequently euthanized. A defect in the palatine process of the maxillary head and a large cyst connected to the bladder, although not continuous with the umbilicus, were identified by autopsy computed tomography and necropsy. The foal was accordingly diagnosed with a cleft median hard palate and urachal dysplasia.</p>","PeriodicalId":35701,"journal":{"name":"Journal of Equine Science","volume":"36 1","pages":"25-31"},"PeriodicalIF":0.0000,"publicationDate":"2025-01-01","publicationTypes":"Journal Article","fieldsOfStudy":null,"isOpenAccess":false,"openAccessPdf":"https://www.ncbi.nlm.nih.gov/pmc/articles/PMC11919547/pdf/","citationCount":"0","resultStr":null,"platform":"Semanticscholar","paperid":null,"PeriodicalName":"Journal of Equine Science","FirstCategoryId":"1085","ListUrlMain":"https://doi.org/10.1294/jes.36.25","RegionNum":0,"RegionCategory":null,"ArticlePicture":[],"TitleCN":null,"AbstractTextCN":null,"PMCID":null,"EPubDate":"2025/3/10 0:00:00","PubModel":"Epub","JCR":"Q3","JCRName":"Veterinary","Score":null,"Total":0}
引用次数: 0

Abstract

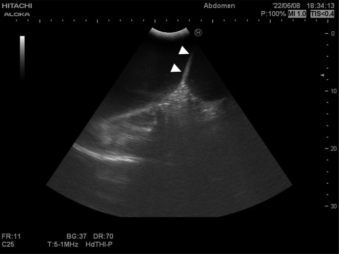
A male foal developing within a pregnant native Hokkaido mare presented with an abnormal bladder on gestational day 215 and was delivered by inducing parturition. Transabdominal ultrasonography indicated a bladder depth of >13 cm, with a wall-like structure bisecting the bladder. At 42 hr after birth, transnasal endoscopy revealed a cleft hard palate, and the foal was subsequently euthanized. A defect in the palatine process of the maxillary head and a large cyst connected to the bladder, although not continuous with the umbilicus, were identified by autopsy computed tomography and necropsy. The foal was accordingly diagnosed with a cleft median hard palate and urachal dysplasia.

Abstract Image

Abstract Image

Abstract Image

一个新生的Kiso本地小马诊断为中位硬腭裂和尿管发育不全的病例。
在怀孕的北海道本地母马体内发育的雄马驹在妊娠第215天出现膀胱异常,并通过引产分娩。经腹超声示膀胱深度约为bbbb13 cm,呈壁状结构将膀胱一分为二。出生后42小时,经鼻内窥镜检查发现硬腭裂,随后对马驹实施安乐死。在上颌头腭突的缺陷和一个大囊肿连接到膀胱,虽然不连续与脐部,被鉴定为尸检计算机断层扫描和尸检。据此,马驹被诊断为中硬腭裂和尿管发育不良。
本文章由计算机程序翻译,如有差异,请以英文原文为准。
求助全文
约1分钟内获得全文 求助全文
来源期刊
Journal of Equine Science
Journal of Equine Science Veterinary-Equine
CiteScore
1.60
自引率
0.00%
发文量
9
×
引用
GB/T 7714-2015
复制
MLA
复制
APA
复制
导出至
BibTeX EndNote RefMan NoteFirst NoteExpress
×
提示
您的信息不完整,为了账户安全,请先补充。
现在去补充
×
提示
您因"违规操作"
具体请查看互助需知
我知道了
×
提示
确定
请完成安全验证×
copy
已复制链接
快去分享给好友吧!
我知道了
右上角分享
点击右上角分享
0
联系我们:info@booksci.cn Book学术提供免费学术资源搜索服务,方便国内外学者检索中英文文献。致力于提供最便捷和优质的服务体验。 Copyright © 2023 布克学术 All rights reserved.
京ICP备2023020795号-1
ghs 京公网安备 11010802042870号
Book学术文献互助
Book学术文献互助群
群 号:604180095
Book学术官方微信